今日はCBCTが逆根管形成・逆根管充填直後の評価に有効であるという話をしてみたい。
患者さんは紹介で来られた。
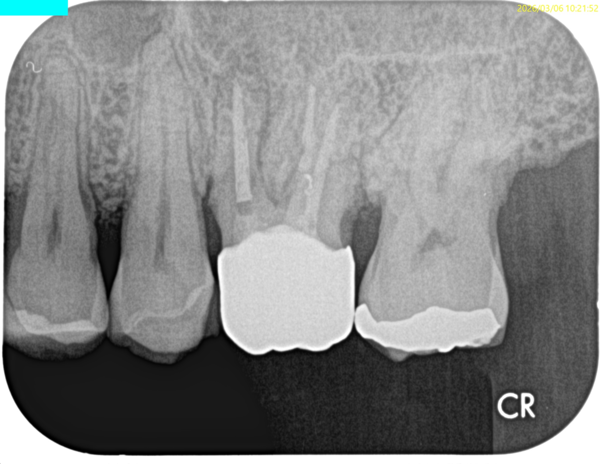
Pre-op Endo Test(2026.3.6)



MB

DB

P


MBの根尖病変が大きくなり上顎洞に穿孔している。
歯性上顎洞炎の可能性がある。
そしてMB2と思しきものはあるが、それが非外科的歯内療法で穿通する保証もない。
ということは…
MB Apicoectomyだ。
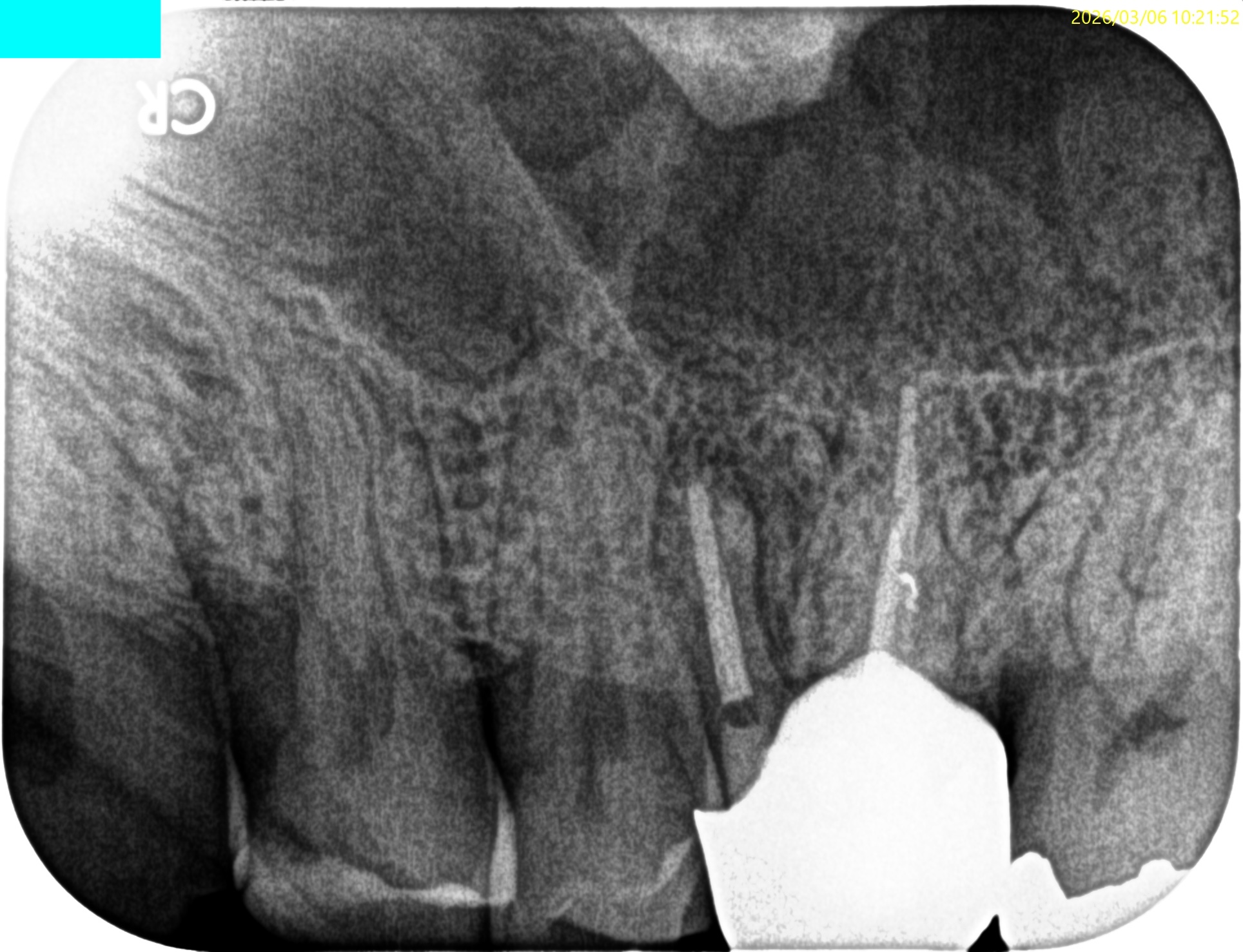
#14 MB Apicoectomy(2026.3.6)
MBの切断面が

