以前の治療の経過観察。
前歯の根元に膿が溜まっていると言われ、抜歯が必要と言われたが抜きたくない。残せないだろうか?〜#8,9 Apicoectomy
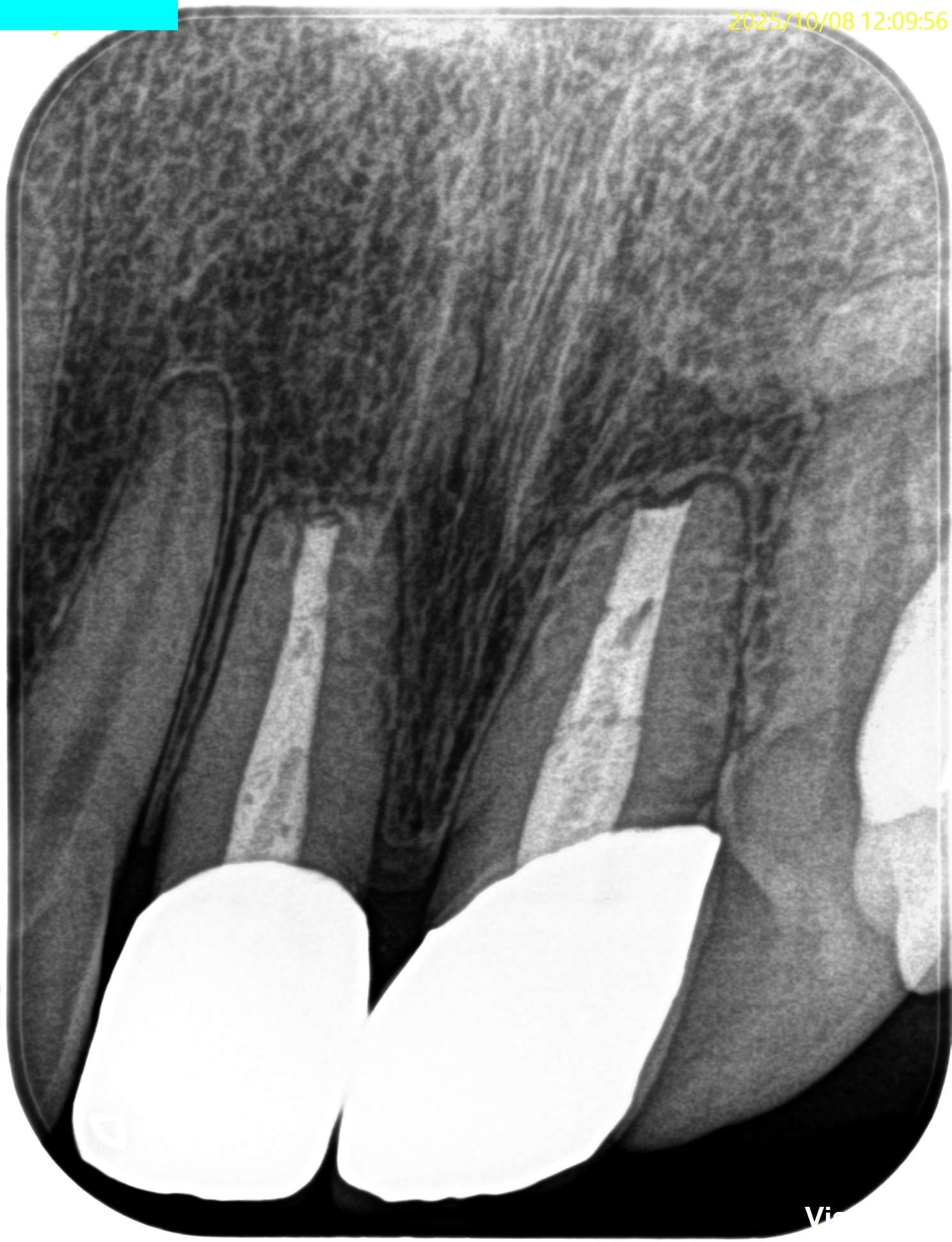
#8は通常通り3mm,
#9は歯根の外部吸収があるため臨在歯を考慮しApexから1mmのみ切断して行ったApicoectomy
から1年が経過した。
そのような内容で治癒するのだろうか?
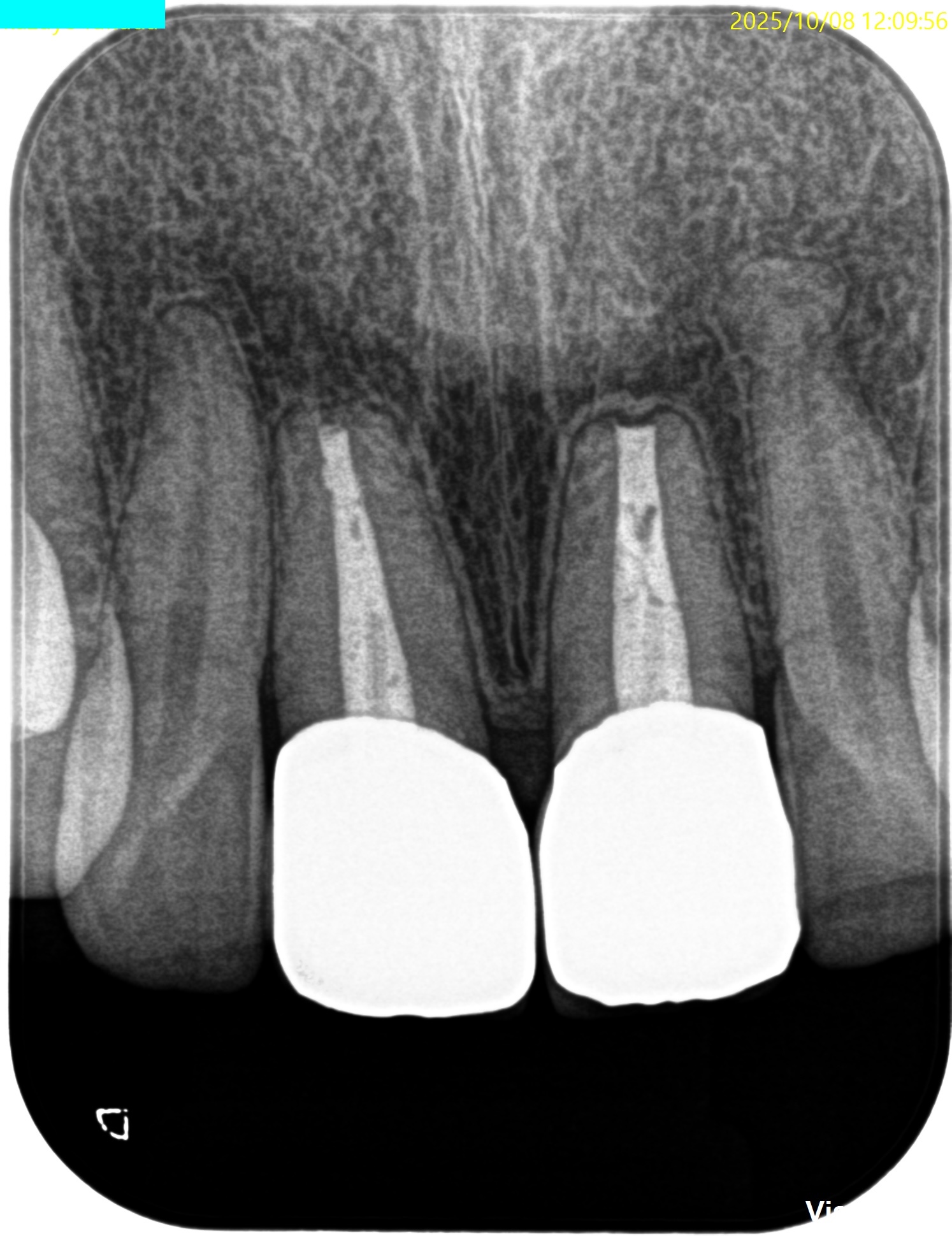
#8,9 Apicoectomy 1yr recall(2025.10.8)



#8
#9

術後と比較した。

術前の問題は消失した。
#9はやはり術前の予想通り1mmの切断で事足りた。
また、術後の瘢痕も気にならないという。
それはそうだ。
どの歯科医院に通っても、前歯の根元に膿が溜まっていると言われ、抜歯が必要と言われた(が抜きたくない。残せないだろうか?)
のだから。
歯科医療は“行う人”によって大きな差がつく医療分野
と言えるだろう。
最終補綴も装着されていることから、この日で終診でいいだろう。
長い間、お疲れ様でした。
