先月の3/22(日)にBasic Course 2025 第12回が行われた。
この日のテーマは受講者のプレゼンテーション。
順番に以下のようなプレゼンが行われた。
まずうどんの有名な四国の某県から来られたK先生。
2ケースの発表である。


アンダー根管形成を疑い、K先生は再治療した。
すると…



10年もののSinus tractが再根管治療で消失した。
実に私にとっては羨ましい患者さんであると同時にこういうケースもあるのだな、と感心した。
やはり、何があっても、非外科的な歯内療法をFirst Choiceにすべきだろうか?という臨床的な考えに変革を及ぼしたケースである。
もう1ケースが以下だ。





この患者さんも長いSinus tractを有していたにも関わらず、再根管治療でその臨床症状は消失した。
やはり、非外科的歯内療法を何をもってしてもFirst Choiceにすべきなのかもしれない。
私の考えを一変させたケースであった。
最後に以下のような感想をいただいた。


こちらこそ貴重なケースをありがとうございました。
今後は先生も教わる側でなく、教える側です。
1年間お疲れ様でした。
次は北九州で開業されているK先生。




術前にCBCTを撮影したので、MB2がないということを分かった上で根管治療を行っている。
これがCBCTを歯内療法に用いる最大の利点だろう。






上手い!
この先生の1年前は以下だったそうだ。

ちがう自分になれました。
Basic Courseに来て本当に良かったです!と感想をいただいた。
何でもいいから好きなNi-Ti Fileを使え!よりも、
こうこうこれこれという理由があるからこのNi-Ti Fileを使用した方がいいというやり方が間違っていないことを示すケースであろう。
先生もこれで非外科的歯内療法をもはや学ぶ側でなく、伝える側です。
1年間お疲れ様でした。
次が勤務医の立場でこのコースに来られたA先生。
エンド-ペリオ病変を有する歯の根管治療を発表していただいた。










ここから3ヶ月が経過した。





勤務という立場なので使える材料に制限があるようですが、その制限は開業時になくなります。
こういうことは早く知ったもの、そしてそれを早く実践したものが勝つのです。
先生も早く開業しましょうw
Advancedでもまたお待ちしています。
次は遠方から参加のT先生。






以下のように再根管治療した。


ここから3ヶ月後が以下だ。



3ヶ月で大幅に状況が改善されている。
このコースに来なければ初診で根管治療絡みの患者に来られた時に嫌な顔をしていたであろうケースが、T先生が治療したら治癒へ傾いた。
T先生の自信にもつながったという。
このまま頑張っていけば先生もプロになれます。
頑張ってください。
次はT先生と同じ大学でしかも同期でこの研修会で再会したI先生。
彼も遠方からの参加であった。
ペリオの有名な先生のところで勤務していた過去がある開業医の先生である。
2ケース発表してくれた。





治療前に予測を立てて、患者さんにそれを説明し、

矯正的に挺出させて、その後にクラウンレングスニングを行い、根管治療している。


その結果、

フェルールも獲得し、Sinsu tractも臨床症状も消失した。
実に見事なケースである。
もう1ケースが以下だ。


#7がCold testに無反応である。
故に、#7,8の非外科的根管治療を行うことになった。
が、#8のメタルコアは外しにくいだろう。


CBCTでは2本とも口蓋側の皮質骨が消失している。
という絶望的な状況である。
が、
術前にその予後を患者さんに説明し、

治療へ移行した。
その結果、



ここから4ヶ月が経過すると…


臨床症状も皮質骨も大きく治癒している。
1年後の予後が気になるところであるが、すごくよくマネージメントできているだろう。
クラウンレングスニングもバリバリにこなす先生は、もはや根管治療は教える側で教わる側でなくなっているだろう。
このままいけば、完全自費化も間違い無いだろう。
頑張ってください。
次は関西から参加のI先生。
よく、うちにも見学に来られている先生だ。



術前に予測し、

治療へ移行した。



#2のMB2はあるのだが、閉鎖していたことと、根尖病変がないのでこのまま終了している。
結果が出るにはまだ時間が必要だろう。
また見せてください。
次は大阪から参加のS先生。








2回法で治療している。





ここから時間が経過した。


劇的に治癒している。

先生も熱心な方で質問も多かった。
今は勤務の立場でしょうが、開業すれば世界が開けます。
頑張ってください。
Advanced Courseでも頑張りましょう。
次は東京から参加のN先生。










術前/術後を比較した。
#29


#4


ラバーダム防湿をして行った根管治療の威力がわかったと思う。
素晴らしいケースだ。
これからもこのまま続けていけば実力は向上します。
頑張ってください。
次はN先生と同一法人のF先生。
#10のRCTと3M recallである。



