多くの臨床家はポスト除去に対して苦手意識がある。
今日はその除去方法について意見を述べてみたい。
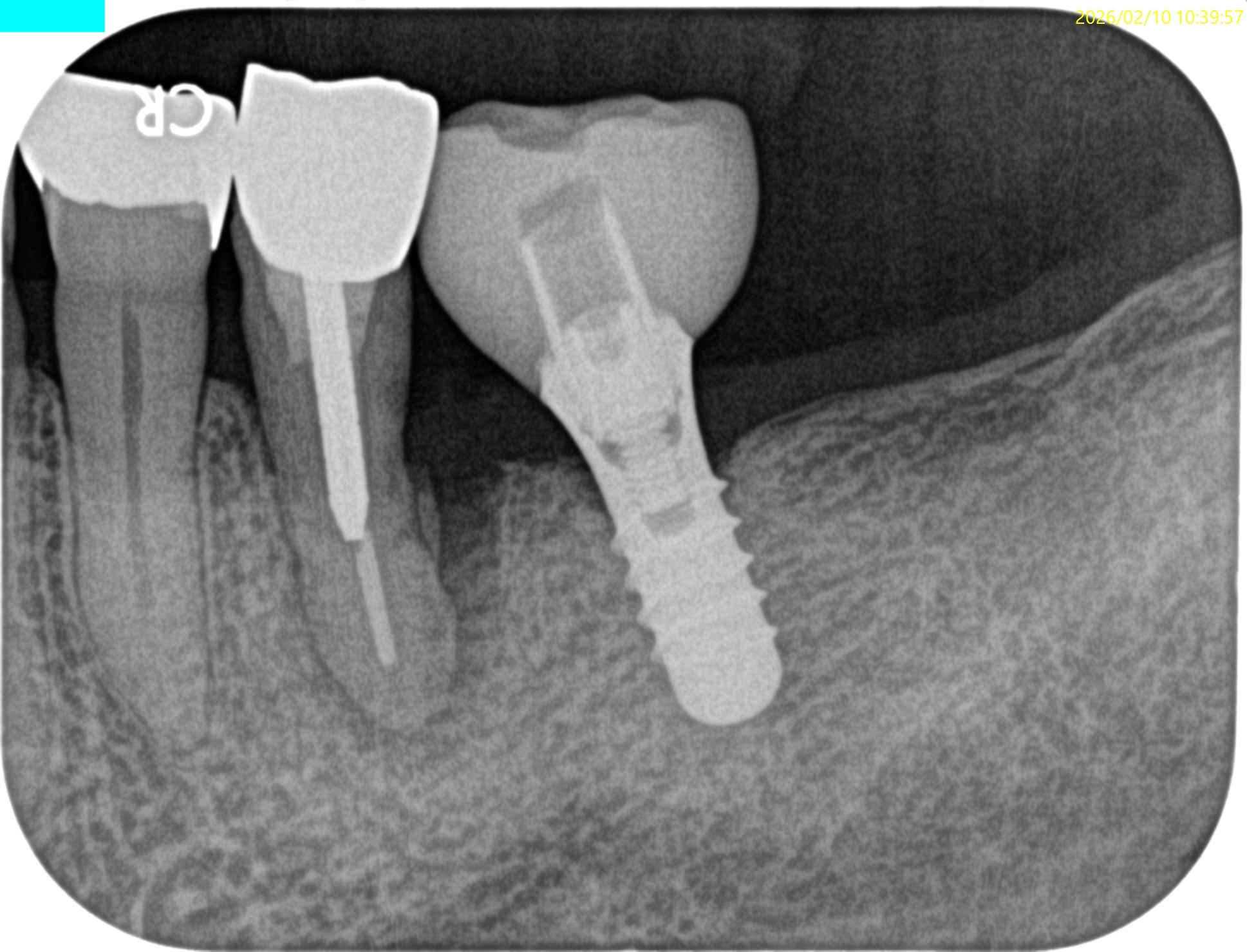
Pre-op Endo test(2026.2.10)



#20は長いピンが装着されており除去に著しく長い時間がかかることが予想される。
理由は以下だ。
Standlee 1978 Retention of endodontic dowels: effects of cement, dowel length, diameter, and design

上記3つのタイプのポストの中で最も外れにくいのは…

ネジ型の長いポストだ。
今回のケースであれば、

8.8mm…
まさにこのケースがそれに該当する。
スクリューピンの除去には相当時間がかかるとわかる。
さて、その除去方法は、

スクリューピン周囲のコア材料を除去し、ポストは超音波の振動で除去する
とある。
しかし、言うは易く行うは難しだ。
つまり、この作業にはかなりの時間を要しそうだ、と言うことが術前に知ることができる。
これが知識がある、ということだろう。
Pre-op Endo Diagnosis(2026.2.10)
Pulp Dx: Previously treated
Periapical Dx: Symptomatic apical periodontitis
Recommended Tx: Core build up with Fiber Post→Intentional Replantation
同日、治療へ移行した。
☆この後、治療動画が出てきます。不快感を感じる方は視聴をSkipしてください。
除去に要した時間は…48分だ

スクリューピンを露出させたらその周囲のレジンを除去する必要がある。
その際は長く先端が細いバーを使用しなければならない。
その正体は…
Basic Course 2026
でご説明します。
レジンを除去するのだが、VPチップを当ててもなかなか動揺しない。
そこでバーで周囲のレジンをさらに削合していく。
まだ外れない。
再度、周囲レジンを除去し試行錯誤すること約50分。
ようやく、スクリューポストは除去できた。
これで終了!ではない。
歯質周囲のレジンを除去しなければならない。
さもなければ、残渣レジンごと築造体は脱離してしまうからだ。
では残渣レジンの除去が難しいのか?といえば…
レジンを薄く削合し、エンド用の短針で物理的に押さえつけることで塊で除去可能である。
なぜこれほど容易なのか?
と言えば、
その治療を行った臨床家がラバーダムを使用していないからだ。
もう何年も前から当時の(今は無くなったが)Yahoo! Blogでその臨床的意味合いを訴えていたが、日本はご存知の通り変わっていない。
もうこれ以上変わらないだろう。
期待するだけ無駄である。
貴方(歯科医師のかた)は、こちら側に来ますか?
それとも変わらずそこに留まり続けて世の中に文句を言い続けますか?
貴方が変わりたいなら、私は
Basic Course 2026
で貴方をお待ちしています。
話を戻そう。
この後、ようやくコア用レジンとFiber Postで築造し、術後にPAを撮影した。


見事スクリューピンを除去し支台築造した。
この後、#20にはIntentional Replantationが行われるがその模様はまた後日お伝えしよう。