紹介患者さんの治療。
主訴は、
他院で根管治療に3ヶ月通ったが, 治療中から違和感が出てそれが普通になってしまったので違和感がない状態がどんな感じか?わからないが、右下のImplantが落ち着いたので治療したい
である。
歯内療法学的検査(2025.10.21)

初診時は無症状だ。
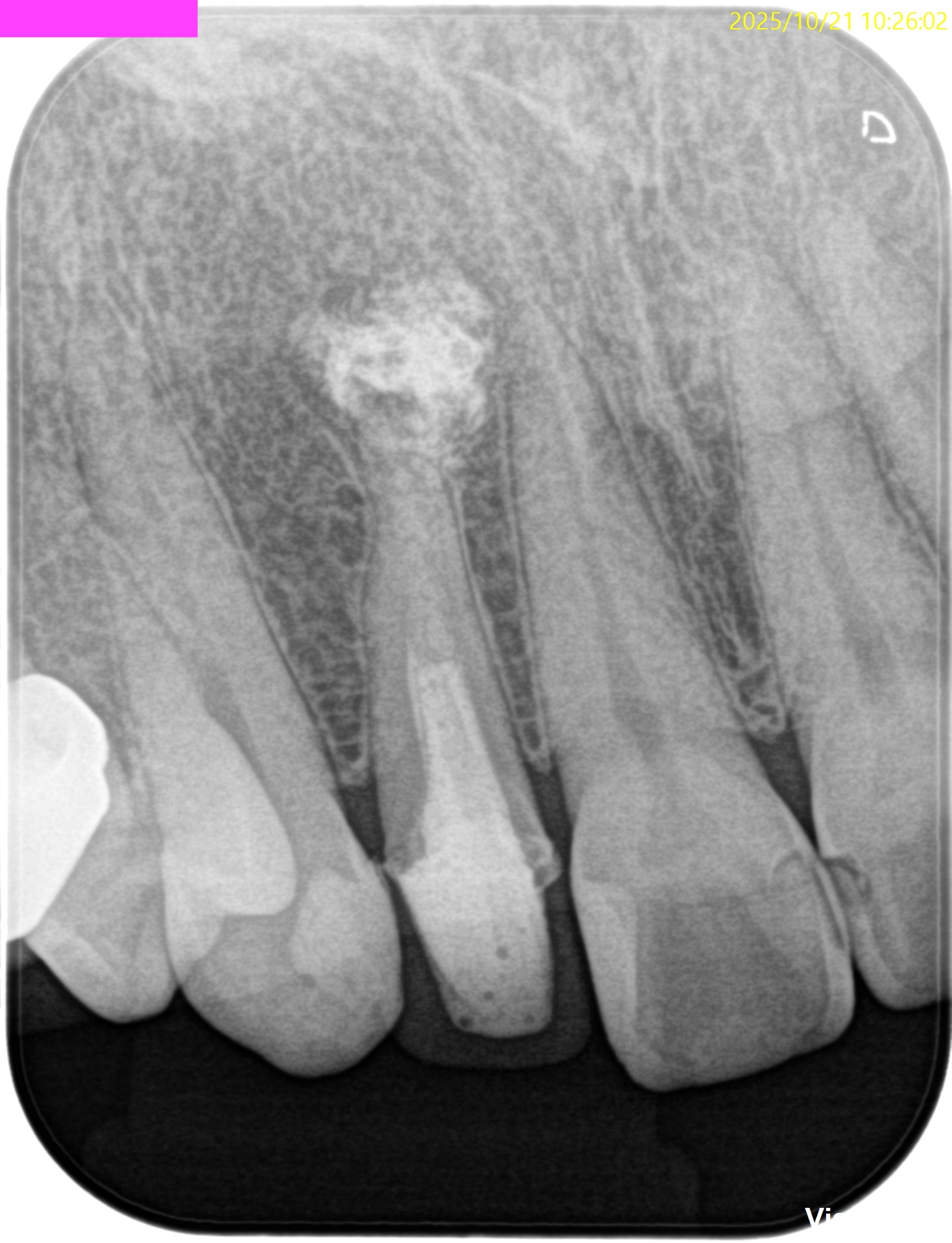
PA(2025.10.21)

