紹介患者さんの治療。
主訴は、
奥歯が痛くて物が噛みにくい状態がここ数週間続いている…早く噛めるようになりたい。。。
である。
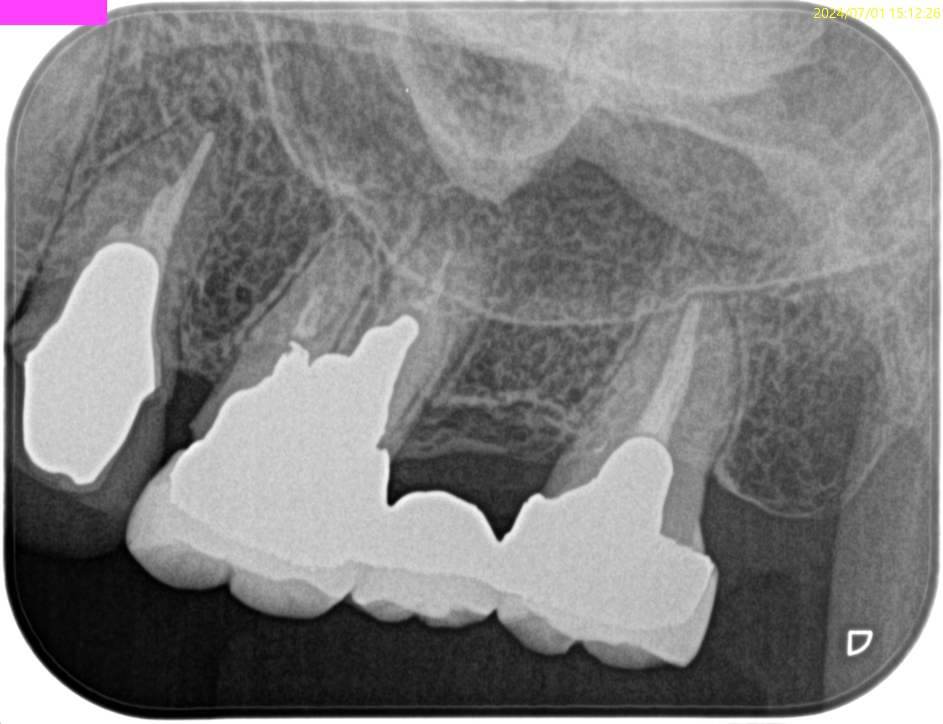
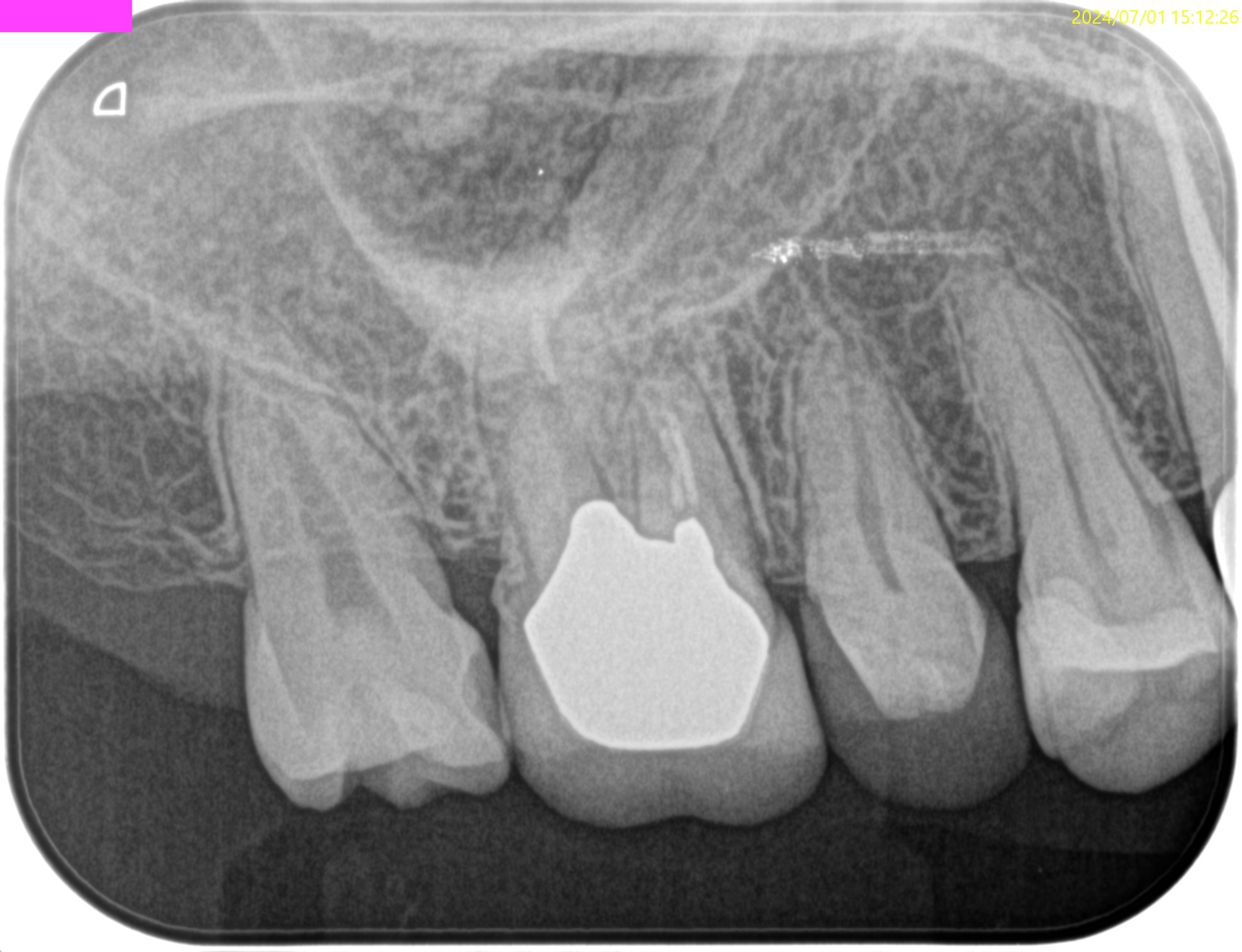
歯内療法学的検査(2024.7.1)


