過去治療の経過観察。
外科処置から1年が経過した。
歯牙はどうなっただろうか?
#8,9 Microsurgery 1yr recall(2026.3.11)




#8

#9

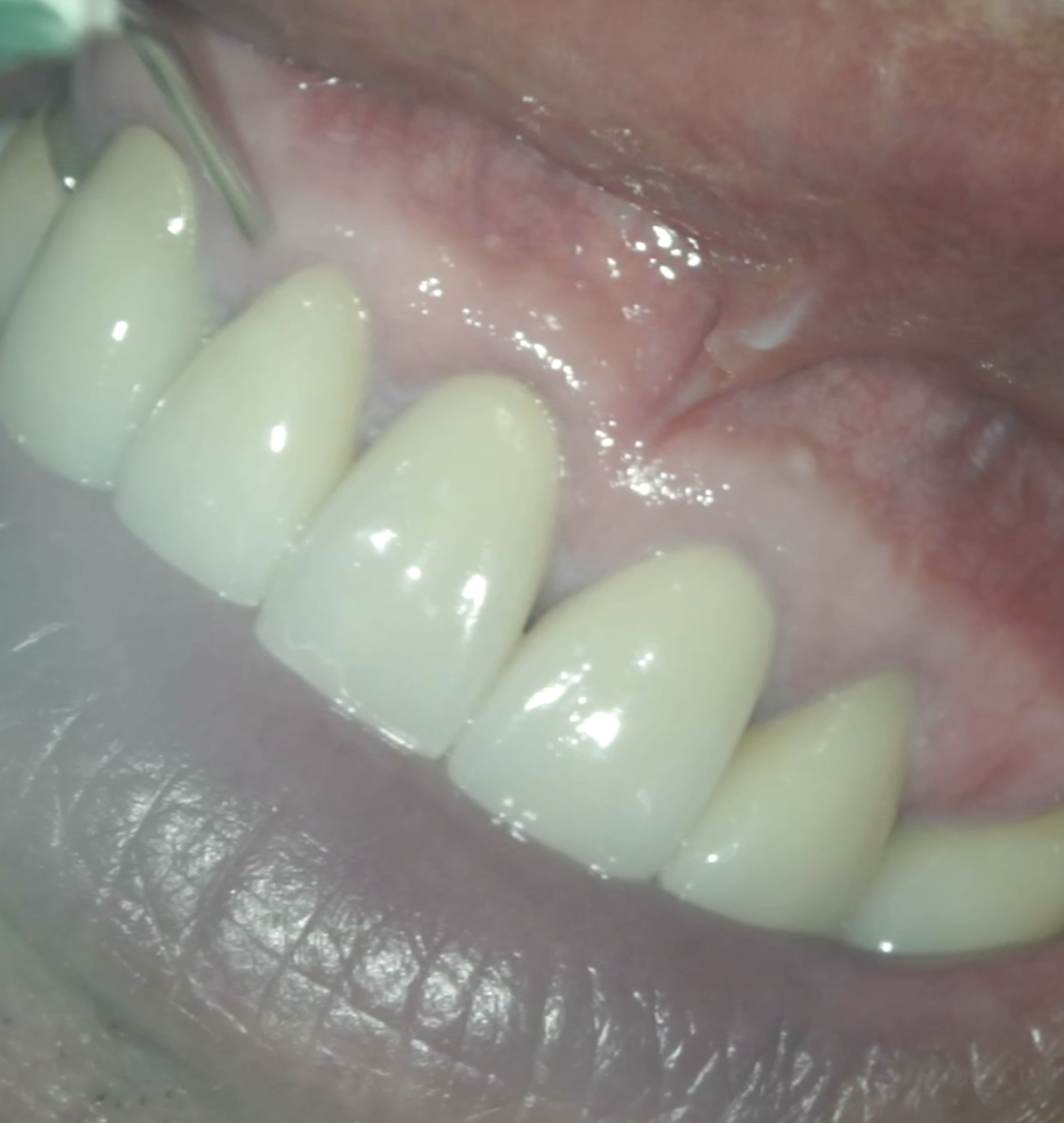
#8,9(B)

初診時と比較した。

問題は大きく解決されている。
初診時のSinus tract, 臨床症状は消失した。
ということでこの2歯をこれ以上経過を見ていく必要はないだろう。
この日で終診とさせていただいた。
長きに渡りお疲れ様でした。
Practice limited to Endodontics and Microsurgery〜福岡市博多区博多駅前3-13-4-2F TEL 092-409-8345 診療日 月〜金 10:00~16:00 休診日 土,日,祝
過去治療の経過観察。
外科処置から1年が経過した。
歯牙はどうなっただろうか?




#8

#9

#8,9(B)

初診時と比較した。

問題は大きく解決されている。
初診時のSinus tract, 臨床症状は消失した。
ということでこの2歯をこれ以上経過を見ていく必要はないだろう。
この日で終診とさせていただいた。
長きに渡りお疲れ様でした。