紹介患者さんの治療とその7ヶ月後の予後。
主訴は、
右上の歯を抜いてインプラントにしないと言われたが残したい…
である。
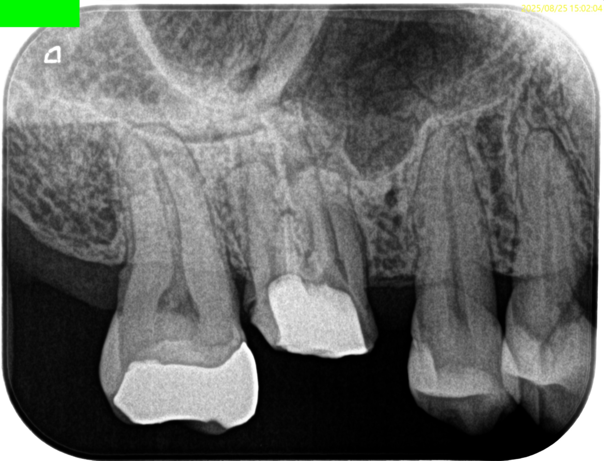
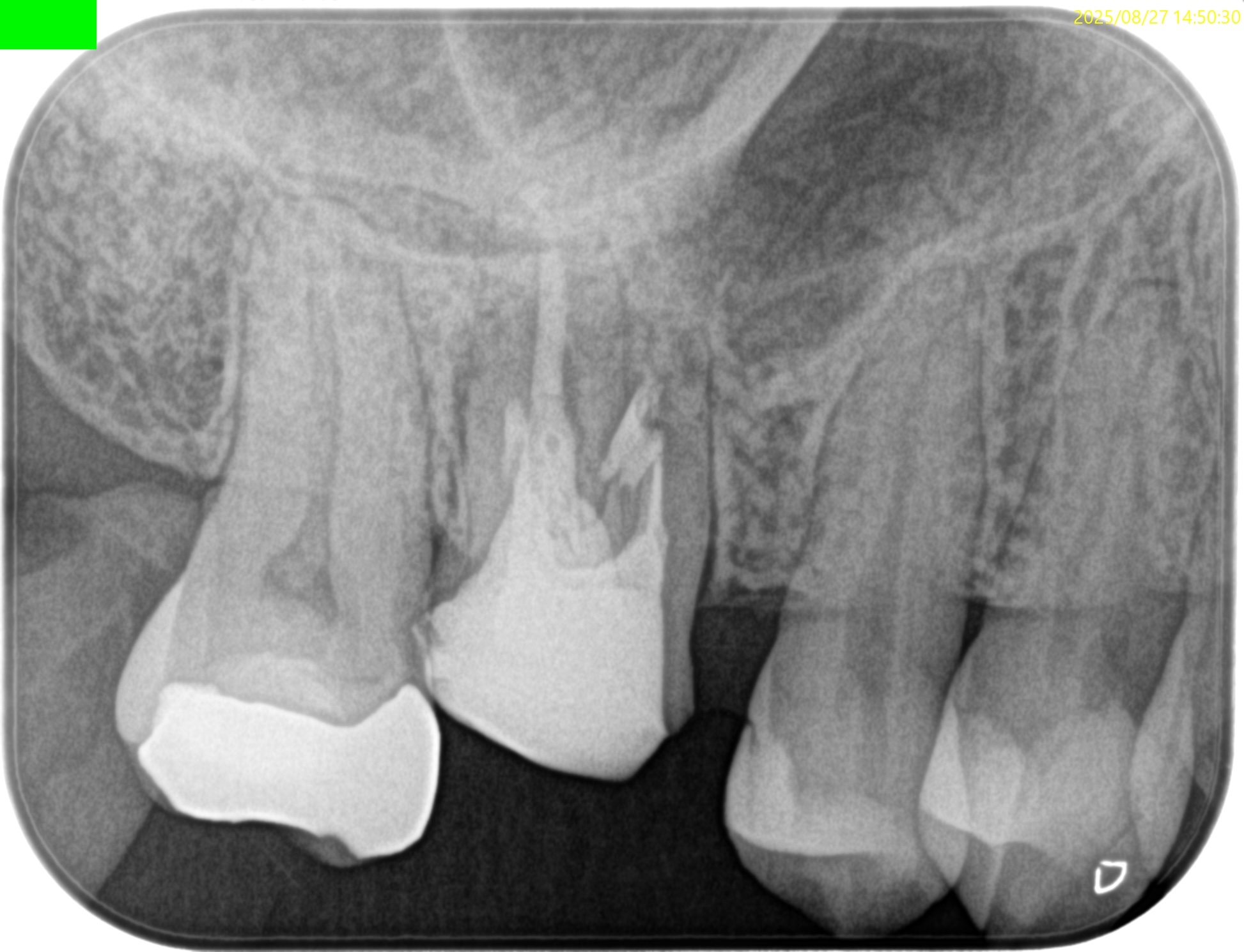
Pre-op Endo test(2025.8.25)



MB

DB

P

MB,DB,P全ての根管に根尖病変がある。
PのP側皮質骨はかなり減少している。
これが歯周病が原因か?と言えば、
術前の検査で歯周ポケットが正常値(Within Normal Limit)なため、恐らくエンドが原因でこのようになっているのだろう、と推測できる。
治療計画としては
①Pのみ再根管治療
②支台築造
し、
③MB,DB Apicoectomy
でケリをつけるのが得策のようだ。
そしてこれらを別日に同時に行うことにした。
理由は患者さんのお仕事の都合だ。
そんなに平日に休みが取れないという。
それならば…
エピネフリンのリバウンド効果があっても同日行わなければならない。
Pulp Dx: Previously initiated therapy
Periapical Dx: Symptomatic apical periodontitis
Recommended Tx: P Re-RCT, Core build up→MB,DB Apicoectomy
ちなみにPの再根管治療は、


