以前の治療の経過観察。
右下奥歯で硬いもの、歯応えがあるものを噛むと痛い…〜#31 Intentional Replantationと親知らずがある場合のIntentional Replantationのポイントとは?
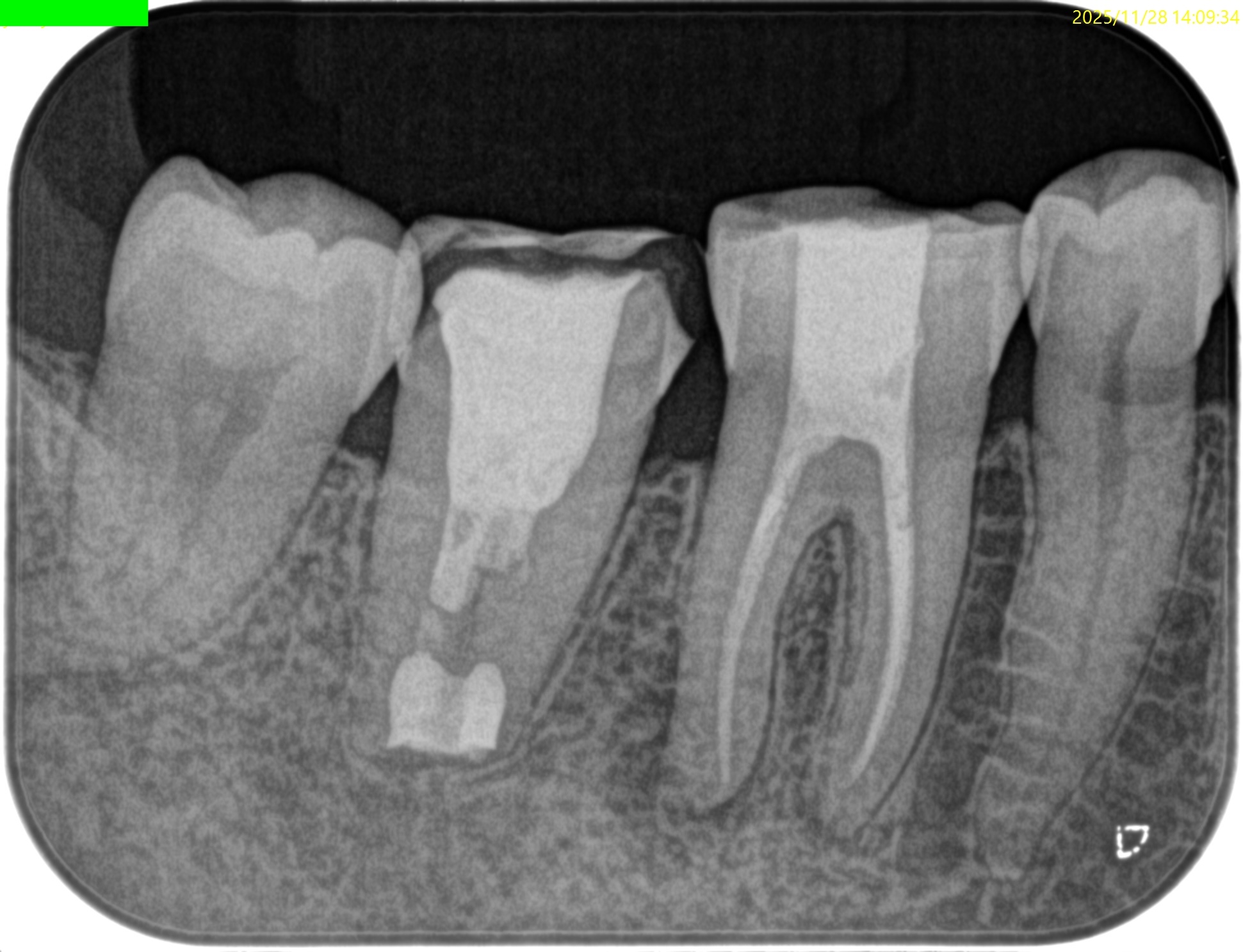
治療から1年が経過していた。
#31 Intentional Replantation 1yr recall(2025.11.28)
術前の臨床症状は消失していた。


ML

MB

D

初診時と比較した。

劇的に治癒していることがわかる。
打診検査時のアンキローシス音もないことから、この日で終診とさせていただいた。
長きに渡り、お疲れ様でした。