紹介患者さんの治療。
主訴は、
治療は不可能で抜歯が必要であると言われたが保存したい…可能なら治療をお願いしたい
である。
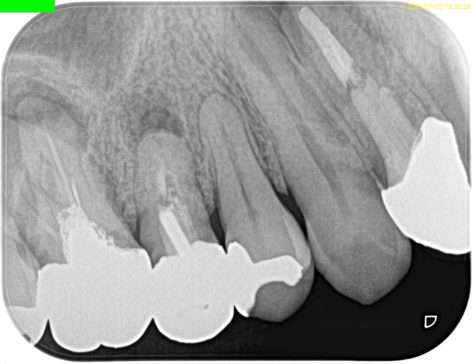
歯内療法学的検査(2025.9.22)

PA(2025.9.22)

これを治療した歯科医師は何もしていないに等しいだろう。
これで抜歯とは…
患者さんが疑念を持って正解だ。
CBCT(2025.9.22)
#4
#3 MB

DB
P


これで抜歯とは…意味がわからない。
これは全ての患者さんに提言であるが、
もしも主治医の判断に納得がいかなければセカンドオピニオンで転院した方がいいだろう。
なんせこのケースがそれを示しているのだから。
歯内療法学的診断(2025.9.22)
Pulp Dx: Previously treated
Periodical Dx: Symptomatic apical periodontitis
Recommended Tx: Re-RCT
#3,4ともに同日、再根管治療へ移行した。
まず今日は#4 Re-RCTの様子をお伝えする。
⭐︎この後、治療動画が出てきます。不快感を感じる方は視聴をSkipしてください。
#4 Re-RCT(2025.9.22)
Screw pinを除去し作業長を計測したが…
何とK File #70で穿通した…。

このCBCTの絵でこの結果が想像できるだろうか?
このことから何が言えるか?と言えば、
CBCT画像からのみ根尖部の解剖学的形態・状態を推し量るのは無理である
という臨床的事実だ。
再根管治療は実際にFileを根管の中に入れないとそれに意味があるかどうか?はわからないのである。

根管をヒポクロと超音波洗浄(Passive Ultrasonic Irrigation)し、根管充填する。
Gutta Percha Pointの選択は…
#60.04であった。
術後にPA, CBCTを撮影した。


#60.04で問題はなかった。
このように現代の歯内療法は、
Gutta Percha Pointの試適との戦い
であるということがわかるだろう。

問題はない。
ということでこの歯の予後は6ヶ月後にCheckする。
洗浄だけで治癒するだろうか?またその結果をお伝えしたい。