PA(2024.7.1)

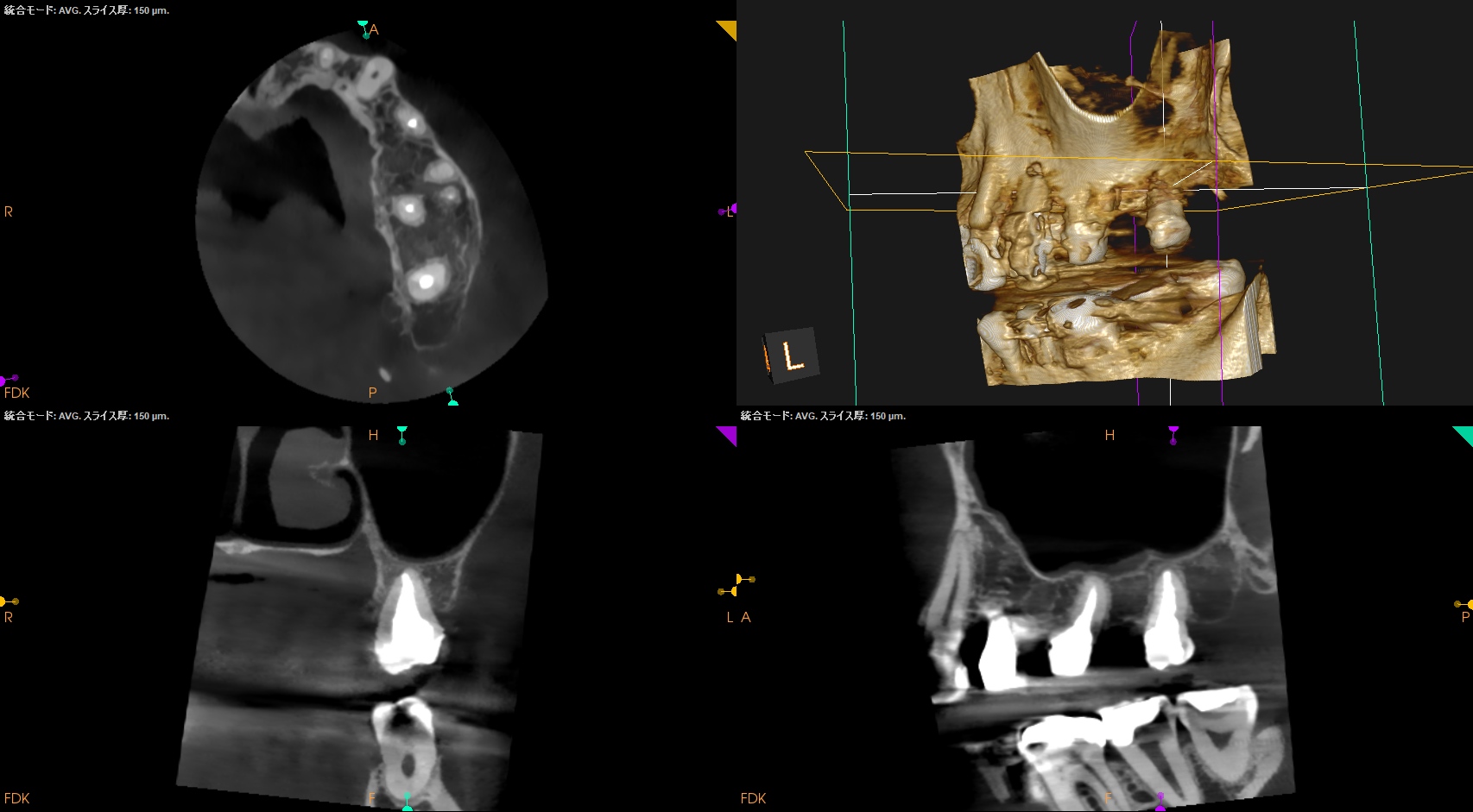
CBCT(2024.7.1)
#3
MB
DB
P
MB,DB,Pと3根全てに病変がある。
しかも形成が不完全だ。
再根管治療が濃厚である。
#14
MB
DB
P
MB,DBには病変がないが、Pに存在する。
これは頭が痛い。
パラタルフラップも困難なケースだからだ。
#16

