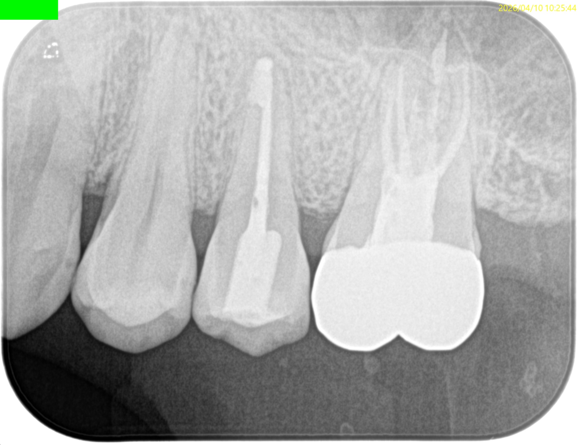
過去治療の経過観察。
術後1年が経過した。
☆この後、検査動画が出てきます。不快感を感じる方は視聴をSkipしてください。
#13 Intentional Replantation 1yr recall(2026.4.10)





1年前と比較した。

歯槽骨の欠損部分は完治した。
打診時のアンキローシス音もない。
ということで、臨床症状もないのでこの日で終診とさせていただいた。
長きに渡りお疲れ様でした。
Practice limited to Endodontics and Microsurgery〜福岡市博多区博多駅前3-13-4-2F TEL 092-409-8345 診療日 月〜金 10:00~16:00 休診日 土,日,祝
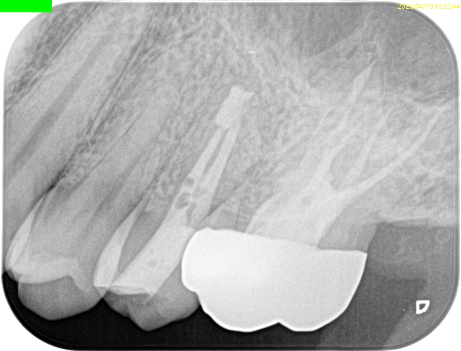
過去治療の経過観察。
術後1年が経過した。
☆この後、検査動画が出てきます。不快感を感じる方は視聴をSkipしてください。





1年前と比較した。

歯槽骨の欠損部分は完治した。
打診時のアンキローシス音もない。
ということで、臨床症状もないのでこの日で終診とさせていただいた。
長きに渡りお疲れ様でした。