週末、土日はマイクロエンドコースマンツーマンコースが行われた。

現代の?歯内療法は
業者が作製した企画化された道具(それにも誤差がある)を使用して根管形成し、
これまた業者が作製した企画化された道具(これにもまた誤差がある)を使用して根管充填する。
つまり、
根管形成も根管充填も誤差があるものを使用して行うのが歯内療法である。
これがスタートラインである。
ここの共有が重要だ。

ということは、
現代の歯内療法はポイント試適との戦いということがわかる。
まず作業長の測定方法を行うまでを解説した。

その後、根管形成である。
この際にあった質問が、
自分が使用したいFileを使用したが作業長までいかない(特にHyFlex EDM#25が作業長までいかないことが多い)、番手を下げることが多いがどうしたらいいか?
というものであった。
これに関しては、
Friedmanの根管形成のビデオが答えだ。
この動画の手法を
言語化できれば、
あなたは歯内療法が得意になるだろう。
上記動画では、細い穿通させた根管を号数を下げずにWave One Gold #25だけで作業長まで形成している。
それには何が必要だっただろうか?
よく復習しましょう。
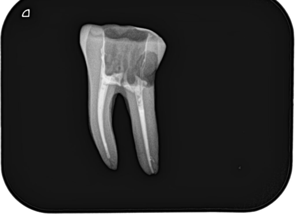
根管形成が終了すれば、根管充填だ。
その際に必要な物品は以下である。


日曜日は実習を行った。
土曜日の内容を投影した実習であった。








2本の歯牙で実習し、あっという間に1日は終了した。
この治療は理論を頭に入れて練習すれば誰でもできるようになります。
日々の鍛錬が重要です。
頑張って技術を身につけましょう。
1日、お疲れ様でした。