歯内療法学的診断(2024.7.1)
Pulp Dx: Previously treated
Periodical Dx: Symptomatic apical periodontitis
Recommended Tx: Re-RCT
別日に治療へ移行した。
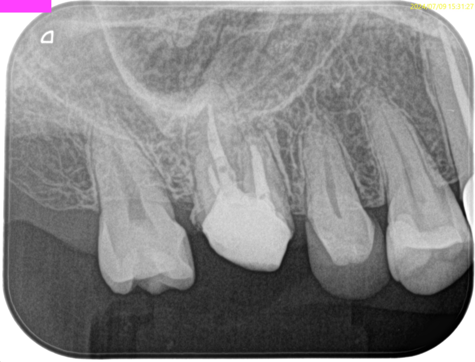
#3,14 Re-RCT(2024.7.14)
再治療では3根管とも#25.VがいきなりReference Pointに到達したことから#60.02まで形成した。
作業内容は以下だ。
#3 作業長 #14 作業長 #16 作業長#3,14は#60.02まで、
#16に至っては根管形成自体ができていない。洗浄のみで再根管治療が終了している。気休めに超音波洗浄しただけだ。
こんなことで治癒するのだろうか?
術後にPA, CBCTを撮影した。




#3
MB
DB
P

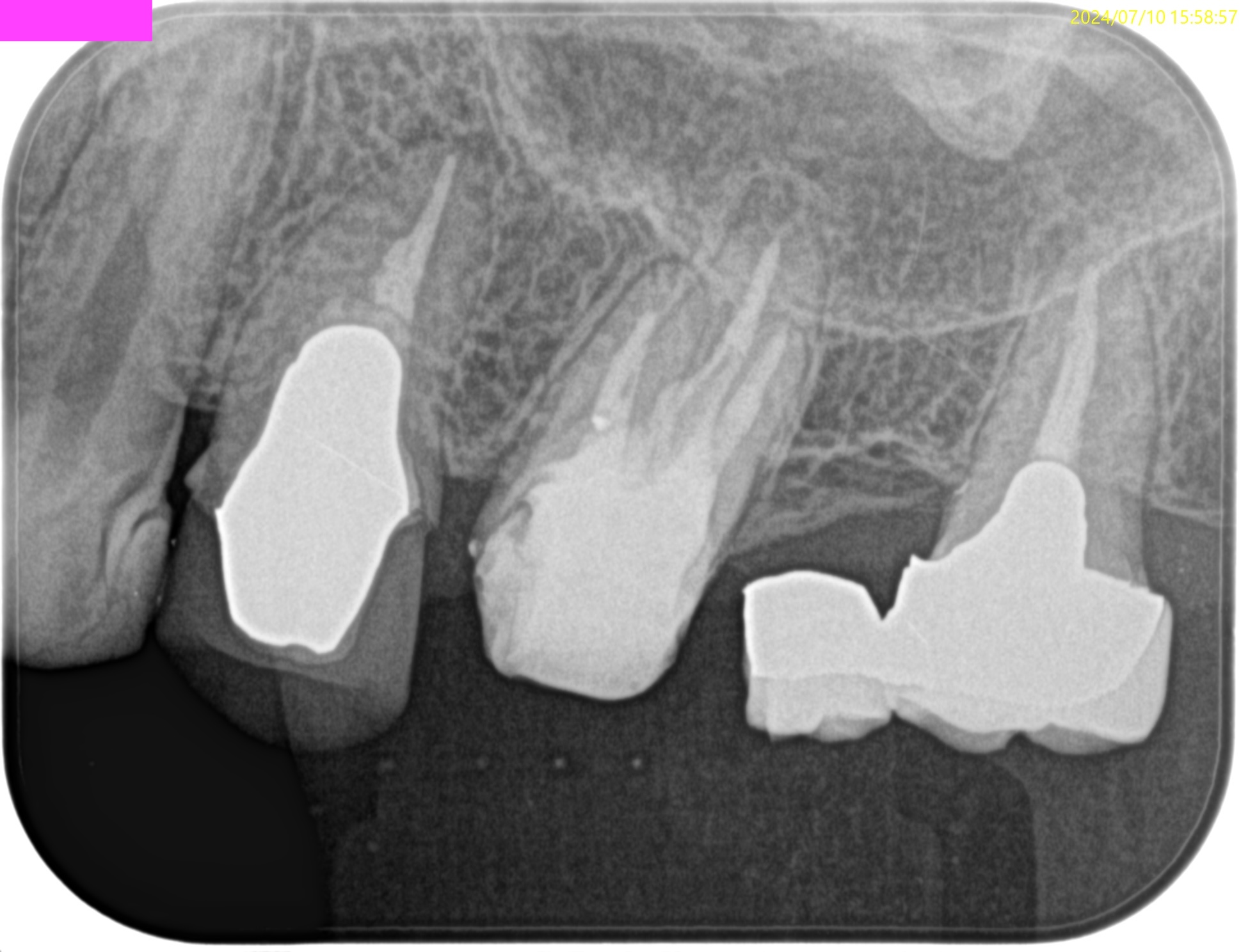
