以前の治療の経過観察。
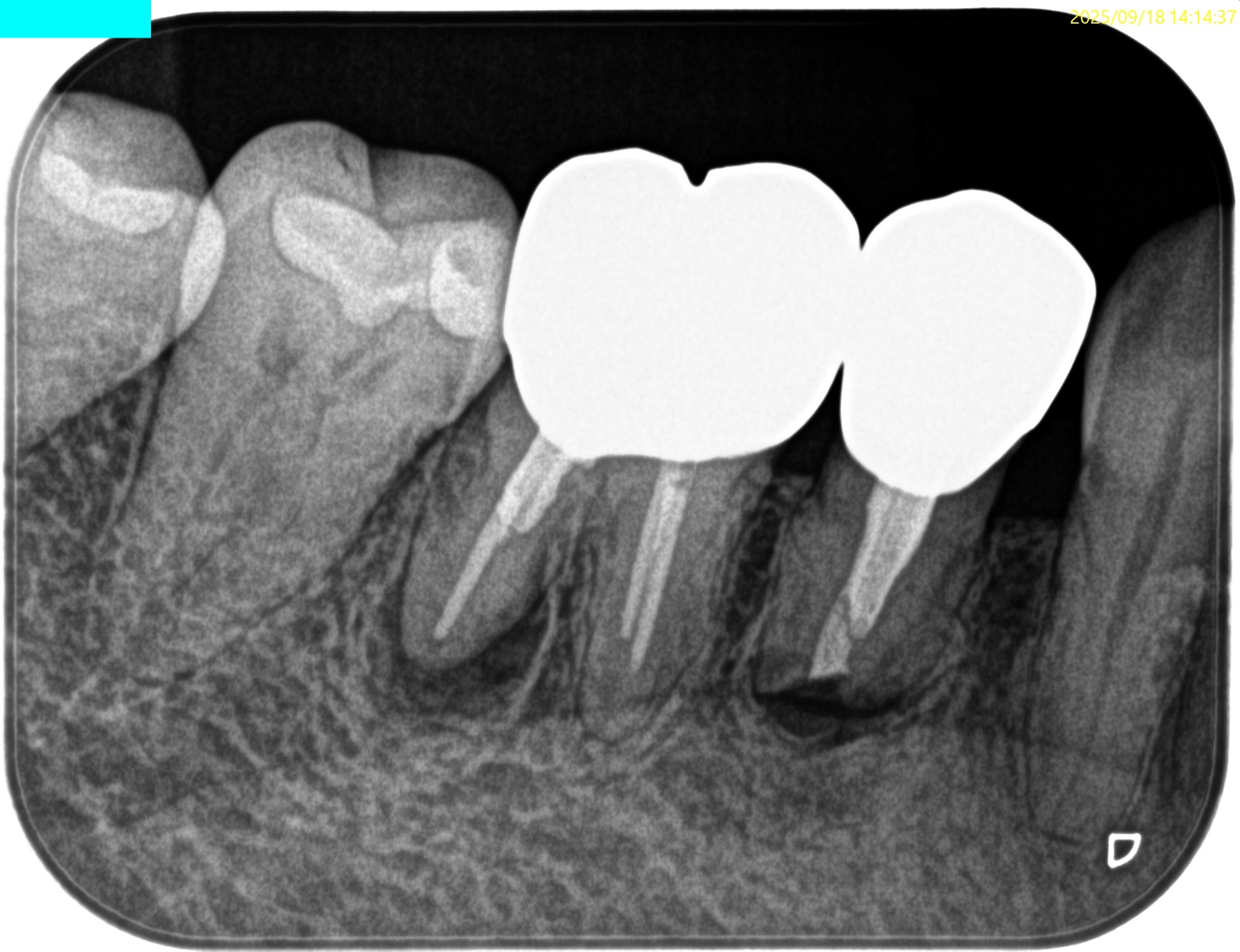
数年ぶりに患者さんが歯茎の腫脹で来院した。



MB
ML
D

以下のような術式で行われるべきでああろう。

別日に治療が行われた。
☆この後、外科動画が出てきます。不快感を感じる方は視聴をSkipしてください。
#30 D Apicoectomy(2025.10.8)
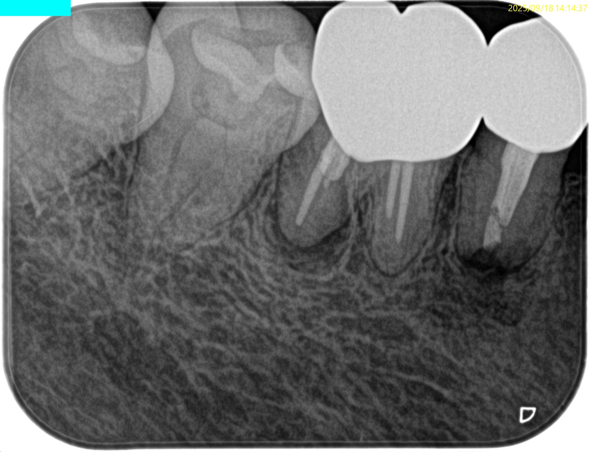
私にはD根が歯槽骨から透けて見える。
OsteotomyしてRoot resectionした。
Retroprepした。ここが一番時間がかかる。
問題はないだろう。
逆根管充填した。
PA, CBCTを撮影した。



問題はないだろう。
縫合して終了した。
次回は1年後である。
またその模様をお伝えしたい。

