紹介患者さんの治療とその経過観察。
主訴は、
左上奥歯治療した歯が痛む
である。
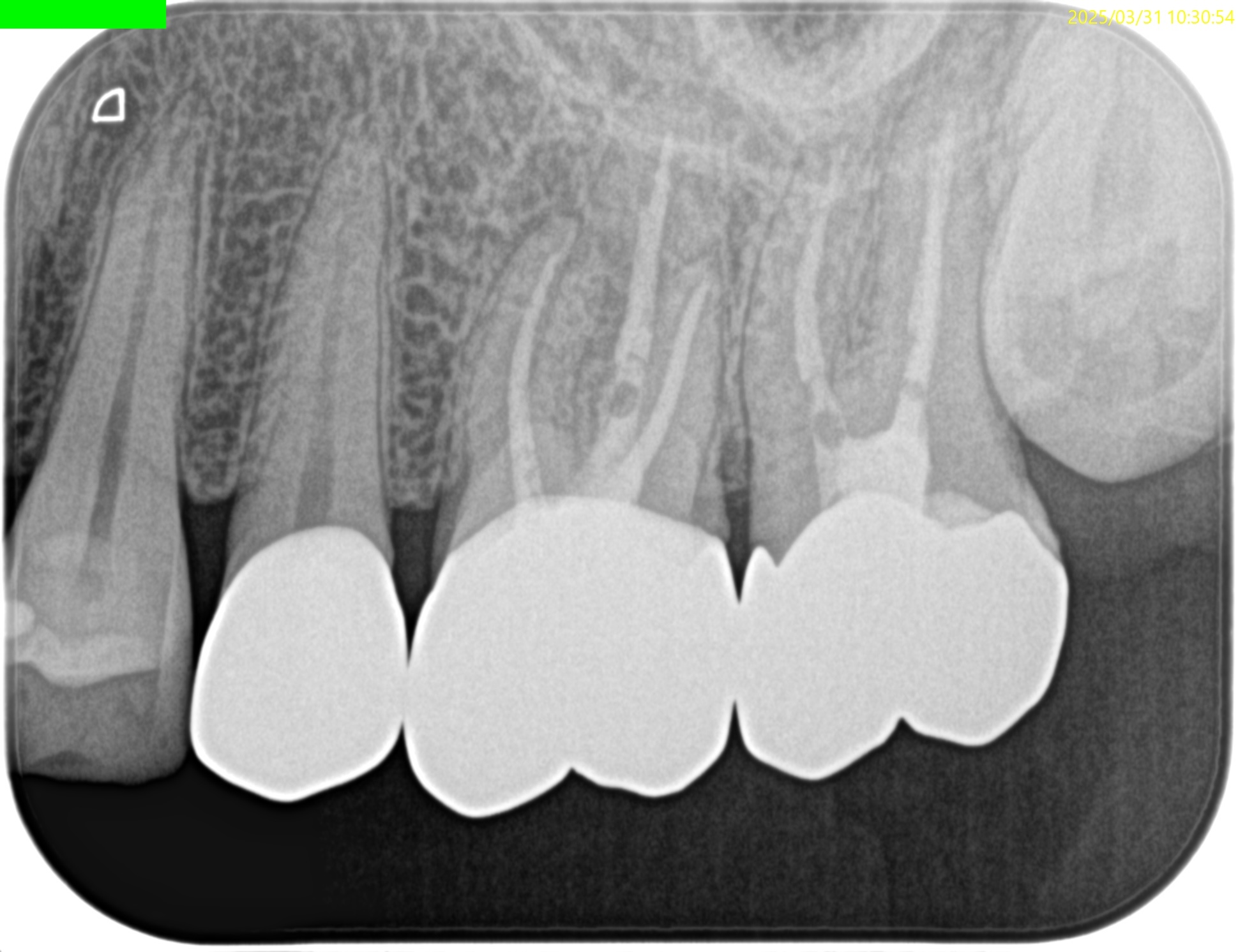
Pre-op Endo test(2025.3.31)


MB

DB

P

MBに大きな病変がある。DB,Pには病変はない。
これが検査での圧痛の原因だろう。
またすでに必要十分に拡大形成がなされていること,
MBの中央にGutta Percha Pointがあることから、MB2はなくMB1のみの処置でいいとわかるところもCBCTの強みである。
さておき、この問題を解決するには再根管治療でなく歯根端切除術であるということがわかる。
その際は、

