12/8週末の日曜日は東京 御茶ノ水トライエッジカンファレンスで
歯を割らない?!根管治療
セミナーが行われた。


この日の作成したスライドは受講者には全て送付した。
私が関わるセミナーではすべてのセミナーでスライドを参加者に渡している。
この日もそうである。
が、この日と今までと違う点は、
今までのようにスライドに従って話すのを一切やめて、モデレーターからの疑問を私にしてもらい、それに答えていき、それに関して都度参加者に質問を募るというDiscussion形式をとったことだ。
モデレーターの冒頭の疑問は以下である。

長く管理すると歯根破折が多いという。
彼の日々の臨床でも以下のようなことが多いそうだ。

すべての歯牙が歯内療法処置済み歯である。
このことから、
歯内療法すると歯牙は折れやすくなるという感覚
を抱いていたという。
が、うちのHPにはそれを覆すCaseが多々ある。
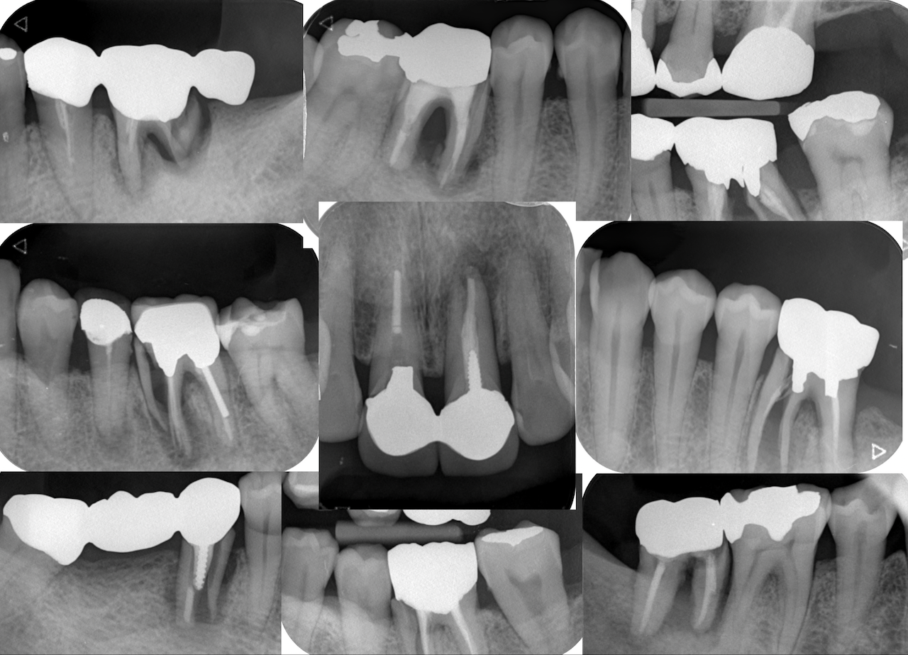
なぜ私の歯は痛むのか?根尖病変がないのに激痛があり,3件の歯科医院をたらい回しにされた患者さん〜#18 Re-RCTから7年経過
この違いには何が起因しているのであろうか?
学術的には以下である。
まず歯冠部。
歯冠部はその形状がなくなればなくなるほど脆くなる。





母屋は無くなればなくなるほど不安定になる。
それを防止する方法はクラウン修復だ。


上記のようにそのもの自体の強度は増す。そんなことは文献どうこう以前に当たり前のことだろう。
次が歯根編だ。

咀嚼時に咬合圧は歯頸部にかかる。
この際に、
根管口部を薄くするような行動を取れば歯根の入り口(根管口)は薄くなる。
代表的な医療行動は以下だ。

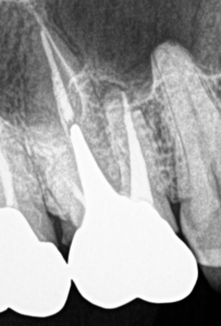
すると歯根は薄くなる。
薄くなった歯牙に金属を詰め込むとイメージは以下だ。

実際治療すると…
歯根はやはり破折していた。
ではどうすればこういう行為が避けれるか?であるが、
以下の道具の使用だろう。

USC時代に、
Dr.Marine
にその理由を懇々と説明されたのを覚えている。
しかしそれは私にとっては大いに納得できるものであった。
そしてそれを使用するには、根管口部が#19以上でないと破折してしまう。
そう。
そうなるようにスカウティングしなければならないのだ。
そのための道具は以下だ。

すると安全にSXを根管に挿入できる。
挿入したらば、作業長測定だ。
この際は、Root ZXの原理を記憶する必要がある。



業者の“言い分”はどう評価されただろうか?
ここから作業長の正しい求め方が算出される。
この話の理屈は、卒業時の口頭試問でに答えなければ卒業できない。
これもなぜか私に聞いてきたのも、
Dr.Marine
であった。
作業長が決まれば根管形成だ。
だが、私は従来から言うようにいかにグライドパスをしないで形成するか?に力点を置いている。
そのためには、ファイルのテーパーという特徴を覚えなければならない。
相性が最もいいのはC+ Fileであろう。



作業長はWL=RIL-1.0mmであるということは、上図の絵で#10.05がそれぞれ必要だろうか?
これが理解できないと先に進めないのである。
そして理解ができれば、



このような場合はどういう医療行動をとれば#10.05を使用しなくて良くなるか?理解ができるのである。
そして応用編は、
WL-0.5mmで行う場合でも(これは話していない)その行動が予想できるのである。
私の言ってることが嘘だ!と思うのであれば、抜去歯牙で練習してみればいい。私の言い分が理解できるだろう。
ここから形成が始まる。
某社の工程表をいじったものを提示した。

このいじりの理由があなたには説明できるだろうか?
それが理解できなければなぜ高額な費用を支払ってこの道具を使用しようか?と思えないだろう。
形成が終われば根充である。
根充ではサイズの誤差を意識してGutta Percha Pointを選択する。
掘る道具も入れる道具にも誤差がある。
それを補正するにはサイズを下げるしかないのだ、とADA(アメリカ歯科医師会)が言っているのである。


Gutta Percha Pointを試適して問題がなければ根管充填である。
その際には、
ペントロンジャパンのα
が必要である。
Basic Courseでは毎年購入を強く勧めている。
その理由も説明した。
そして現代ではバイオセラミックシーラーを根管に充填しGutta Percha Pointを根管へ挿入する。
その際に必要な道具も説明した。

これが海外輸入から解放された意味合いは大きい。
そして最後にケースを提示した。









結論的に言えば、
GatesやPessoではなく、SXを使用しメタルポストコアを避けることが肝要だろう。
さすれば歯根が割れるという悲劇は避けられる。
この日の講義スライドはクレセルさんから配布していただくことになっているのでしばしお待ちください。
そしてこの日の講義の手法が私には新鮮であったので次回以降からのセミナーでも誰かにモデレーターになってもらおうと思った次第であった。
また来年、機会があればお会いしましょう。
1日お疲れ様でした。