紹介患者さんの治療。
主訴は、
右上奥歯神経の治療が必要だが、道具が折れて治療ができないので抜歯と言われた…残せるものなら残したい…
である。
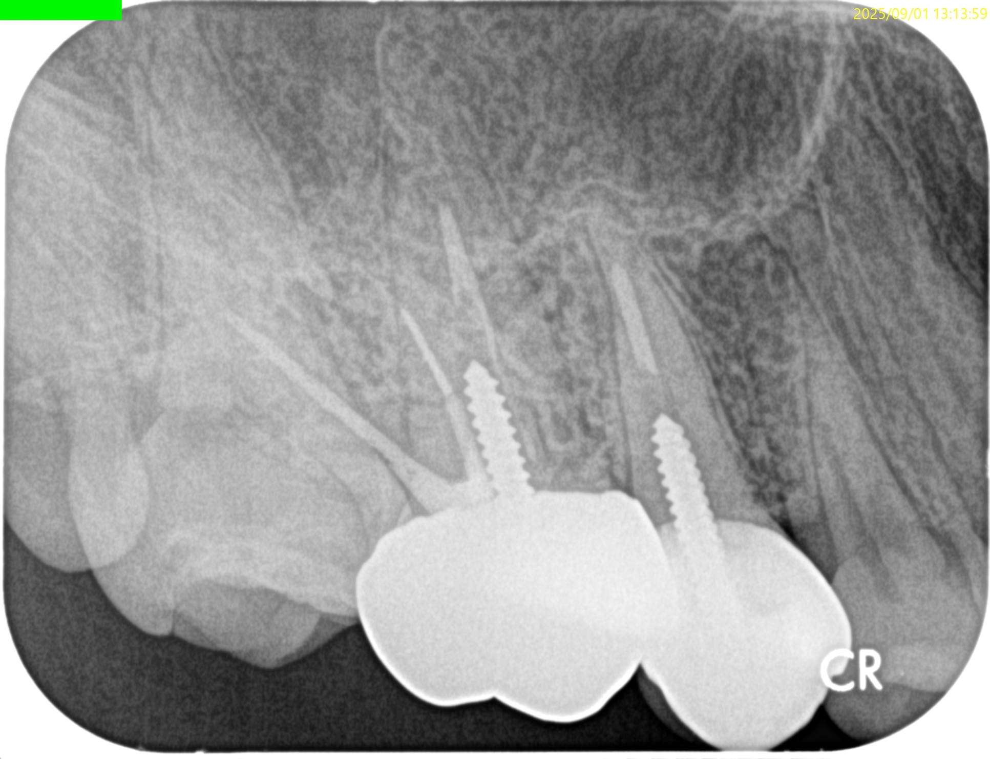
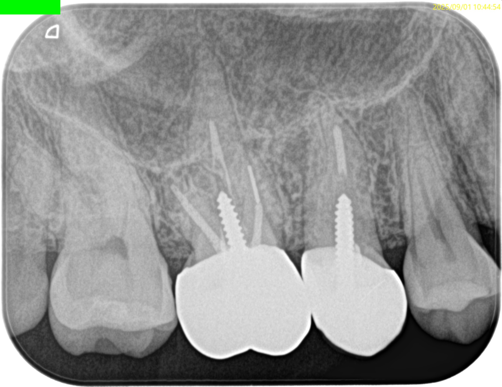
歯内療法学的検査(2025.9.1)

PA(2025.9.1)

CBCT(2025.9.1)
#3
MB

DB
P
#4
B
P

#3のMBにはFileが折れ込んでいる。
#4はP根管が未着手だ。
#3に関してだが、MBの破折ファイルはちょうどカーブの変曲点を超えて根尖部に折れ込んでいる。
この時点で、それをいかにして除去するか?よりも、FileごとApicoectomyしたほうが時短になると私は考える。
つまりその際は、

