前回、前々回の記事で歯内療法におけるCBCTの有用性について論じたが、
歯に穴が空いてしまった。。。前歯なので抜きたくない。なんとか残せないだろうか?〜#9 Invasive cervical root resorption repair, RCT 1回法
今日はその応用編をご紹介する。
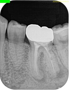
Pre-op Endo test(2026.3.2)


頬側遠心のクラウンマージン部付近にアブセスがある。


2枚のPAでは何もわからない。
MB

ML

DB

DL

B

Pre-op Endodontic Diagnosis(2026.3.2)
Pulp Dx: Previously treated
Periapical Dx: Chronic apical abscess
Recommended Tx: Re-RCT
診断はついたが、


あなたはこの一連の“絵”に気づいただろうか?
そう。
この歯は歯頸部に外部吸収を抱えていたのである。

この2枚のPAでそれがわかるだろうか?
私にはわからない。
私が気づいたのは、

この絵をみて
違和感
を感じたからである。
穿孔しているのだろうか?とまず思ったが、CBCTをみてそれは穿孔でなく外部吸収の可能性が高いと判断できた。
外部吸収の原因は以下だ。
歯の外部吸収(External Root Resorption)
外部吸収(外部性歯根吸収)は、歯根の外側(セメント質・象牙質)が破壊されていく病態で、大きく分けて「炎症性」「置換性」「頸部吸収」などがある。
① 炎症性外部吸収(Inflammatory External Resorption)
🔥 主な原因
外傷(打撲・脱臼・再植)
感染(根尖性歯周炎)
矯正治療(過度な力)
歯根破折
歯周炎
🔬 メカニズム
セメント質が損傷
歯根表面が露出
破骨細胞様細胞が活性化
吸収進行
👉 特に 感染があると吸収は加速する
② 置換性吸収(Replacement Resorption / Ankylosis)
主な原因
重度の外傷
歯の再植後
長期間の脱臼
特徴
歯根が骨に置き換わる
動揺が少ない
進行すると歯根が消失
③ 外部頸部吸収(Cervical Resorption)
主な原因
外傷既往
矯正治療
内部漂白
歯周外科
原因不明(特発性)
特徴
歯頸部から侵入
ピンクスポットが見えることも
④ 矯正治療関連吸収(EARR)
リスク因子
強い矯正力
長期間の治療
過去の外傷歯
個体差(遺伝的素因)
👉 通常は軽度で臨床的問題は少ないが、重度例もあり。
⑤ 全身的要因(まれ)
甲状腺疾患
副甲状腺異常
Paget病
いずれにしても外部吸収は基本的に、
歯根表面の防御層(セメント質)が破壊 → 破骨(歯)細胞が活性化
この流れが起点である。
そしてもっと重要なことは上記のどれに該当するか?臨床では判別できないということである。
いずれにしても問題を解決するには、感染が止まれば吸収も停止することが多いので処置は再根管治療がその第1の選択肢になろう。
そしてそれを行う前に外部吸収を封鎖する必要がある。
このように
もはや全ての歯内療法の処置前には必ずCBCTが必要
という法則が成り立つ。
では実際の処置はどうするのか?であるが、

MBは外部吸収を封鎖する前に根管治療するとヒポクロが漏れて苦いと言われるだろう。

DBはそれはないだろう。
これらの画像的事実と臨床検査から
1. まず外部吸収を封鎖する
2. その後(その日に)、再根管治療を行う
という治療計画を提示し、患者さんが同意していただいたのでまずは外科だ。
ということは、緑のキシロカインが必要であるということがわかる。
が、処置前の伝達麻酔にそれは必要だろうか?
ここまで来て、???なあなた、
Advanced Course 2026
でお待ちしています。(このコースの3回目に麻酔の講義と実習を行います)
ということで正しい診断は以下である。
Pre-op Endodontic Diagnosis(2026.3.2)
Pulp Dx: Previously treated
Periapical Dx: Chronic apical abscess
Recommended Tx: External root resorption repair→Re-RCT
同日、治療へ移行した。
☆この後、外科動画が出てきます。不快感を感じる方は視聴をSkipしてください。
#19 External root resorption repair→Re-RCT(2026.3.2)
M根の吸収部位を明示した。
そして、キャビトンを置いてBC Linerで外部吸収部位を閉鎖した。
Dも同様にして閉鎖し、双方とも研磨し、縫合した。
この後、再根管治療を行う。
チャンバーオープンし、
未着手のDLは根管口がレジンで充填されていた。
レジンを除去し、SXでDL, DBの根管口部を拡大した。
未着手のDLはC+#10で穿通した。
が、それ以外の根管は穿通しなかった。
以下のように再根管形成し再根管充填した。

術後にPA, CBCTを撮影した。


MB

ML

DB

DL

B

問題はないだろう。
次回は半年後である。
またその模様をお伝えしたい。
