紹介患者さんの治療。
主訴は、
右下の奥歯が折れていて歯周病も合併しているので抜かなければならないと言われた…残せないだろうか?
である。
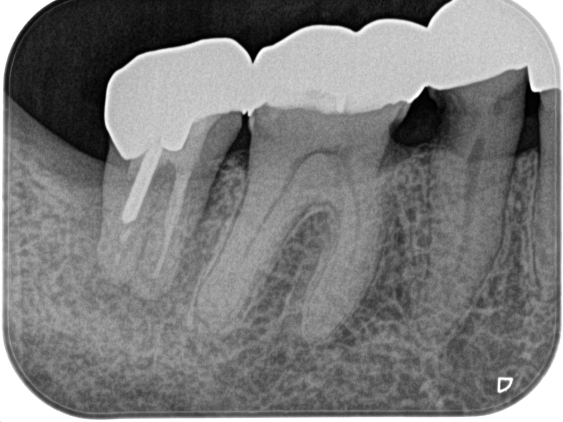
Pre-op Endo test(2025.5.19)
頬側に深い歯周ポケットがある。
歯牙の動揺も、
+1はあるような状態である。
やはり歯周病が進んでいたのだろうか?
PA(2025.5.19)

CBCT(2025.5.19)
ML
MB

D

確かに…
折れていると言われかねない状況だ。
が、何度も言うが
歯牙が折れているかどうか?は、その歯を抜歯して口腔外に出して直視しないとわからない
のである。
その意味でも、
Intentional Replantationこそがその真贋を見分ける治療方法であると言えるだろう。
Pre-op Endodontic Diagnosis(2025.5.19)