#9,10と病変があるが、
#9はColdに2秒で反応し、その痛みが5秒でおさまったことから生活歯と判断し、
Cold, EPTに反応がなく打診痛もある#10を患歯と考え、#10のみ根管治療することとなった。

その際の成功率は86%である。
と術前に患者さんに告げて治療へ導入し以下のようになった。


3ヶ月しか経過していないが根尖病変は大きく減少した。
治療していない#9には変化があまりないがだからと言って手をつける必要性はない。
患者に症状がないからだ。

先生も診断の重要性を学ばれたと思います。
これからも頑張ってください。
またAdvancedでもお待ちしています。
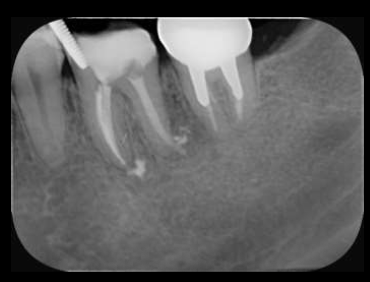
次は横浜からお越しのF先生。
口腔外科出身で外科治療が好きな?先生だ。



Sinus tractがある歯牙の再根管治療だ。



DB根はすでに切断されている。
が、逆根充がなされていない。


DBは根切済みだ。

Pにも病変がある。
ということは、再根管治療だろう。

ただ、予後はGuardedだ。
なぜか?根切がうまく行っていないからだ。


臨床的にDB

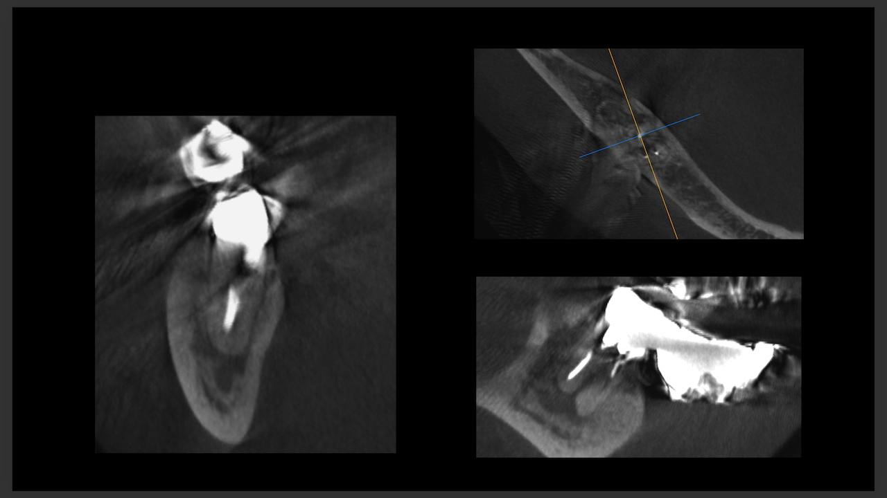
この後、

Sinus tractは消失した。
3ヶ月経過した。





DBの病変が小さくなっている。

Pは病変が大きくなっていうように見えるがまだわからない。
ということで、切ることだけが全てでないということを証明してくれた。
このまま経過を追いましょう。
また、Advanced 2026でその結果を教えてください。
次は私と同じ長崎大学出身のG先生。
彼女は私と違い、大学に残った先生だ。



Implant近傍の#12,14に問題があるようだ。

それぞれ再根管治療した。



5ヶ月後にRecallすると、


#12,#14 MBの根尖病変は消失した。
これも非外科的歯内療法の威力が現れたケースだ。
だが、まだ4ヶ月である。
この後も問題が起きるかもしれない。
その時に解決策になるのは外科治療しかないのである。
ということで、先生もAdvanced Courseでいつかお待ちしています。
最後はM先生。






全ての根管に病変はない。

形成して、

試適し、

根管充填した。
術後にCBCTを撮影するが、



問題はない。


このままAdvancedでも頑張りましょう。
ということでこの日でBasic Course 2025は終了した。
皆さん、いかがでしたか?
非外科的な歯内療法に自信が持てましたか?
そして、その治療の限界もどこにあるか?わかりましたか?
その限界を越えるには、外科的歯内療法しかないのです。
時間を空けずに来ても、時間を空けてきてもどちらでも構いませんが、
外科治療ができなければ歯内療法は成り立ちません。
続きが気になる方はAdvanced Course 2026でお会いしましょう。
何らかの事情があって来れない方は、私が生きている限り, かつ世の中から求められて、この研修会が続く限りは、お待ちしています。
またどこかで会えば声をかけてください。
皆さん、1年間お疲れ様でした。
さて、明日からGW期間中になりますのでこのブログもお休みいたします。
当歯科医院は、
5/2~5/6まで連休期間となります。
連休明け、5/7よりブログと診療は開始いたします。