今日は
根管が感染していない時と感染している時の作業長の設定の違いが予後に与える影響
を論じてみたい。
紹介患者さんの治療で、私が渡米する直前に治療していた(2013年)患者さんであった。



MB

DB

P

MB,DBは石灰化が進み再根管治療で穿通は不可能であろう。
故にここはApicoectomyだ。
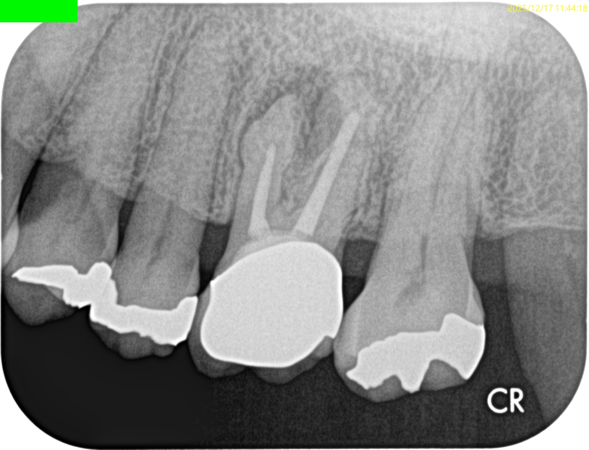
が、P根は

作業長が16~18mm程度であるが
Apical Foramenまで根管充填できていないし、シーラーパフもない。
初診時は


私がまだGPで補綴も行っていた時代の契約書だ。
その時に装着したPFMは未だに脱離していない。
こういうのが補綴治療だ!と昔、藤本研修会で教わったのを覚えている。
さておき、この同意書のPAではMB,DB,Pに根尖病変があるように見える。
が、CBCTがないので詳細がわからない。
さておき、文献的にはCBCTがあろうがなかろうが以下だ。
Chugal 2003 Endodontic infection: some biologic and treatment factors associated with outcome





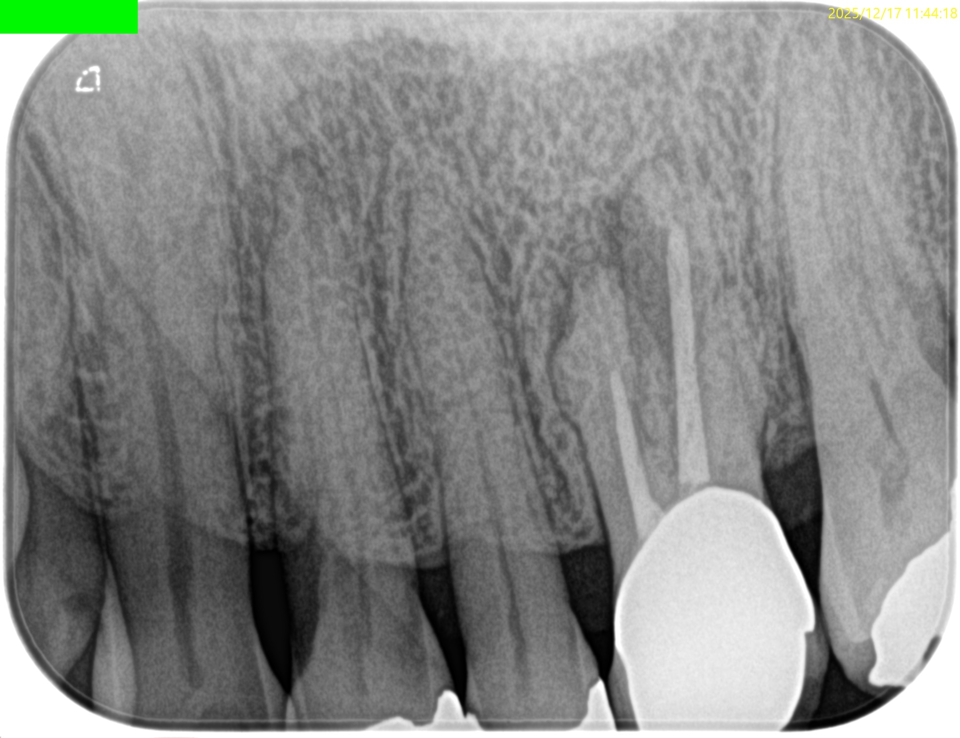
USC時代にアンダーな形成・根充をしていた時に、
Dr.Rogesに呼び出され、
ズボンの裾を上げた彼に、
お前の根管治療は太くて短い…お前の足みたいだなw お前、勝手な治療をやって何も我々に聞かないなら我々はお前のことなんか知らねえからな💢
と
叱られた時のことを思い出す。
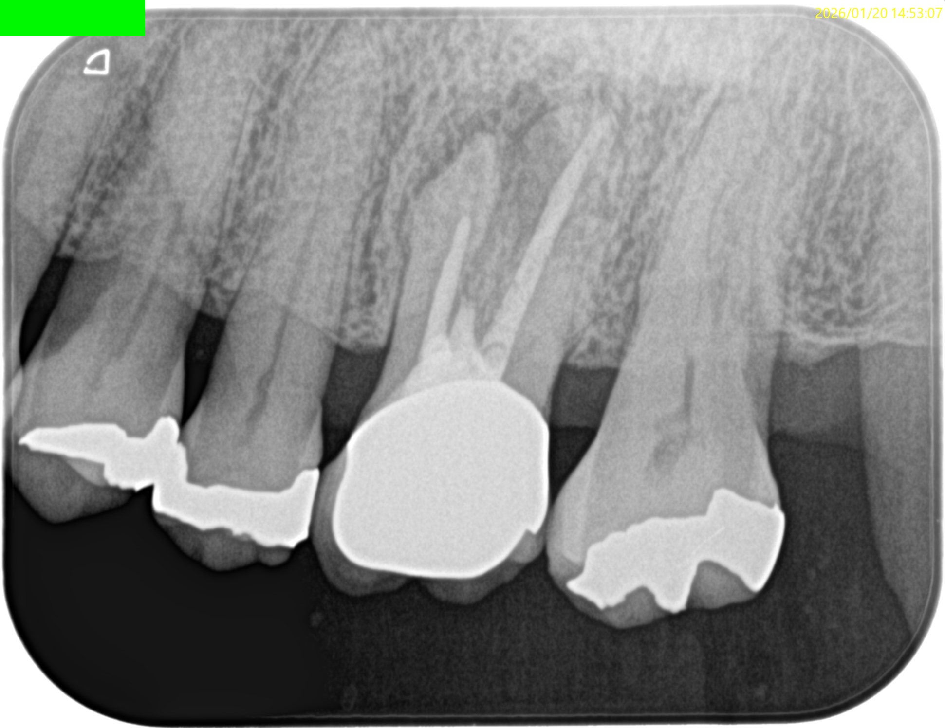
ということで治療時に以下のように修正した。

術後にPA, CBCTを撮影した。




問題はないだろう。
次回はMB,DBのApicoectomyである。
またその模様をお伝えしたい。