Pulp Dx: Previously treated
Periapical Dx: Chronic apical abscess
Recommended Tx: Intentional Replantation→Core build up
☆この後、外科動画が出てきます。不快感を感じる方は視聴をSkipしてください。
#31 Intentional Replantation(2025.5.19)
周囲の皮質骨がないのでこのようにダイヤモンド鉗子で挟んで揺らしただけで容易に抜歯が可能である。
その後、歯牙を精査した。
破折所見はないようである。
ここから根切作業に入る。
メチレンブルーで切断面を染色し、逆根管形成した。形成深度も確認している。
ここが重要だろう。
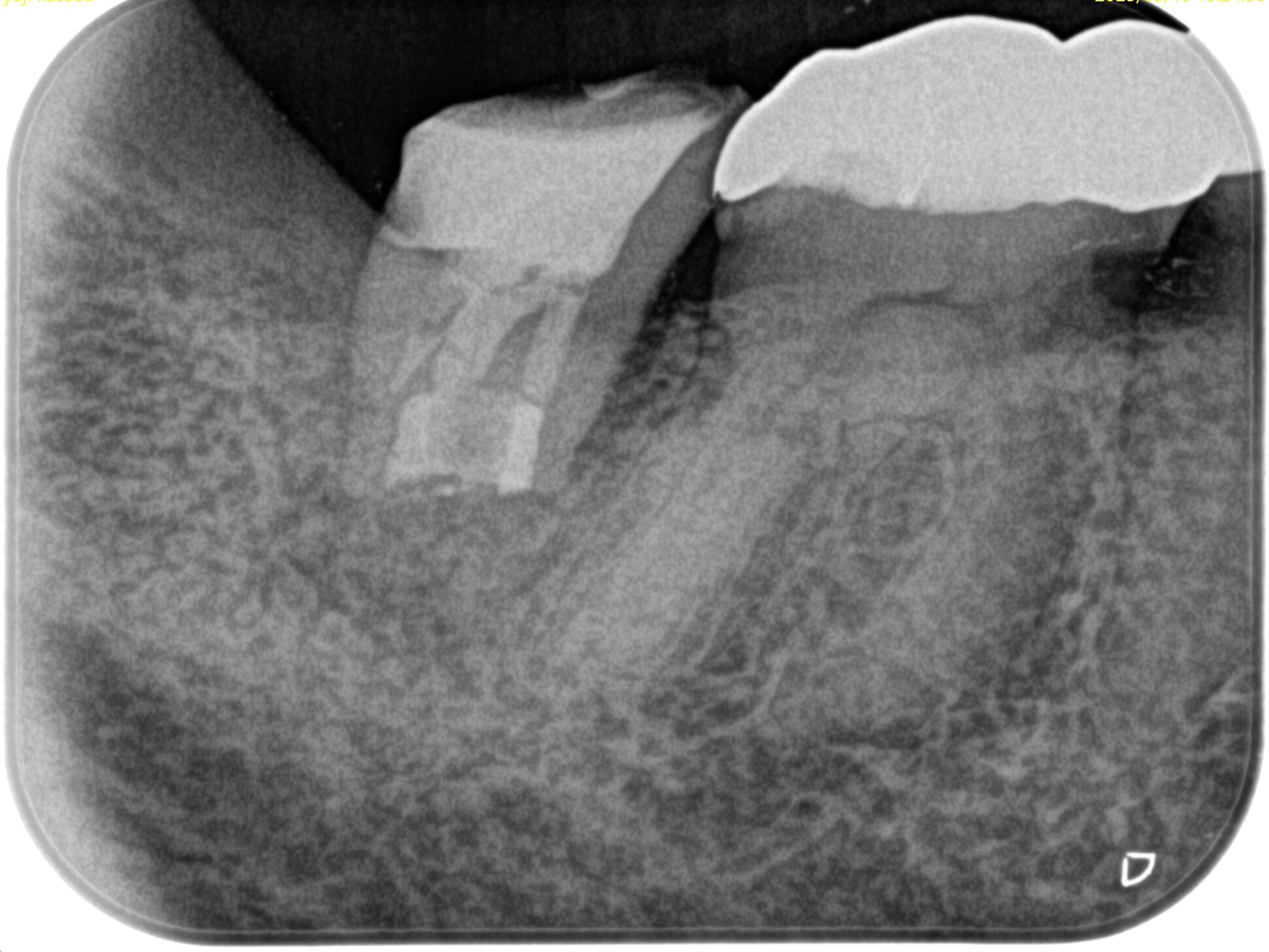
逆根管充填した。
PAを撮影した。