このような形状になっていることから切断に問題がないことがわかる。
そしてこれをRetroprepすると、

このような状態になることが予想できる。
ということでRetroprepした。
PA, CBCTを撮影した。




逆根管充填材が頬側に寄っているような絵である。
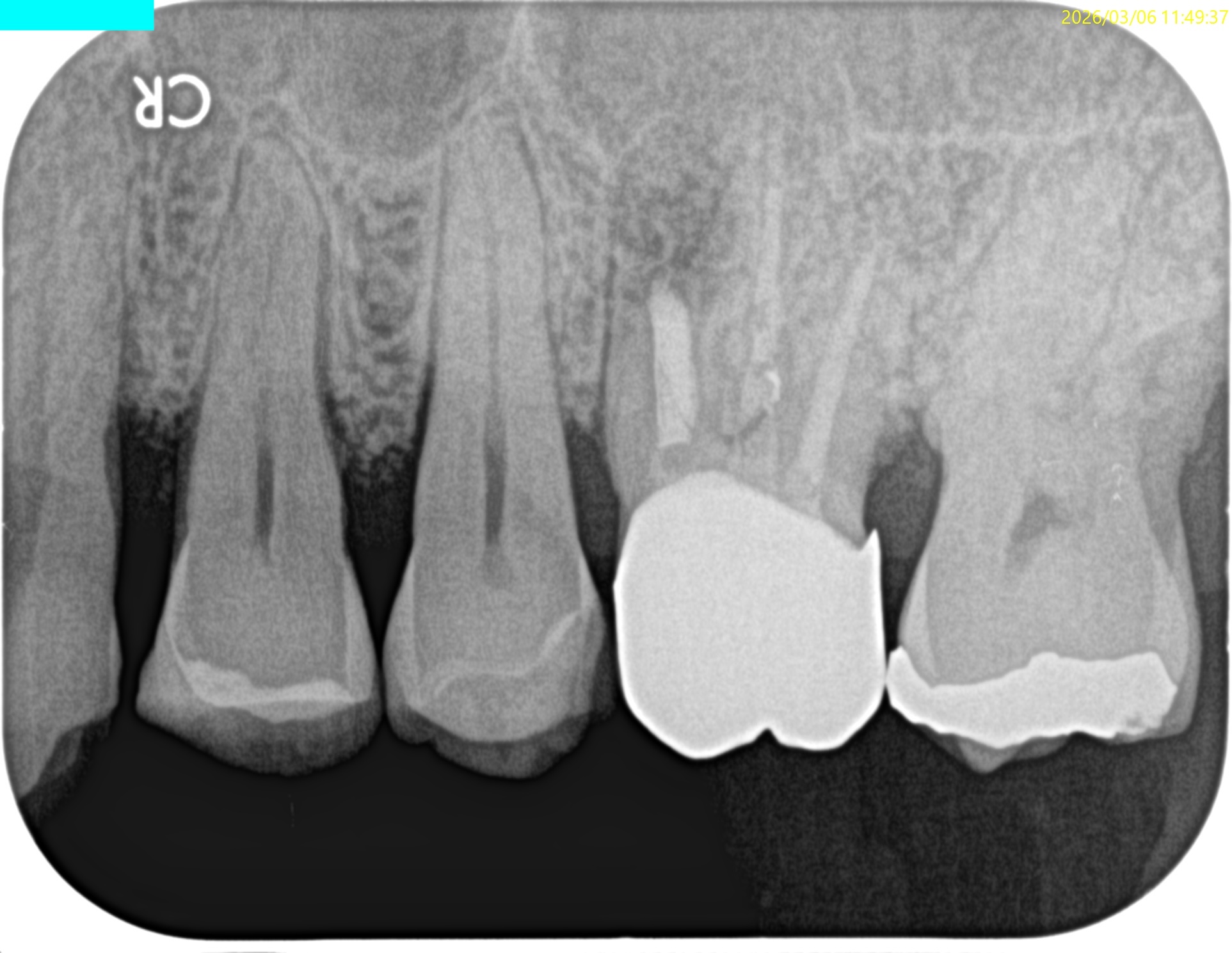
が、だ。

これはこのような切断部位で観察していることになる。
いわゆる、
歯軸と並行でないのである。
歯軸と並行になるようにCBCTのバーを動かした。
すると…



このような絵になる。
ここを、

こうすべきだろうか?
それともこのままで

いいだろうか?
私の頭に思い浮かんだの以下のケースだ。

のように逆根管充填しても治癒するだろうが、
中心に対して左右非対称に近くなることから私は修正しない道を選択した。
つまり、


この状態でOKと判断したのである。
この治療の結果が出るのは半年〜1年後であるのでまたこの日の記事の続報はご報告したい。
さて、この日の記事で言いたいことは私の処置に対する正当性の主張ではなく、
CBCTを正しく動かして診断できるような絵にできるのか?
ということに尽きる。
Advanced Course 2026
でも扱う重要なテーマだ。
コースではその詳細の方法をお伝えする。
意味が???なあなたは、残念ながらApicoectomyする資格がないと言ってもいいだろう😭
ということで、今日は春分の日の特別投稿でした。
