紹介患者さんの治療。
主訴は、
激痛があり休日歯科に行き痛み止めをもらったが痛みが取れない…
である。
Pre-op Endo test(2025.11.11)

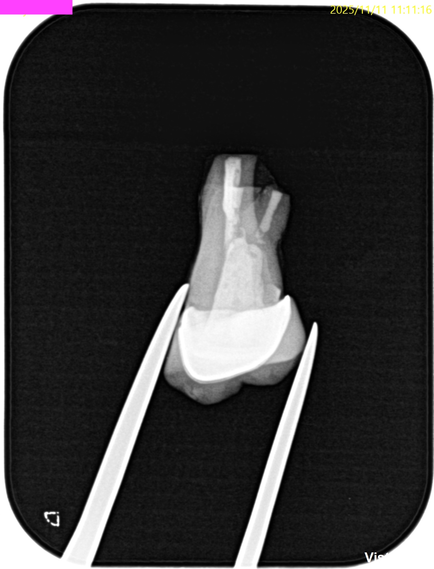
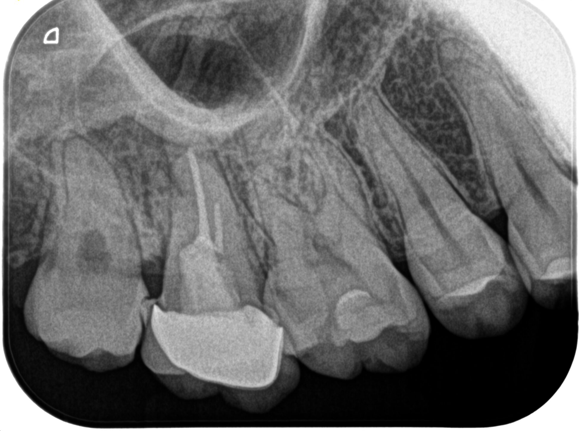
PA(2025.11.11)

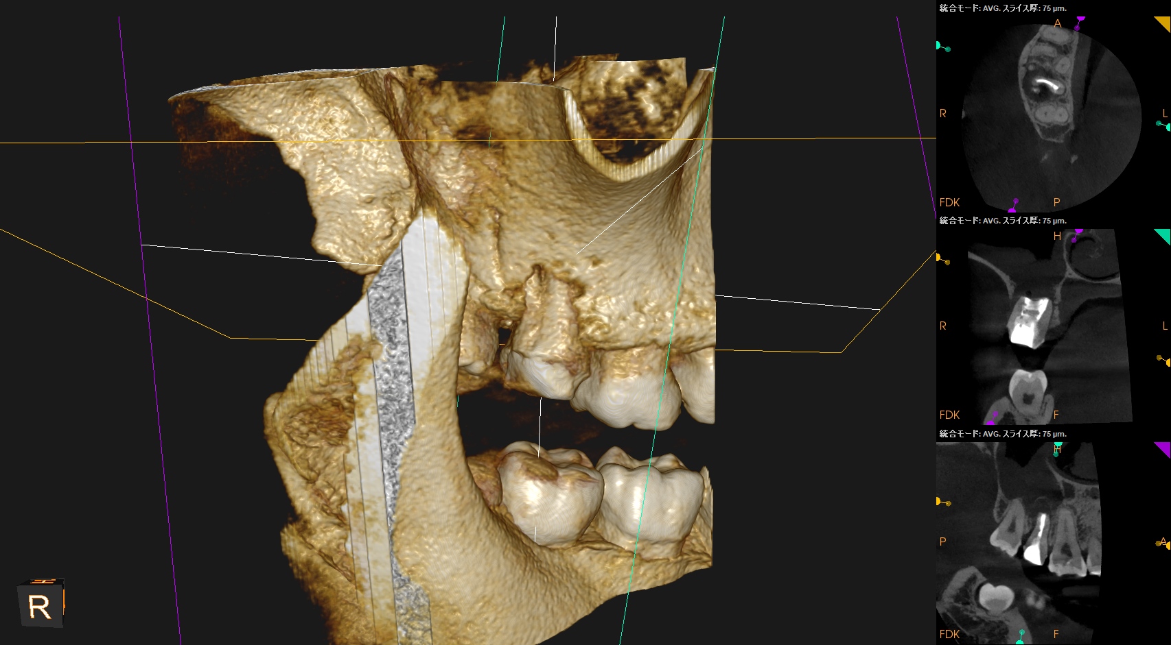
CBCT(2025.11.11)
MB
DB
P

根管は石灰化&すでに拡大済みであるので、再根管治療ではなく外科治療、つまり、Intentional Replantationの適応症である。
同日、治療へ移行した。
Pre-op Endo Diagnosis(2025.11.11)
Pulp Dx: Previously treated
Periodical Dx: Symptomatic apical periodontitis
Recommended Tx: Intentional Replantation
☆この後、外科動画が出てきます。不快感を感じる方は視聴をSkipしてください。
#2 Intentional Replantation(2025.11.11)
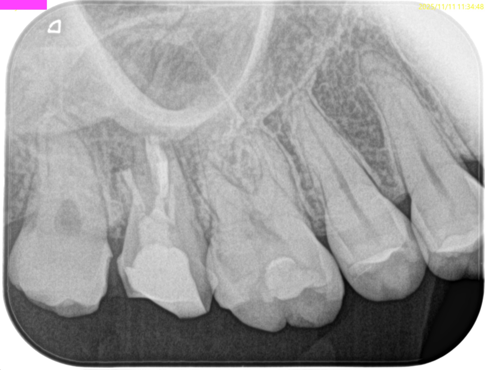
術後にPAを撮影した。