問題はないだろう。
この後、口腔外で築造物を除去する。
根管の内部にもレジンが…
その後、口腔外で築造した。
築造後に口腔外で歯冠形成し、抜けた逆根管充填材も修正した。
その後、PAを撮影した。

問題はないだろう。
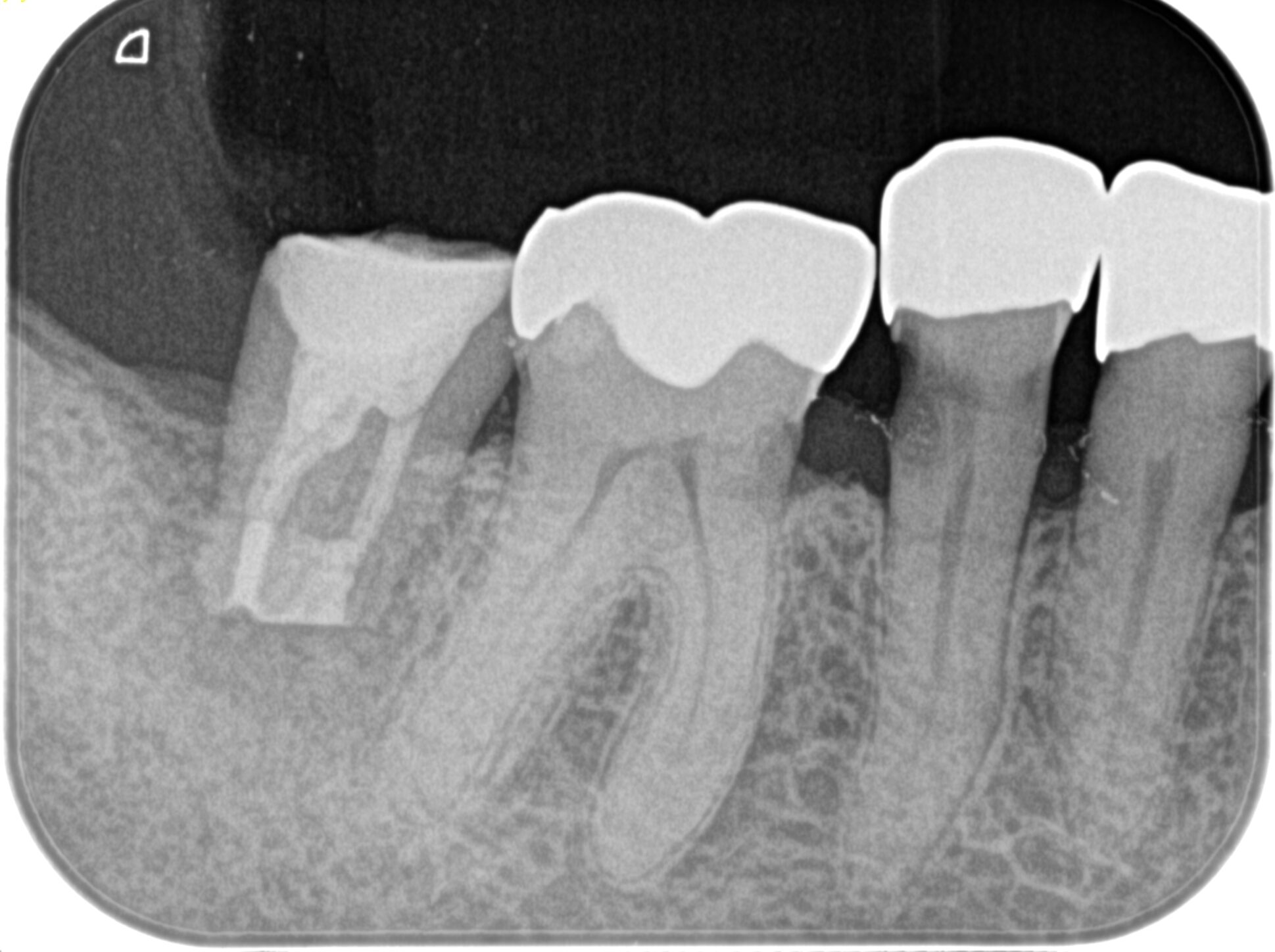
抜歯窩へ再植した。
PA, CBCTを撮影した。


ML

MB

D

問題はないだろう。
この歯牙の根尖部の歯槽骨が回復するかどうか?は時間が解決する。
そしてこれこそ、