#14
MB
DB
P

#16

ここから1年、時間をおいた。
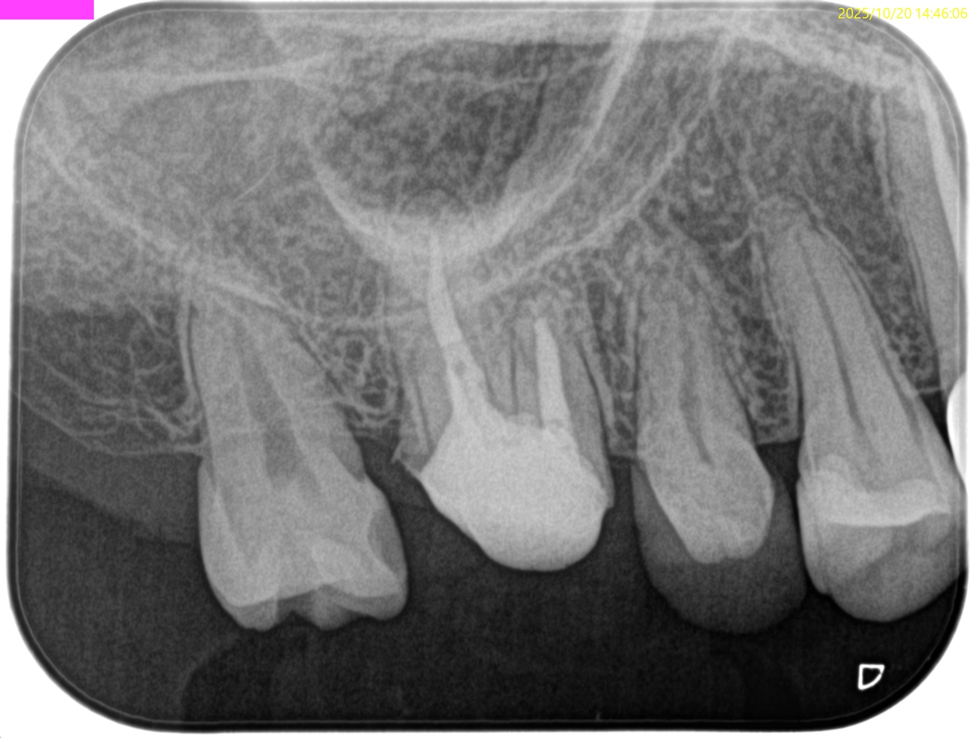
#3,14,16 Re-RCT 1yr recall(2025.10.20)



#3
MB
DB
P
#14
MB
DB
P
#16
初診時+治療直後と比較した。
#3
#14
#16

劇的に病気が治癒している。
特に#16は凄まじい。
超音波洗浄しかできなかったのに根尖病変が治癒しているのだ。
免疫力が非常に強い患者さんなのだろう。
あらためて、この話↓を実感せずにはいられない。
Siqueria 2008 Clinical implications and microbiology of bacterial persistence after treatment procedures

ということで、かかりつけ医には最終補綴を依頼した。
次回はさらに1年後である。
またその模様をお伝えしたい。


















