紹介患者さんの治療。
主訴は、
右上奥歯道具が折れていると言われ抜歯が必要と言われたが抜きたくない…
である。
Pre-op Endo test(2026.3.9)


#2
MB

DB

P

B

MB, DB, Pともに石灰化している。
DBは根管口自体がどこにあるか?判然としない。
予測では、


MBのGutta Percha Pointの近傍にそれはありもしかすると石灰化しているかもしれない。
その際は3mm~4mm程度削合する必要があるかもしれない。
ちなみに、
根管のようなものが見えようが見えなかろうが、それと穿通するかどうかは何の関係もない。
それは以下の記事が証明している。
また、Pはレンツロが破断してしまい、前医(紹介歯科医院ではない)は知らん顔している。
民度が低い歯科医院に通うと、
信じて自分の歯を任せたはずなのに、
何度も通院させられ、
挙句抜かないといけないと言われ、
歯がなくなってしまう。
私自身の体験でもそうだ。
それは、
まさしく時間の無駄だ。
生産性のない社会活動と言える。
さておきレンツロは除去できるだろうか?
と言えば、私は間違いなく除去できると確信している。
その理由が知りたいあなたは、
Basic Course 2026
でお待ちしています。
また、どのように再根管治療していくか?だが、
根尖病変があり頬側歯槽骨が穿孔しているDB, レンツロが破断しており根尖病変があるPをSelectiveに再根管治療するという方針を術前に決定した。
そんなことでいいのか?
MBもやれよ!!というあなた。
その理由が知りたい先生はこれもBasic Course 2026でお待ちしています。
もしくは下記の記事をご覧ください。
矯正治療を行うので根の先の病気を治したい…Selective Root Canal Retirementを行った歯牙の再治療とその1年予後〜#19 Re-RCTと1yr recall
破折ファイルの存在が根尖病変の治癒の妨げにはならないし、Selectiveな再根管治療を行なってもマネージメントは可能〜#30 Re-RCT 1yr recall
Sinus tractがある石灰化が亢進した歯牙の再根管治療(Selective Root Canal Re-treatment)〜#30 Re-RCT 1回法 8M recall
Pre-op Endo Diagnosis(2026.3.9)
Pulp Dx: Previously initiated therapy
Periapical Dx: Symptomatic apical peridontitis
Recommended Tx: Re-RCT
同日、治療が行われた。
☆この後、治療動画が出てきます。不快感を感じる方は視聴をSkipしてください。
#2 Re-RCT(2026.3.9)
仮封を除去すると光る何かが目に入る。

レンツロはそこにあるようだ。
それの除去に没頭?すると時間を取られるのでまずはDBからだ。
が、根管口がどの辺りに存在するか?判然としない。
そこでMBのGutta Percha Pointを目印にDBを探索することにした。
SXで上部を拡大した後に根管形成した。
その後、Pだ。
レンツロは以下のようにして除去した。

全長8mmのレンツロは除去された。
まさに秒殺だ。
その後、以下のように形成した。

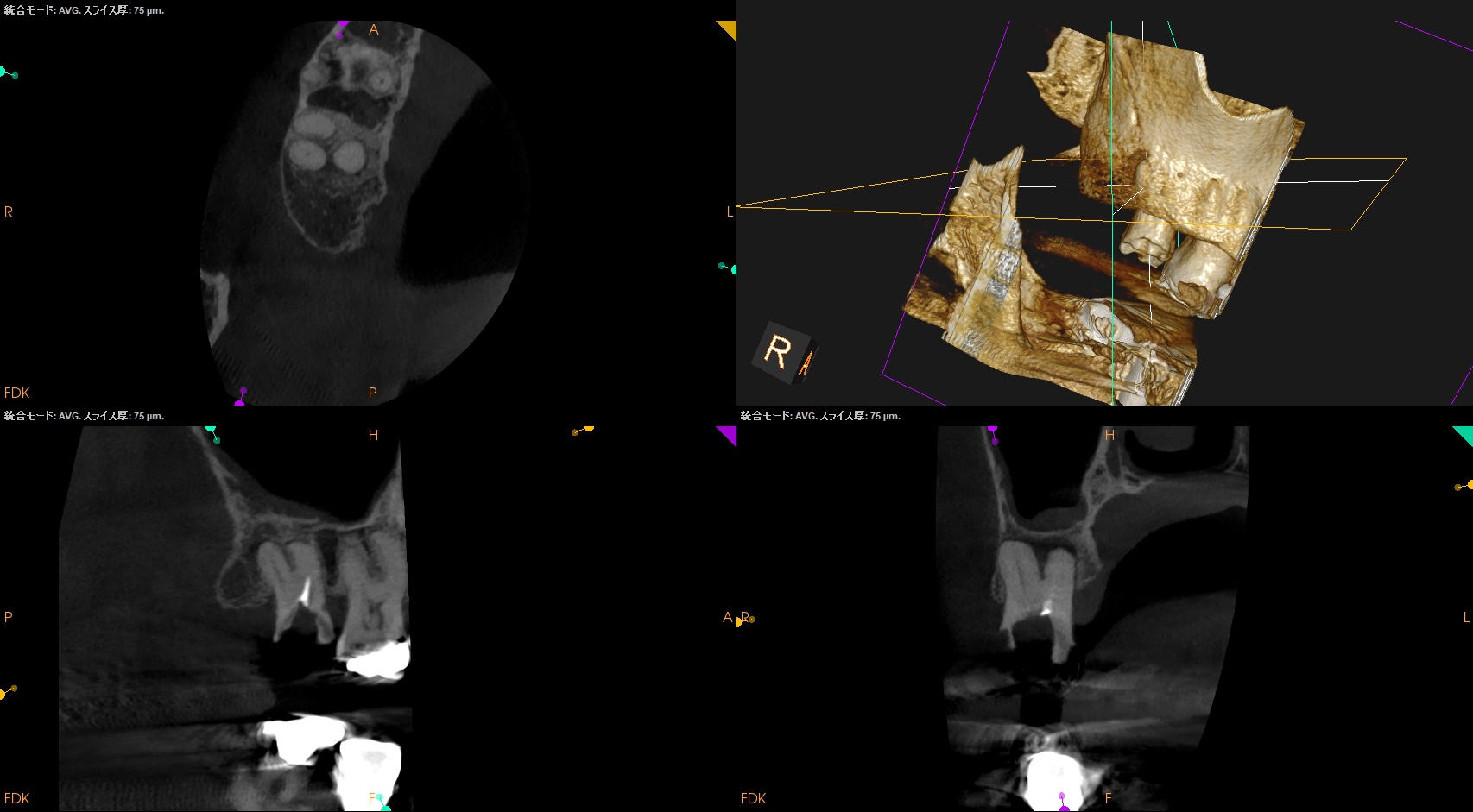
根管充填後にPA, CBCTを撮影した。


DB

P

問題はないだろう。
次回は半年後である。
またその経過をお伝えしたい。

