以前の治療の経過観察。
近接した根の間に穿孔がある場合のその封鎖方法とLast Resort〜#15 Intentional Replantation
処置から1年が経過した。
☆この後、検査動画が出てきます。不快感を感じる方は視聴をSkipしてください。
#15 Intentional Replantation 1yr recall(2025.11.5)

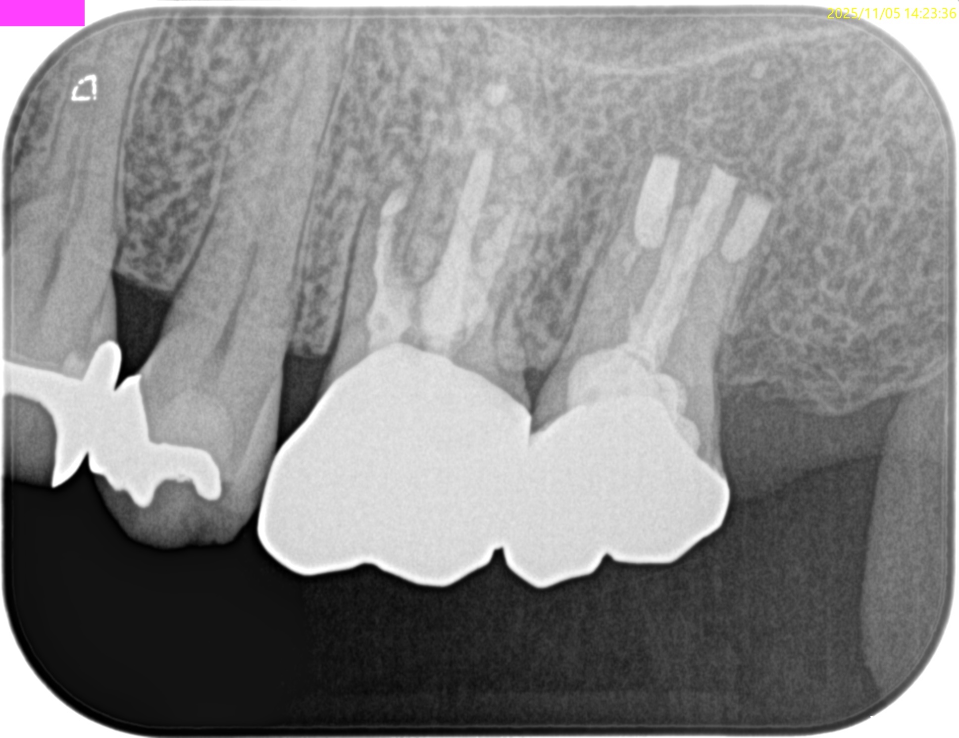
PA(2025.11.5)
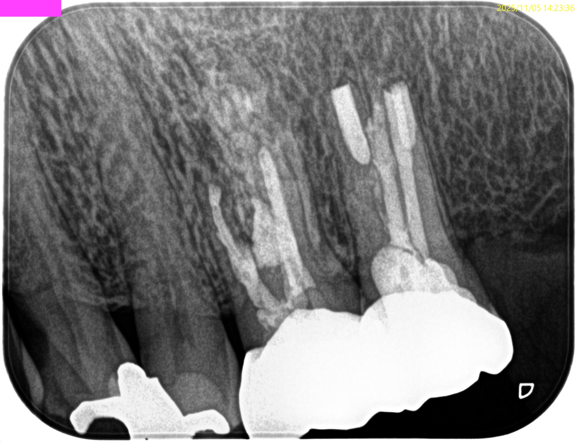
CBCT(2025.11.5)
MB
DB
P
Perforation site

治療前/直後と1年後を比較した。

完治だ。
打診試験時のアンキローシス音もない。
ということで、この日で終診とさせていただいた。
1年間、お疲れ様でした。



