以前の治療の経過観察。
治療から10ヶ月が経過していた。
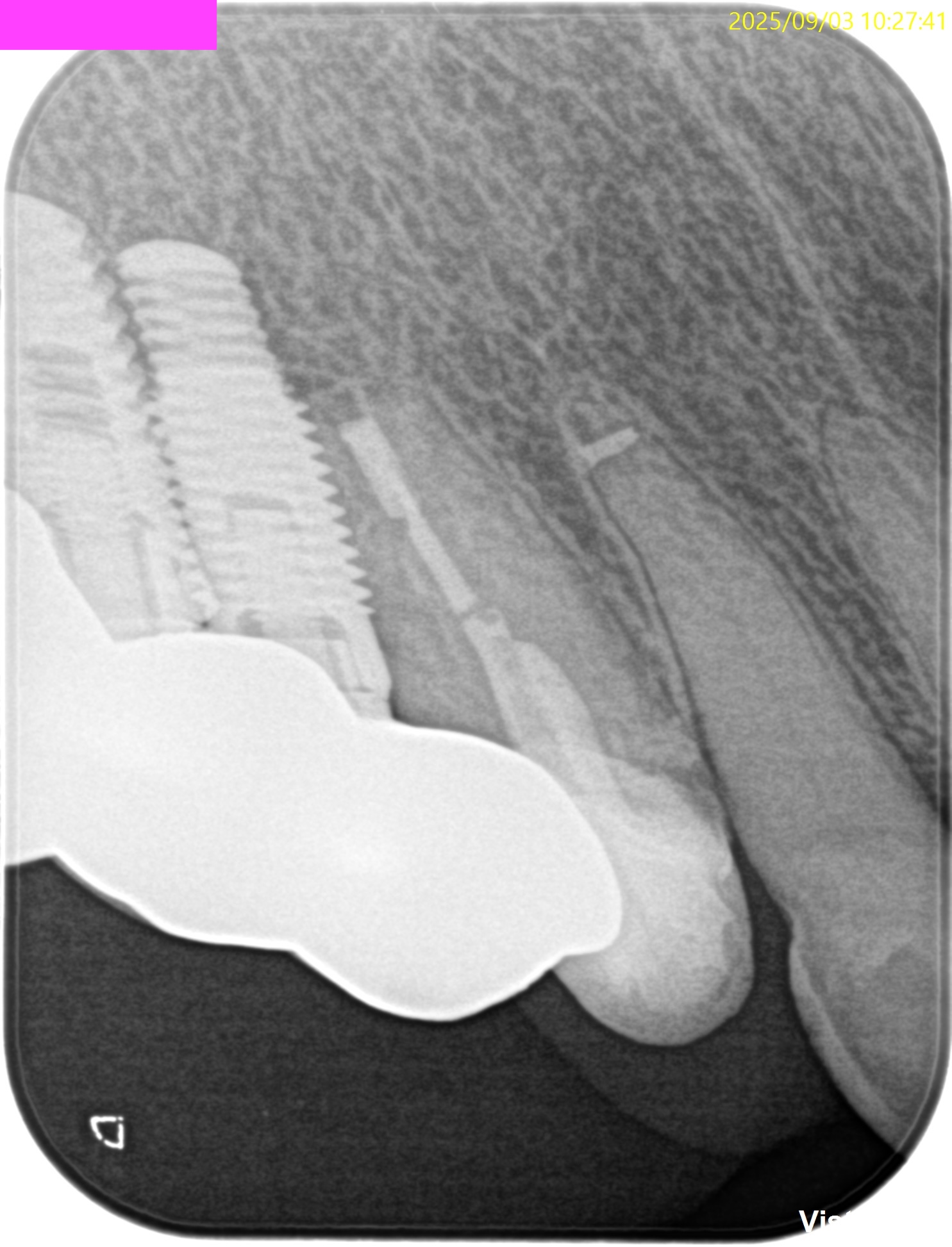
術後全く痛くなくなったのに最近、急に痛みのようなものが出て不安になったので、と言うことで1年予後の2ヶ月早い10ヶ月リコールで来院された。
#6 Apicoectomy 10M recall(2025.9.3)

臨床検査ではさまざまあるようだ。
が、痛い!と言う症状はない。
初診時に存在していた
“明確な”
打診痛
咬合痛
根尖部圧痛
は消失した。



術直後と比較した。

90%がた治癒していると言えるだろう。
Gutta Percha Pointは除去できていないまま、なのにだ。
だからなんだろうか?
学術的にはマクロファージに貪食されるのでは?という意見があるが、真実はわからない。
かかりつけ医の先生には患者さんと最終補綴を協議するように依頼した。
次回はさらに2ヶ月後でApicoectomyから1年後である。
またその模様をお伝えしたい。