MB
DB
P
B

問題はないだろう。
逆根管充填の状態をイマイチ智度確認した。
MBをもう少し頬側方向に逆根管形成を広げた方がいいのだろうか?と疑問を持ったからだ。

が、

メチレンブルーが染まった場所を私は信じることにした。
この後、口腔外で除冠し、築造した。
その状態で抜歯窩に戻している。
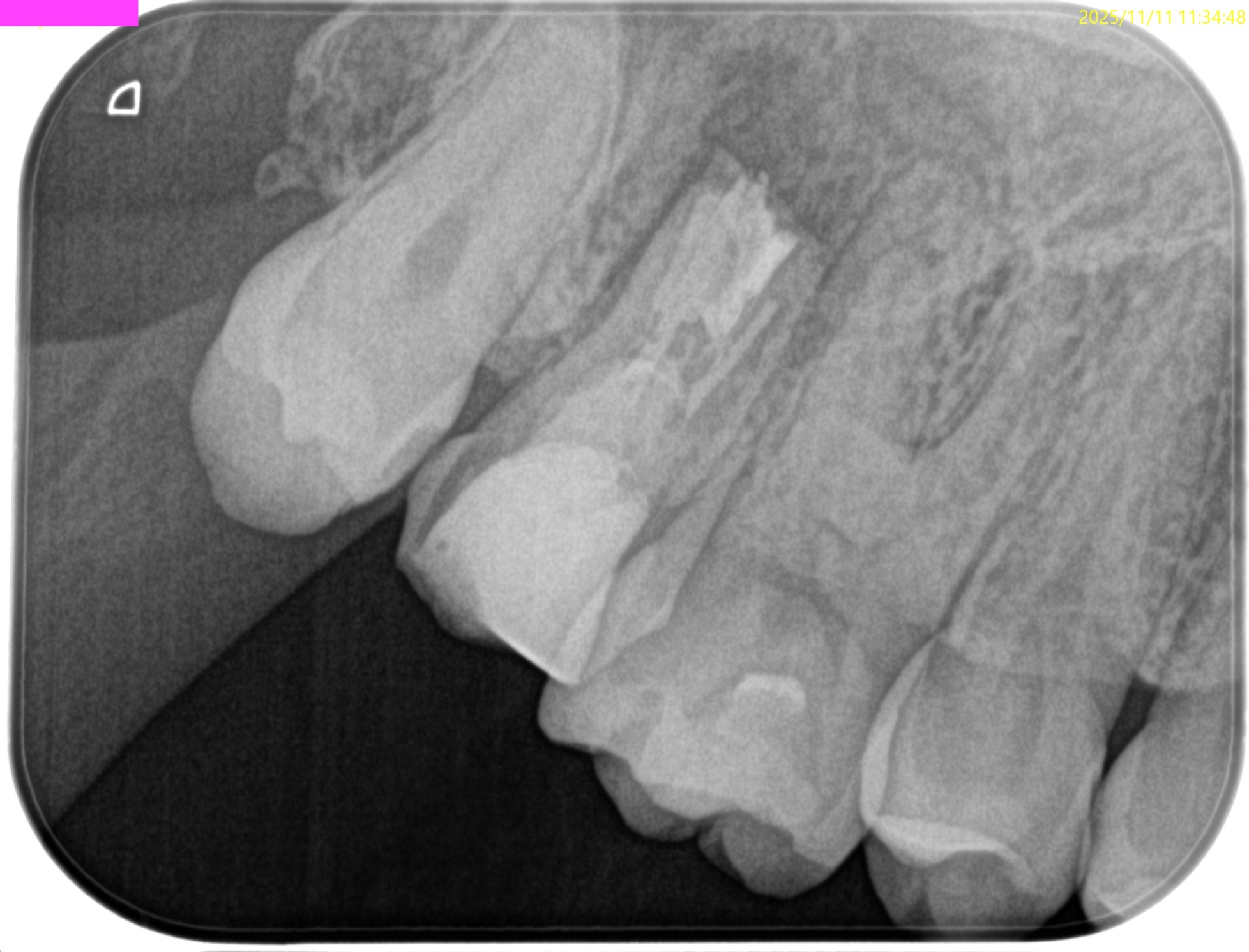
術後にPA, CBCTを撮影した。


MB

DB

P

B

次回は1ヶ月後である。
またその予後をお伝えしたい。




