紹介患者さんの経過観察。
1.5yr前にIntentional Replantationを行っていた。
その経過観察だ。
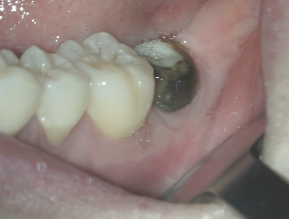
#18 Intentional Replantation 1.5yr recall(2025.11.25)


初診時にあった歯肉の腫脹(↓)は消失していた。


ML

MB

D

初診時と比較した。

5年前から悩まされていた歯肉の腫脹は消失し、歯槽骨も完治した。
打診検査時のアンキローシス音もないことからこの日で終診とさせていただいた。
長い間、お疲れ様でした。
Practice limited to Endodontics and Microsurgery〜福岡市博多区博多駅前3-13-4-2F TEL 092-409-8345 診療日 月〜金 10:00~16:00 休診日 土,日,祝
紹介患者さんの経過観察。
1.5yr前にIntentional Replantationを行っていた。
その経過観察だ。


初診時にあった歯肉の腫脹(↓)は消失していた。


ML

MB

D

初診時と比較した。

5年前から悩まされていた歯肉の腫脹は消失し、歯槽骨も完治した。
打診検査時のアンキローシス音もないことからこの日で終診とさせていただいた。
長い間、お疲れ様でした。