作業長は16.0mm前後が予想される。
MB,DBのApicoectomyは
MB


CEJよりも12mm下方にMBのApexがあり、
そこを3mm切断するには6.4mmの切断幅が必要である。
そしてMB1-MB2を往復でPrepする必要があり、やや煩雑だ。
中程度の難易度だろう。
DB


DBはCEJよりも10.5mm下方にApexがあり、そこを3mmで切断するには5mmの頬舌的幅が必要で1根管なことからここはEasyだ。
この難易度説明に対して、
???なあなた。
Advanced Course 2026
で詳細は説明するのでお楽しみに。
まず#3 P Re-RCTから行われた。
#3 P Re-RCT(2025.8.27)
PはC+ Fileで穿通しない。
となれば…
機械的な穿通しかそれをどうにかできないのである。
HyFlex EDM #10.05で機械的に穿通を試みた。
その際の作業長はCBCTから16.0mmである。

K#25で穿通した。
形成は、

#40.04は意味をなさず、
#60.02で1~2mm再根管形成できるレベルに止まった。
この後、ProTaper Gold F5でテーパーをアップさせようと試みるが
F5のラバーストップが無惨にも抵抗感なくReference Pointにタッチした。
このことが意味することは、
P根はわずか数mmしか#60.02のみでしか再根管形成できなかったという臨床的な事実である。

#60.02を試適し、BC sealerとともに根管充填した。
この後、支台築造して同日にMB,DB Apicoectomyへ移行した。
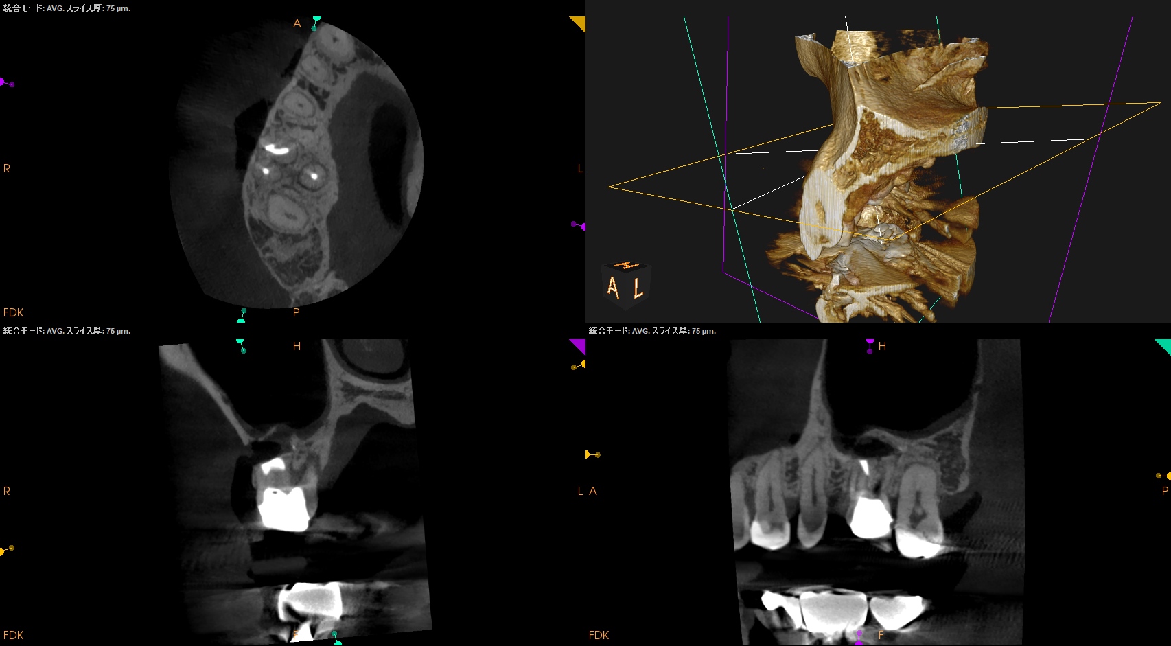
#3 MB,DB Apicoectomy(2025.8.25)
MBからOsteotomyした。
MBを3mm Root resectionした。
切断後にメチレンブルーで染色しRetroprepし, Retrofillした。
次がDBである。
Osteotomyし、当該部位をRetroprep, Retrofillした。
術後にPA, CBCTを撮影した。


MB

DB

B

問題はないだろう。
縫合して終了した。
ここから時間が7ヶ月経過した。
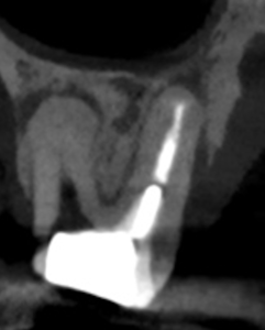
#3 MB, DB Apicoectomy 7M recall(2026.3.30)



MB

DB

P

B

7ヶ月前と比較した。

劇的に歯槽骨の開創は回復している。
そしてP根だが、根尖病変の治癒とともに口蓋側の骨欠損が大きく回復しているのがわかる。

Primary Endo Secondary Perioに見えた
のに、だ。
(歯周ポケットが正常なので歯周病ではないので上記表現は正しい表現とはいえない)
これは単純にエンドだけの問題であったのだ。
そして、
エンドの治療のみでここまで回復していることがこの歯内療法の治療のパワーを示している。
患者さんはSRPなどの歯周治療は一切していない。
HyFlex EDM #60.02でわずか数mm形成しただけなのに、ここまで歯槽骨が回復している。
ともかく、これで最終補綴もOKだ。
次回はさらに半年後の1yr recallの模様をお伝えしたい。
