今日は以下のようなCaseと臨床におけるCBCTの重要性を語りたい。
かかりつけ医の先生からのApicoectomyの依頼が治療のそもそもの内容であった。
近傍にImplantが埋入されておりこのままでは周囲炎を将来惹起させるリスクがあるので治療の依頼であった。
検査とPAは以下である。


検査では特に臨床症状はない。
またPAではなるほど、歯内療法の問題があるとわかる。
根管充填も根尖部は疎でGutta Percha PointがKink(豚の尻尾)になっている。

根充時にそのポイントよりも先に行かないので他院での治療でそれを押し込めたのだろう。
さておき、問題解決は再治療かApicoectomyだ。
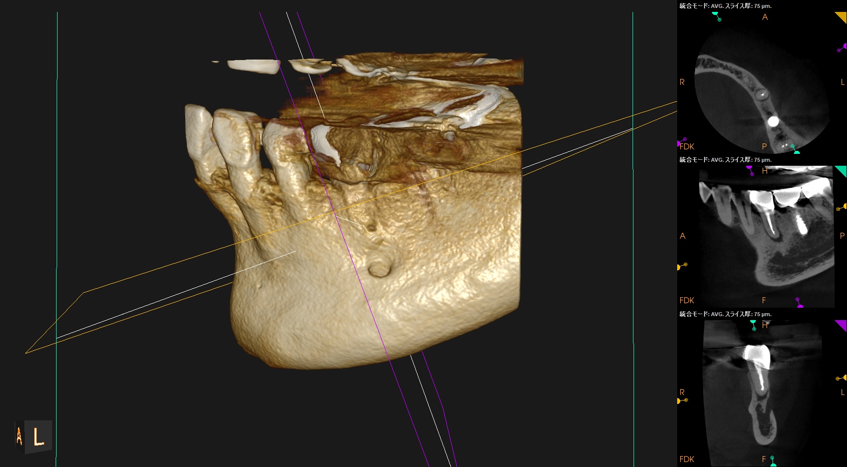
では、CBCTではどうだろうか?


そう。
Apicoectomyは不可能だ。
オトガイ孔を傷つけるリスクがあるからだ。
この瞬間に、
依頼された治療はApicoectomyからRe-RCT/Intentional ReplantationへChangeする。
しかし、どちらも成功率は90%ある治療である。
いやもっと正確に言えば、
Apicoectomyは現代の術式では90%だが、Intentional Replantationは2年生存率が88%であるし(Torabinejad 2015 Survival of Intentionally Replanted Teeth and Implant-supported Single Crowns: A Systematic Review)、
Re-RCTはこの部分よりも先まで追求できれば90%になる可能性がある(Gorni 2004 The outcome of endodontic retreatment: a 2-yr follow-up)
と言うのが正しいエビデンスではあるが、患者さんには???だろうし、現代のマイクロサージェリーをIntentional Replantationにも応用すればその成功率は高まるだろうと、Becker 2018 Intentional Replantation Techniques: A Critical Reviewも述べている通りである。
ということで、再根管治療に活路を見出そうとするのだが、口が全く開かず再根管治療自体ができないのでIntentional Replantationに移行することとなった。
が、その際に重要なことは
①対合歯と咬合させないようにする(クラウンの破損の可能性)
②脱臼させて抜歯するので(アンダーカットを越えて抜歯するので)、Toot Sloothや抜歯窩の調整(削合)を行う必要がある可能性がある
と言うところであろう。
術前に対合と噛ませないようにするために咬合調整し、Intentional Replantationをこの日に行った。
#20 Intentional Replantation(2025.10.16)
歯牙を脱臼させ抜歯した。
臨床的なポイントとしては、現代のクラウン修復で装着されている補綴ごと抜歯する場合、それが適切な方法で装着されている場合はIntentional Replantationでもクラウンが外れることは基本的にはないと言うことだろう。
口腔外でApicoectomyを行い、
PAで状態確認し、問題がないことを確かめたのちに、

抜歯窩へ戻した。
術後のPA, CBCTは以下である。



問題はないだろう。
次回は1ヶ月後である。またその模様をお伝えしたい。