何かが根尖から突き出ている。
これが違和感の原因か?と言えば、
違和感の原因はこれではなく、根管の細菌であろう。
もうすでに大きく形成して大きく根充されている以上、再根管治療に勝ち目はない。
そう。Apicoectomyである。
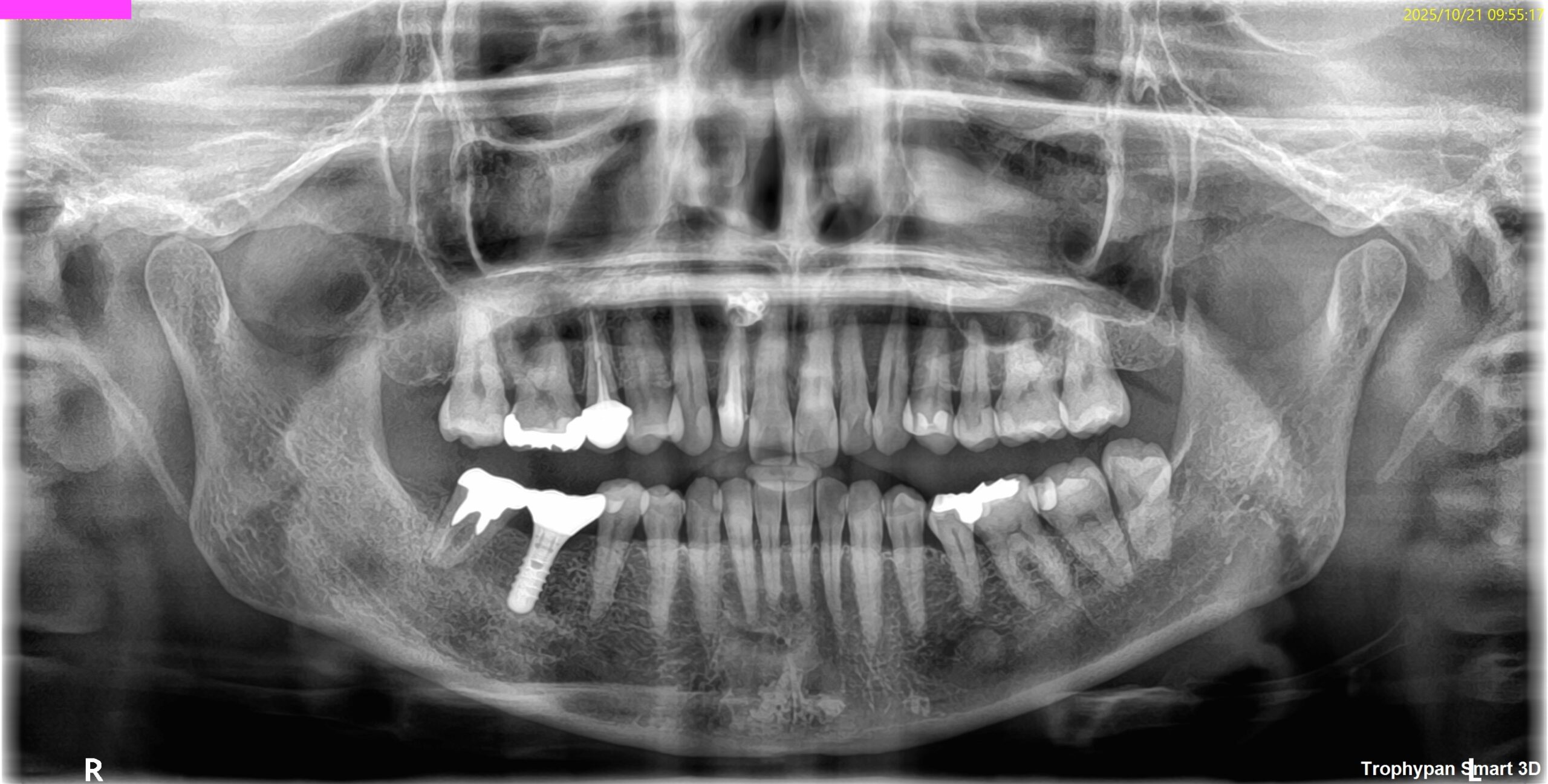
OPG(2025.10.21)

