他院でImplantの隣の歯が折れていると言われたが, なるべくは自分の歯を保存したい…〜#29 Intentional Replantation
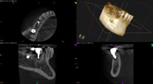
紹介患者さんの治療。 主訴は、 他院でImplantの隣の歯が折れていると言われたが, なるべくは自分の歯を保存したい… である。 Pre-op Endo Test(2026.2.2) #29のMBに5mmの歯周ポケット … 続きを読む 他院でImplantの隣の歯が折れていると言われたが, なるべくは自分の歯を保存したい…〜#29 Intentional Replantation
埋め込むにはこの URL をコピーして WordPress サイトに貼り付けてください
埋め込むにはこのコードをコピーしてサイトに貼り付けてください