紹介患者さんの治療。
主訴は、
根管治療した歯が痛い…
である。
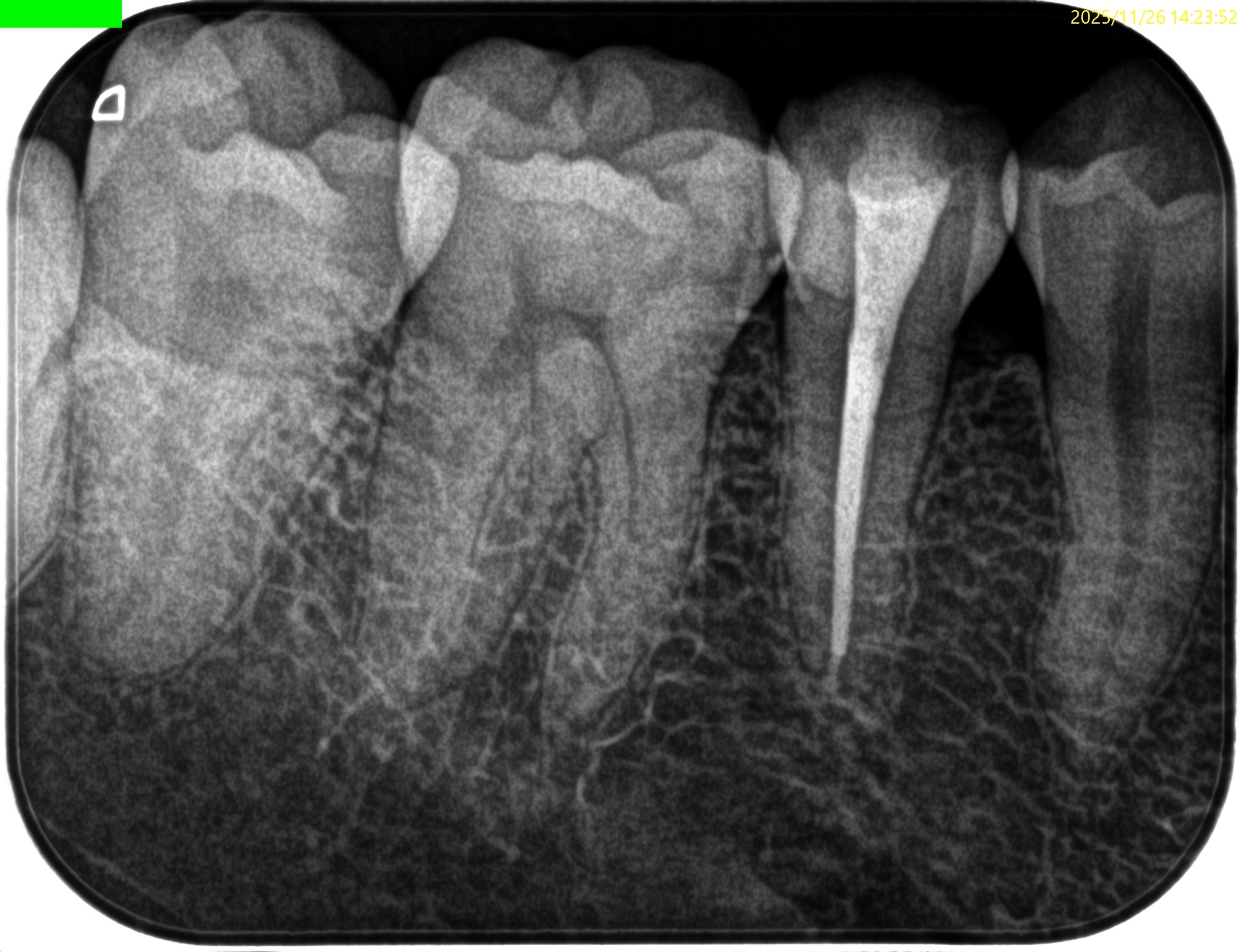
Pre-op Endo test(2025.11.26)

#29に打診痛がある。
紹介元の先生によれば#40.04まで形成したが術後の痛みが続いているという。



根尖病変はない。
拡大すると、


この根尖部の緑色の部分のせめぎ合いだろう。
ここが既に#40.04になっているということで術後疼痛が出ているということであれば、できることはさらなる拡大だ。
当歯科医院はHyFlex EDMを使用しているので、#40.04以上のFileは#50.03と#60.02しかない。
が、
#40→#50は0.25倍しか拡大できない。
が、
#40→#60は0.5倍拡大できる。
ということは、理論的に#50.03は不要であるということがわかる。
逆に言えば、
設定した作業長に対してHyflex EDMの#60.02がどこまで根管に入るか?というところで全てが決まる。
そのこころは以下だ。

歯牙には上手のように側枝が存在していることが知られているが、
#60.02を挿入した時に、

Rubber StopからReference Pointが少なくとも3mmあれば、60%の側枝が存在する領域を触れることができる。
すると勝負に勝てるかもしれない。
が、

ラバーストップがほぼタッチするようであれば、ほぼ形成できないので勝負に勝てない可能性が出てくるだろう。
しかし、それを決めるのは臨床家ではなく神様だ。

そんなことが治療前からわかるのか?と言われればわからない。
実際治療してみてその結果が推測できるのである。
その意味でも予後は、
Goodでなく、Guarded
と言える。
Pulp Dx: Previously initiated therapy
Periapical Dx: Symptomatic apical periodontitis
Recomended Tx: RCT
この後、治療動画が出てきます。不快感を感じる方は視聴をSkipしてください。
#29 RCT(2025.11.26)
穿通したFileはK File #30であった。

その後、#40.04を挿入するが

回転させる前にRubber StopがReference Pointにタッチした。
つまり、#40.04では形成不可能ということを意味する。
#60.02にサイズアップした。
この程度の形成量でこと足るだろうか?


不安を感じた私はProTaper Gold F5を使用した。
F5はわずかしか形成に寄与できていない印象だ。
工程表は以下である。

根管充填前にGutta Percha Pointを試適したが、

Reference PointまでGutta Percha Pointの折り目が行かず、#50.04にサイズダウンした。すると、

作業長まで到達した。
この時点で工程表は以下になる。

根管充填後にPA, CBCTを撮影した。



問題はないだろう。
この治療からもやはり、
FileとGutta Percha Pointには誤差があるということがわかる。

ということで次回は半年後である。
またその模様をお伝えしたい。