CBCT(2025.10.21)
外科は以下のように行うだろう。
Apexよりも12.5mm下方に#7のApexがあり、そこを3mm切断しようとすれば頬舌的に3.9mの切断が必要だ。
全く難しくはないだろう。
歯内療法学的診断(2025.10.21)
Pulp Dx: Previously treated
Periodical Dx: Asymptomatic apical periodontitis
Recommended Tx: Apicoectomy
⭐︎この後、外科動画が出てきます。不快感を感じる方は視聴をSkipしてください。
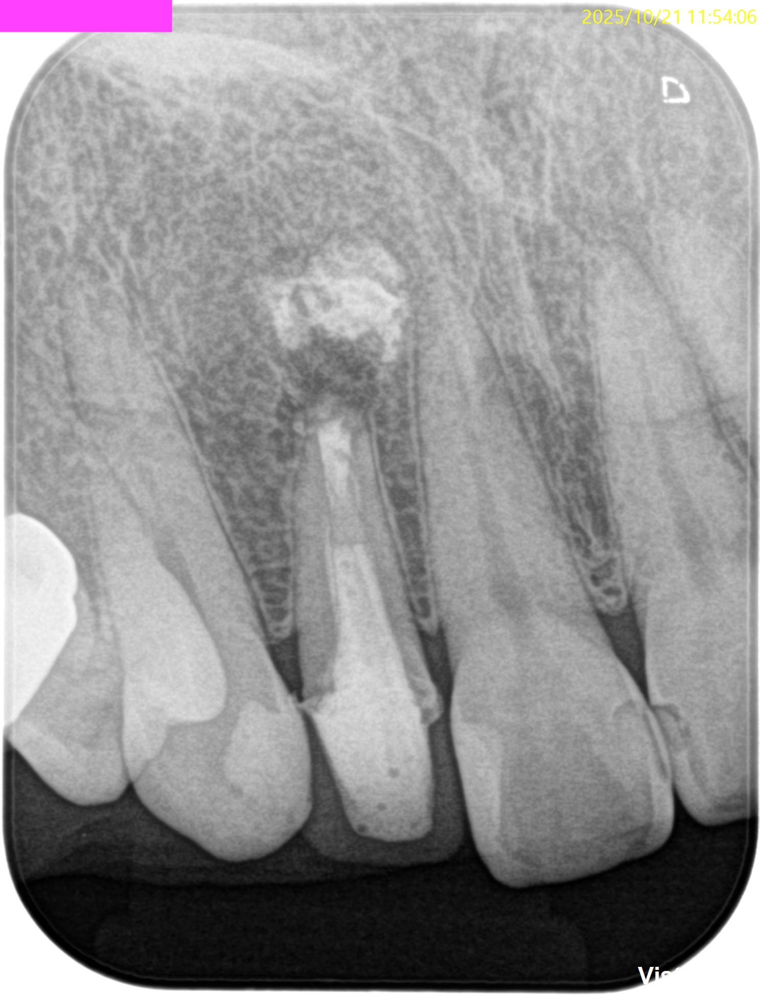
#7 Apicoectomy(2025.10.21)
Apexの位置はクラウンマージン部より12.5mm下方だ。
Apexと思しき部位をOsteotomyしApexを触知した。
Apex-3mmで根切した。
掻爬しメチレンブルーで染色した。
この白い物質は何だろうか?
臭いもない。
ユージノールなのだろうか?
私には何とも言えない。
さてもう一つ。
切断面があなたには見えるだろうか?

これを調整すると、

切断面が見える。
この切断面の根管の内部に存在するのは…レジンコアのレジンだ。
逆根管形成にはやや時間がかかるだろう。
逆根管形成して逆根管充填した。
術後にPA, CBCTを撮影した。


問題はないだろう。
いや、この謎の物体が取れてないじゃないか!?💢
ちゃんと取れよ!というあなた。
これが違和感の原因ならおそらくこの方は生涯違和感が取れないだろう。
その心は、
根尖から外に出したものはもう2度と全ては除去不可能なのだからである。
縫合して終了した。
1週間後に抜糸であった。
#7 Suture removal(2025.10.28)
次回は半年後である。
またこの治療の予後をご報告したい。


