以前の治療の経過観察。
どの歯科医院に行っても歯が折れていると言われる…なんとか残せないだろうか?〜#31 Intentional Replantation
どの歯科医院に行っても歯が折れていると言われる…なんとか残せないだろうか?〜#31 Intentional Replantation 3M recall
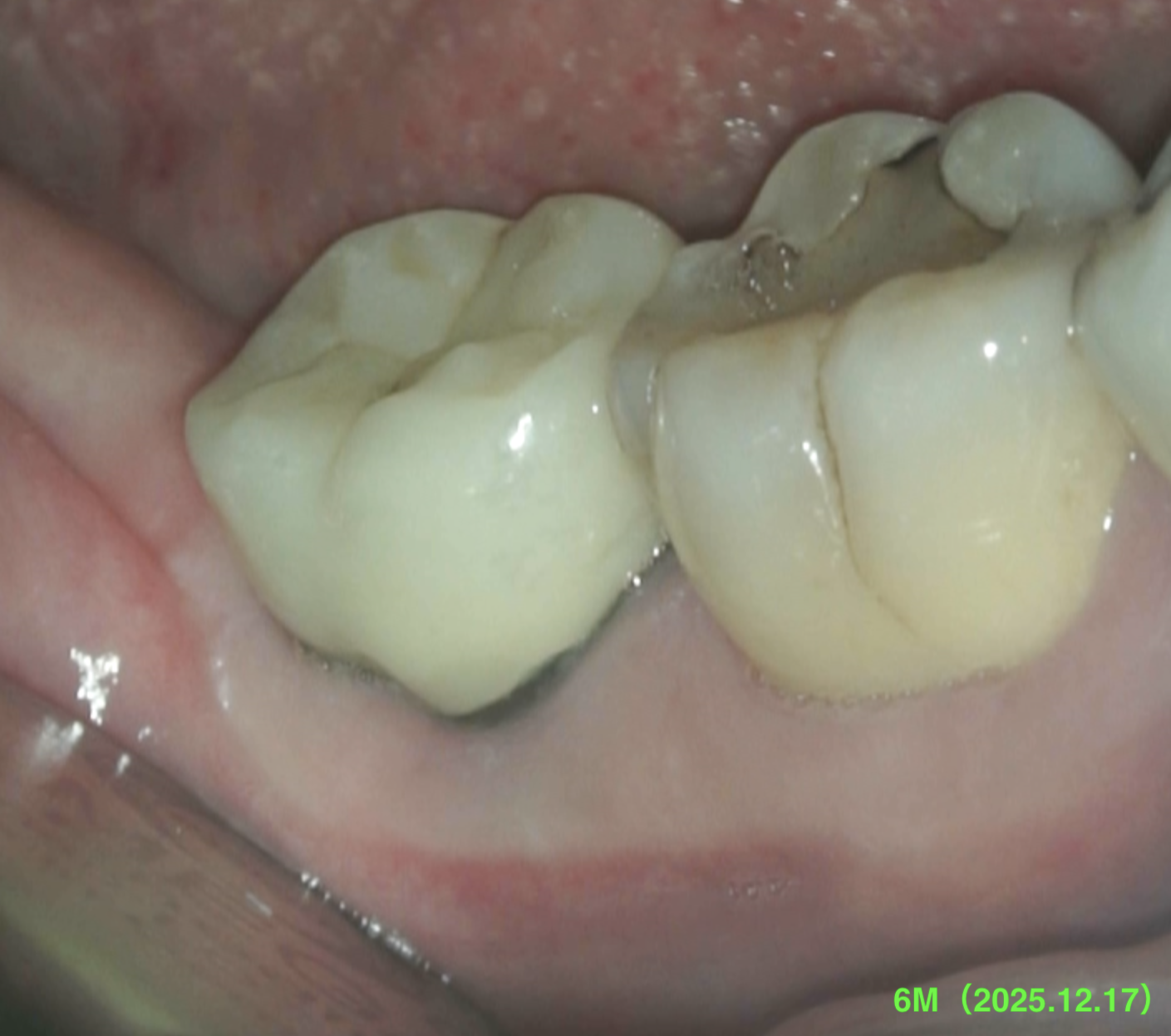
治療から半年が経過した。
#31 Intentional Replantation 6M recall(2025.12.17)


すでに最終補綴が装着されている。
どの歯科医院に行っても歯が折れていると言われる…といわれたのに、だ。

PA所見も半年前とは大違いである。






Sinus tractは消失し歯槽骨も大幅に回復し、最終補綴も装着されている。
次回はさらに半年後の2026.6を予定している。
またその模様をご報告したい。