以前の治療の経過観察。
治療した部位が腫れたという。
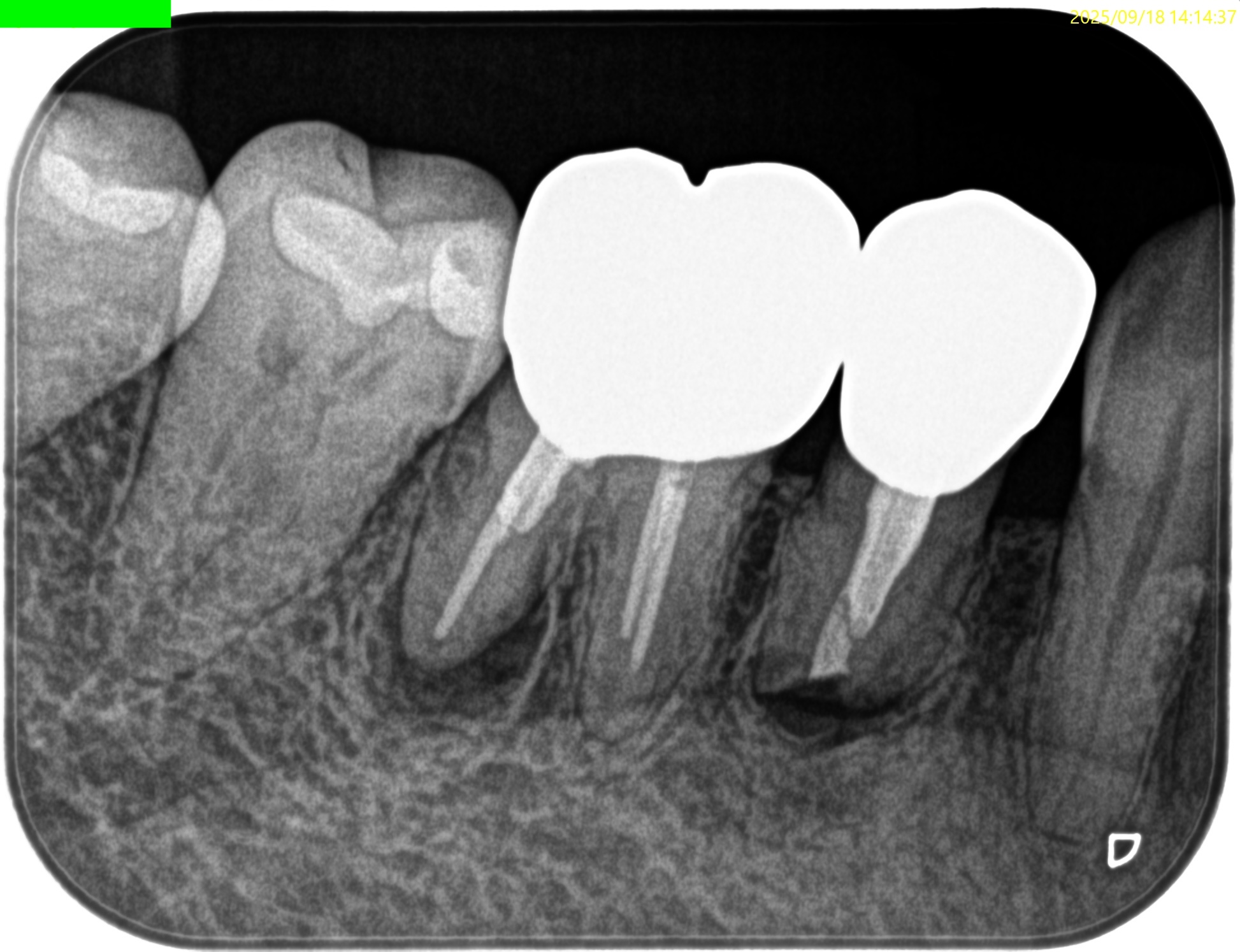
時系列は以下だ。2020.9.20に#29 Apicoectomyをしている。


1年後にFinalが装着された。

病変が治癒していない。
3年経過したのに、だ。

4年経過しても治癒していない。

が、患者さんは症状がないのでこのまま経過を見ることになった。
という中、外科後5年で歯茎が腫れて痛いと連絡がある。

#30 DはApicoectomyであり、先日の記事通りである。
では#29はどうなのか?といえば、

VRFも疑われるような状況である。
が、折れているかどうかは実際に歯牙を直視で見ないとわからない。
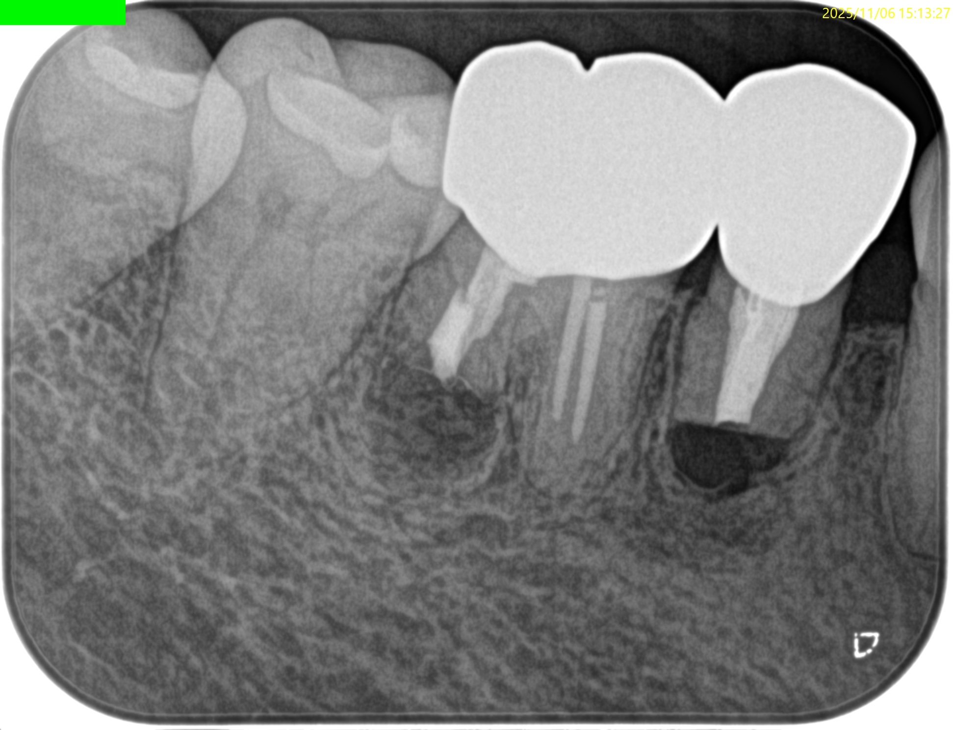
ということで、Intentional Replantationへ移行した。
☆この後、外科動画が出てきます。不快感を感じる方は視聴をSkipしてください。
#29 Intentional Replantation(2025.11.6)
抜歯後、歯牙の舌側を確認するが…

破折はなかった。
では、何がApicoectomyの失敗だったのだろうか?
治療を進めていく。
私がまず怪しんだのはこの切断部分だ。

ハの字で完全に切断できていない。
これが切り残し感染が持続していたのかもしれない。
ここを修正し、より深く逆根管形成した。
逆根管充填した。
PAを撮影した。

再植した。
PA, CBCTを撮影した。



問題はないだろう。
この1ヶ月後に再来院された。
#29 Intentional Replantation 1M recall(2025.12.5)
軽度な動揺はあるものの、著明な動揺はない。
次回はさらに1ヶ月後である。
また予後をご報告したい。