CEJよりも10mm下方にMBのApexがあり、
破折したファイルごと除去しようと思えば3mmでなく4.5mmApexから切断したほうがいいだろう。
が、誤解がないように言えば、
この破折ファイルが除去できようが出来なかろうが治療の予後には全く影響を与えない
のはこのHPのBlogで説明を従来から行っている通りだ。
歯内療法学的診断(2025.9.1)
Pulp Dx: Previously treated
Periodical Dx: Symptomatic apical periodontitis
Recommended Tx: MB Apicoectomy
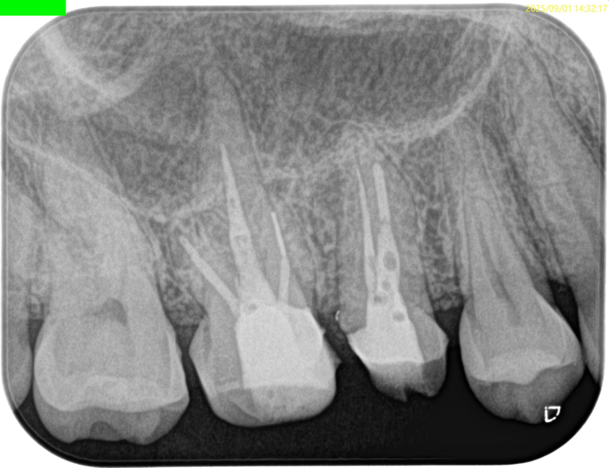
築造をレジンにやり直して別日にApicoectomyとなった。


⭐︎この後、外科動画が出てきます。不快感を感じる方は視聴をSkipしてください。
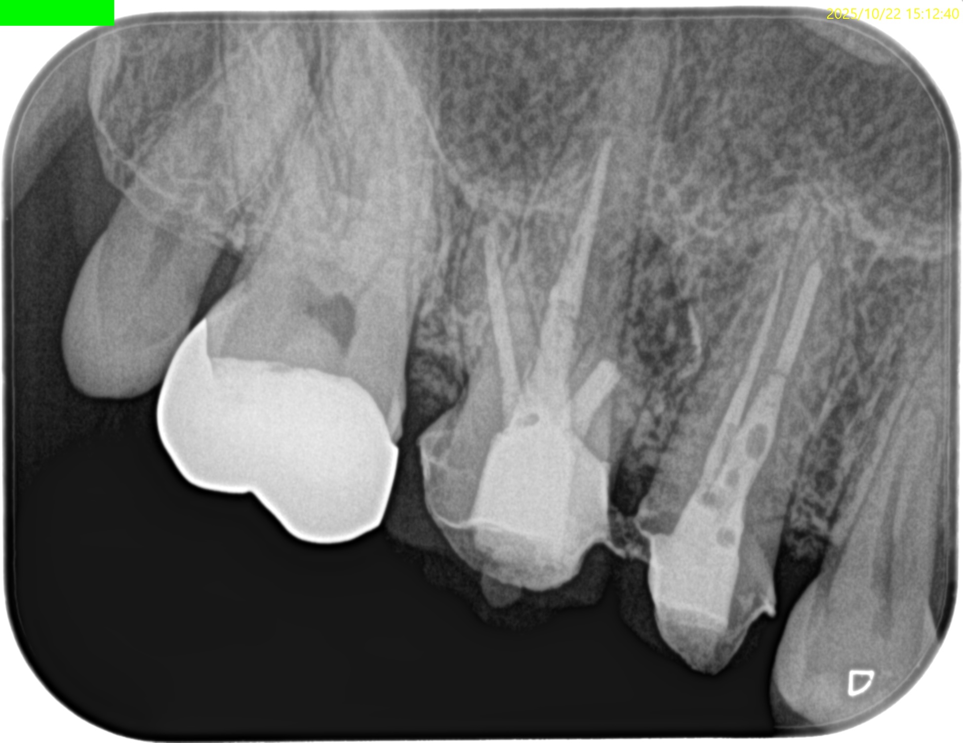
#3 MB Apicoectomy(2025.10.22)
CEJよりも10mm下方の#3 MBのApexをOsteotomyで探索する。
このApexから4mmの部分を想定しRoot resectionした。
今回は折れたFileごとMBのApexを除去した形だ。
この後メチレンブルーで染めて逆根管形成した。
逆根管充填した。
術後にPA, CBCTを撮影した。



問題はないだろう。
縫合して終了した。
次回は半年後である。
またその様子をお伝えしたい。




