以前の歯科医院での治療の経過観察。
主訴は、
飴など硬いものを噛むと痛む…咬合痛が解消されない。。。
である。
歯内療法学的検査(2018.5.29)

歯牙には強い打診痛と咬合痛がみられた。
ペリオの問題はないようだ。
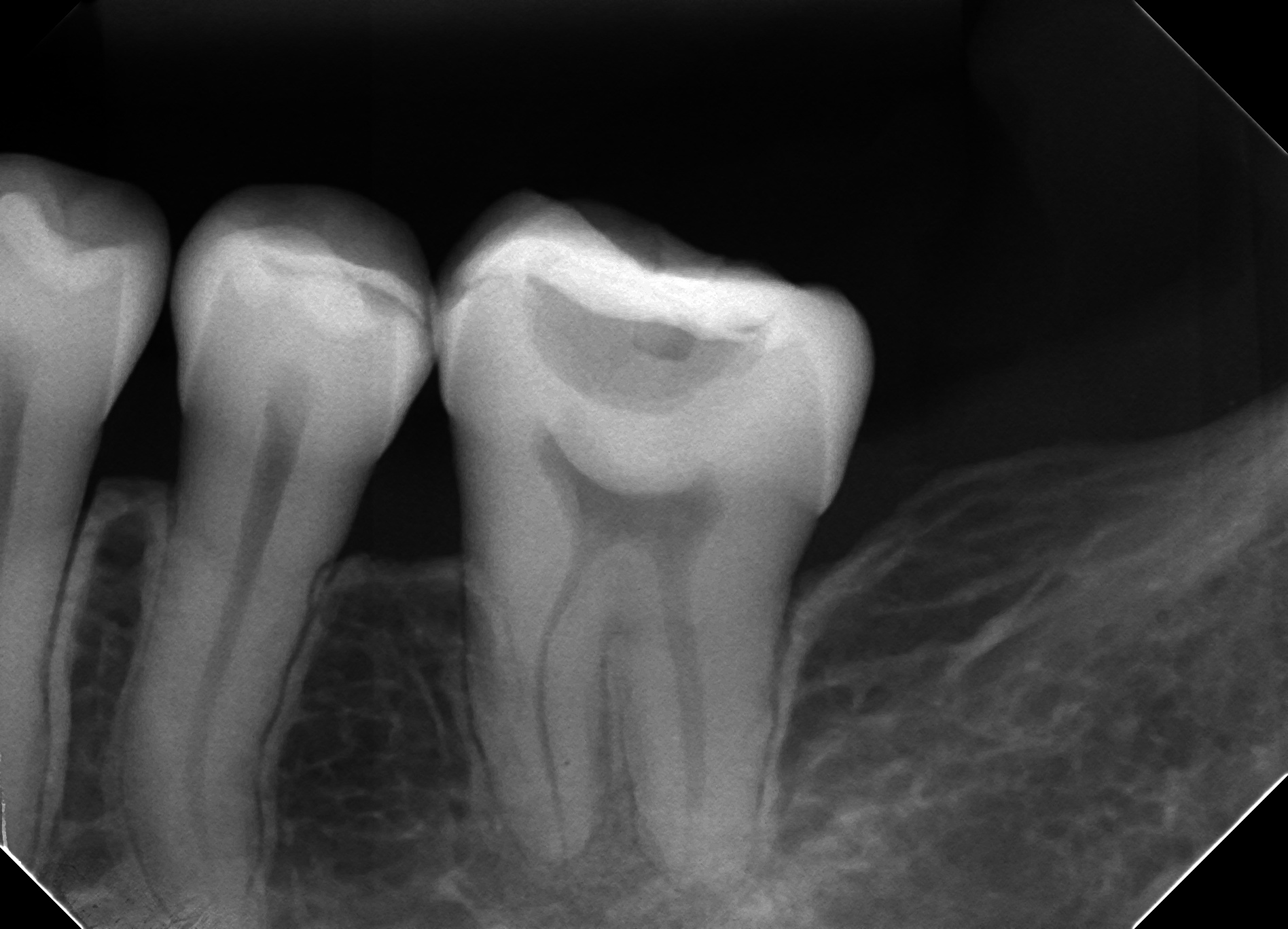
初診時PA

#18は第二大臼歯だが、矯正で#19の位置に#18を移動したという。
なのでこの歯は虎の子の歯だ。
初診時CBCT
M

D

CBCTで見ても根尖病変はない。
ちなみに患者さんはPAと治療歴を記録していた。
2017年8月4日に咬合痛を主訴に歯科医院へ行かれている。そこで虫歯を指摘され、セメント充填で経過観察をしたという。

同 8月19日、症状に変化なく抜髄処置を提案し、同日抜髄したという。

同9月2日、1回根治後、根管充填。根充後デンタルで、近心根部に不透過像を認めるも経過観察し、修復物の形成・装着をしたという。


が、ここから、
飴など硬いものを噛むと歯が痛む、朝起きた時に鈍痛があるということで、再根管治療へ移行している。
再根管治療には4回を要しているが症状が変わっていない、飴など硬いものを噛むと痛む…咬合痛が解消されない。。。
ということで当時の博多駅東の歯科医院に来院されたのである。
ちなみに根管治療にラバーダム防湿は使用していないとのことであった。
そしてこの一連の画像を見た際に、行うべき治療は再根管治療ではなく、Intentional Replantationであるということがわかる。
ということで、別日に治療へ移行した、がその当時のPAなどがない。
またこの後、私は倒れるのでこの患者さんがどうなったか?不明であったが、かかりつけ医から別の歯牙(#8)のApicoectomyを紹介されて来院された。
が、その際に#18も見ることができる。。。
それは、実に7年ぶりの再会であった。
#18 Intentional Replantation 7yr recall(2025.4.24)


M

D

7年前の臨床症状は喪失した。
Intentional Replantationは成功したのだ。
長く持たない処置とアメリカでは攻撃?されているこの処置がそうではないことを又しても物語っている。
ということでこの歯は終診でいいだろう。
長い間、お疲れ様でした。