以前の治療の経過観察。
治療から5ヶ月が経過していた。
術前には1年前から歯茎が腫れていた…という案件があった歯牙だ。

免疫力が勝つか?
細菌の毒性がそれを駆逐するか?
勝負はどうなっただろうか?
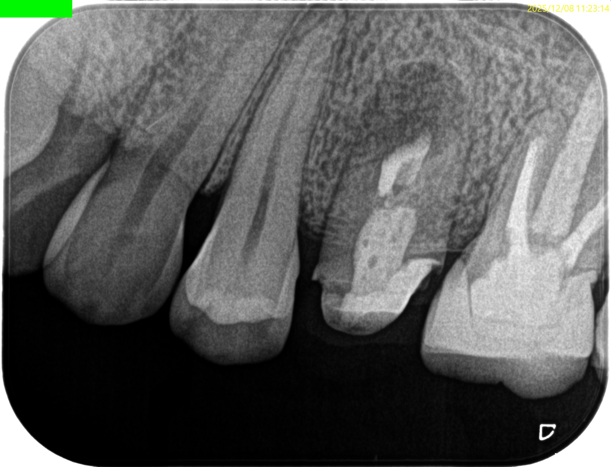
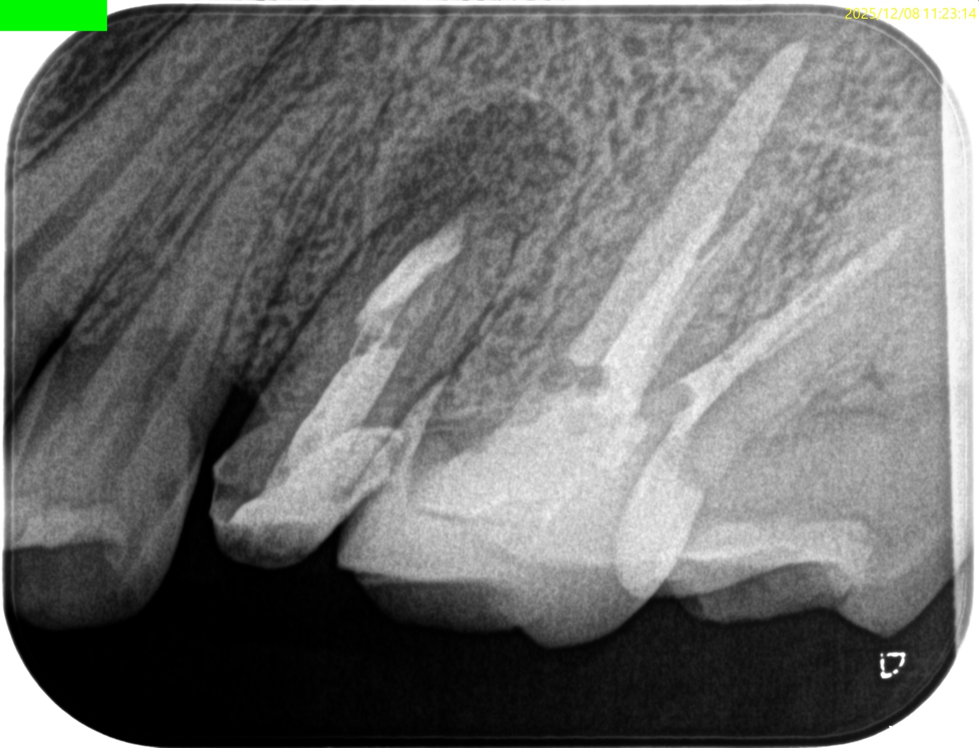
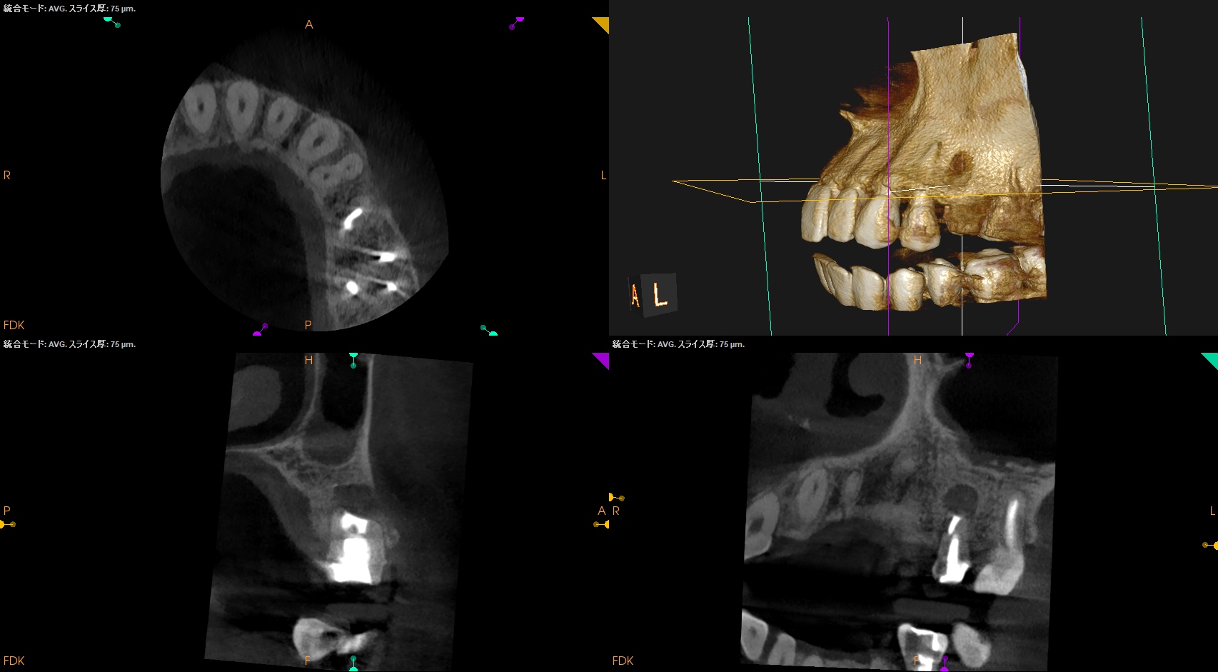
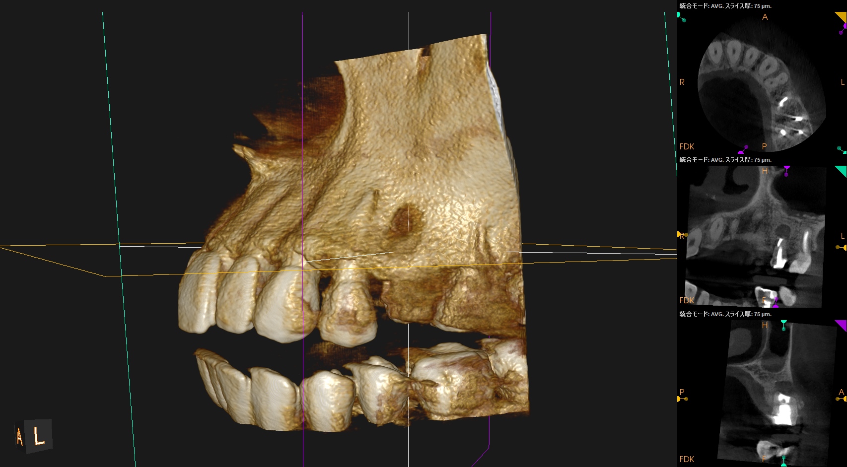
#13 Apicoectomy 5M recall(2025.12.8)


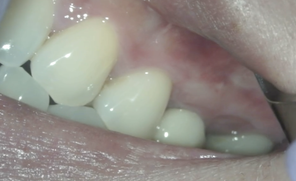
歯肉の腫脹は消失した。




初診時と比較した。

劇的に歯槽骨が回復している。
そして歯肉はどうだろうか?
特に抜糸時は以下のような痛々しい状態だった。
きちんと縫わなくていいのか💢と抗議がきそうだが、
(歯周病でなければ)神様が治してくれるのである。
治療前・直後と5ヶ月後を比較した。

全く違う世界がそこにはあっただろう。
次回はまた半年後である。
またその模様をお伝えしたい。