エンド→ペリオなのか、ペリオ→エンドなのか、ペリオ+エンドの合併症なのか?の判断が迫られる難しい治療であろう。
なので、アメリカではこの手の治療はしないのだ。
が、その良し悪しを決めるのは臨床家ではなく患者さんである。
ここから半年が経過した。
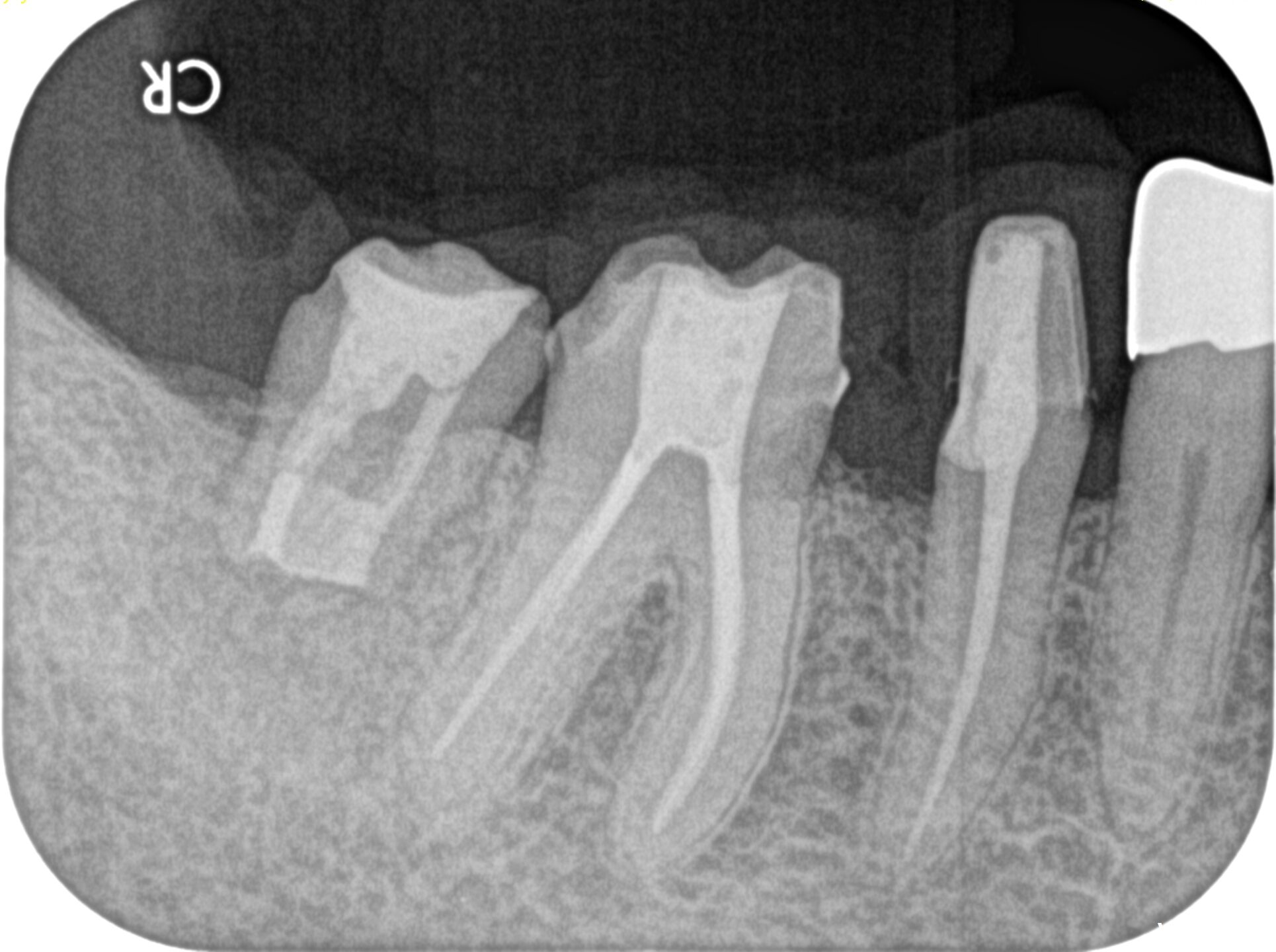
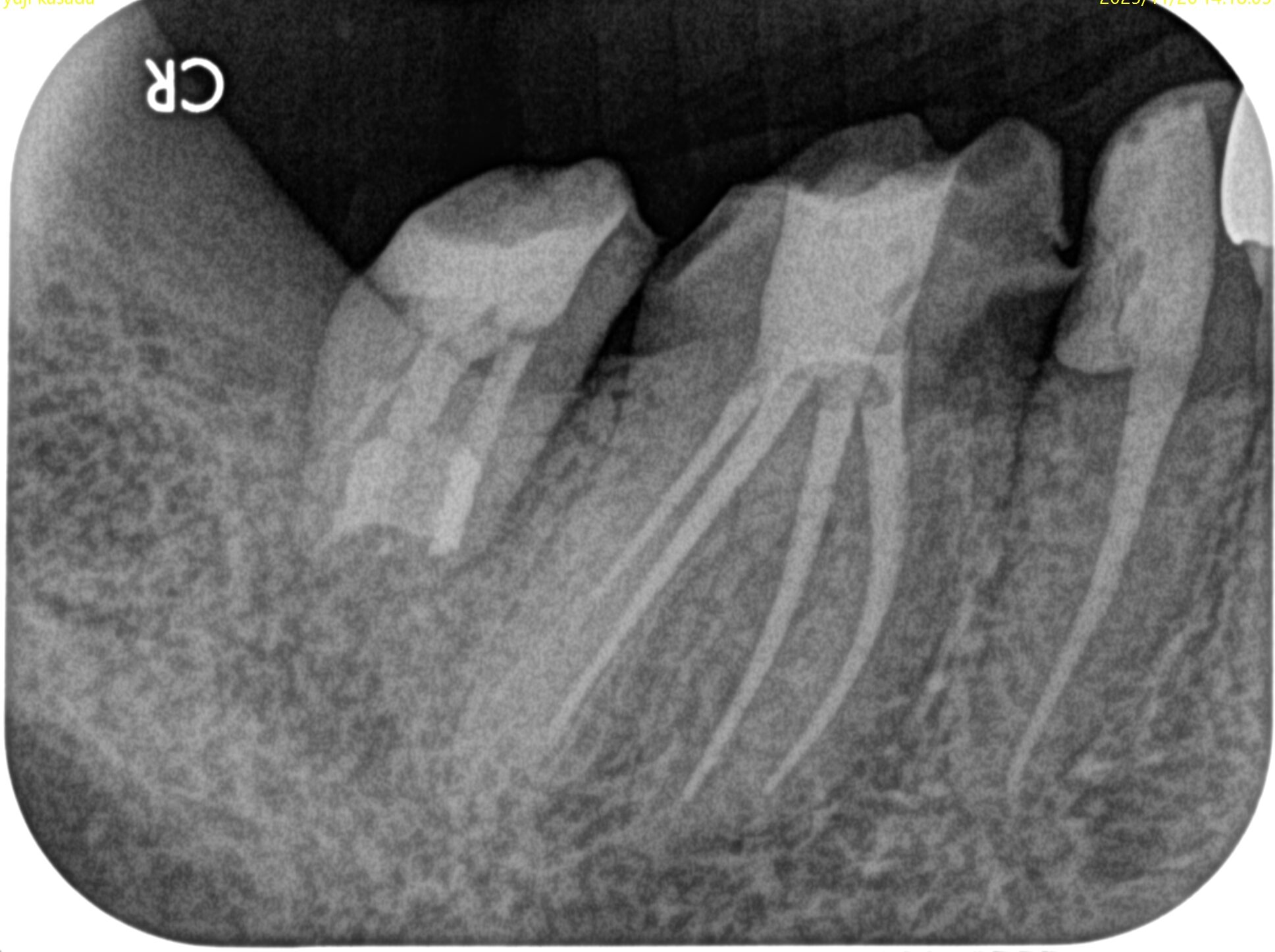
#31 Intentional Replantation 6M recall(2025.11.20)

歯牙の動揺も、
頬側の歯周ポケットも消失した。
術前の臨床症状もない。


ML

MB

D

初診時と比較した。

初診時の絶望的な状況から改善されている。
最終補綴もOKと言えるだろう。
結論を言えばこの歯周ポケットはエンドが作ったものだったのだろう。
が、エンド病変が治癒したらそれが改善されている。
エンド→ペリオ病変であったと言うことだ。
次回はさらに半年後の1年後のRecallだ。
またその模様をお伝えしたい。