クラウンのマージンより8.5mmの位置にMBのApexがあり3mm切断するには頬舌的距離が4.6mm必要で、MB2もないというまさにこの歯は奥歯だが、
事実上、上顎前歯のApicoectomy
と言える。
同日、治療へ移行した。
☆この後、外科動画が出てきます。不快感を感じる方は視聴をSkipしてください。
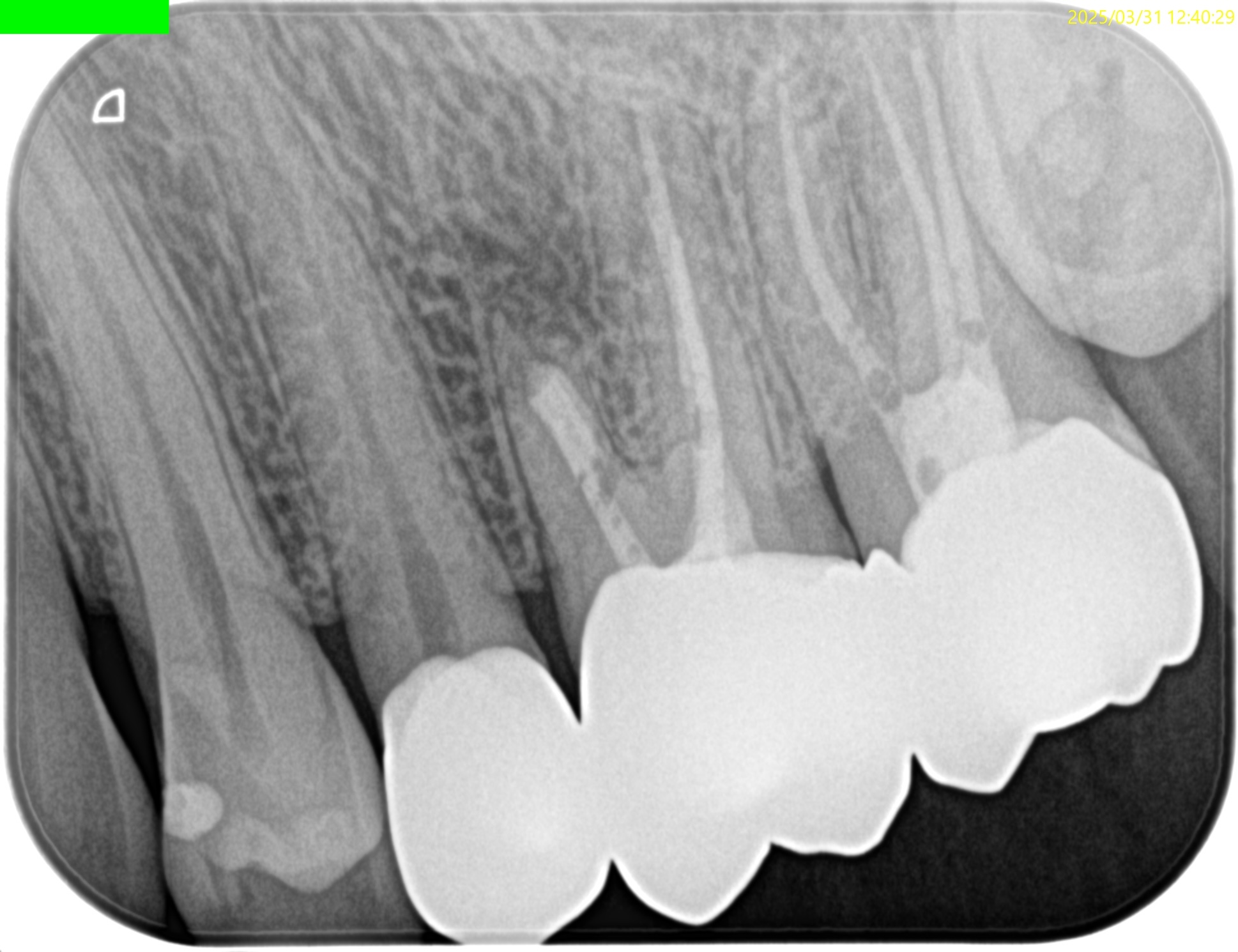
#14 MB Apicoectomy(2025.3.31)
ペリオプローブを使用し、MBのApexを類推した。
OsteotomyしApexから3mmで切断した。
その後メチレンブルーで染色し、CBCTの絵と相似になっていることを確かめて逆根管形成した。
Lid techniqueで逆根管充填した。
術後にPA, CBCTを撮影した。




最後に縫合して終了した。
ここから1年が経過した。
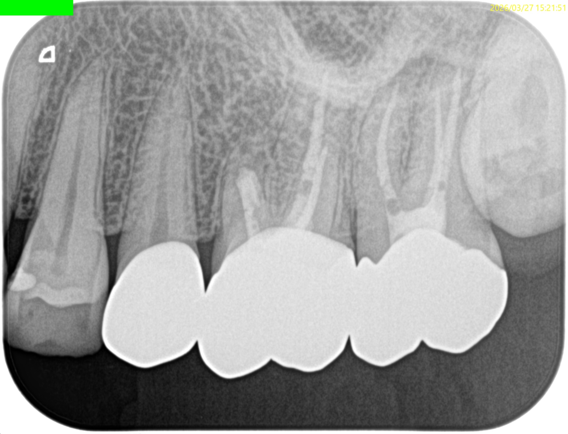
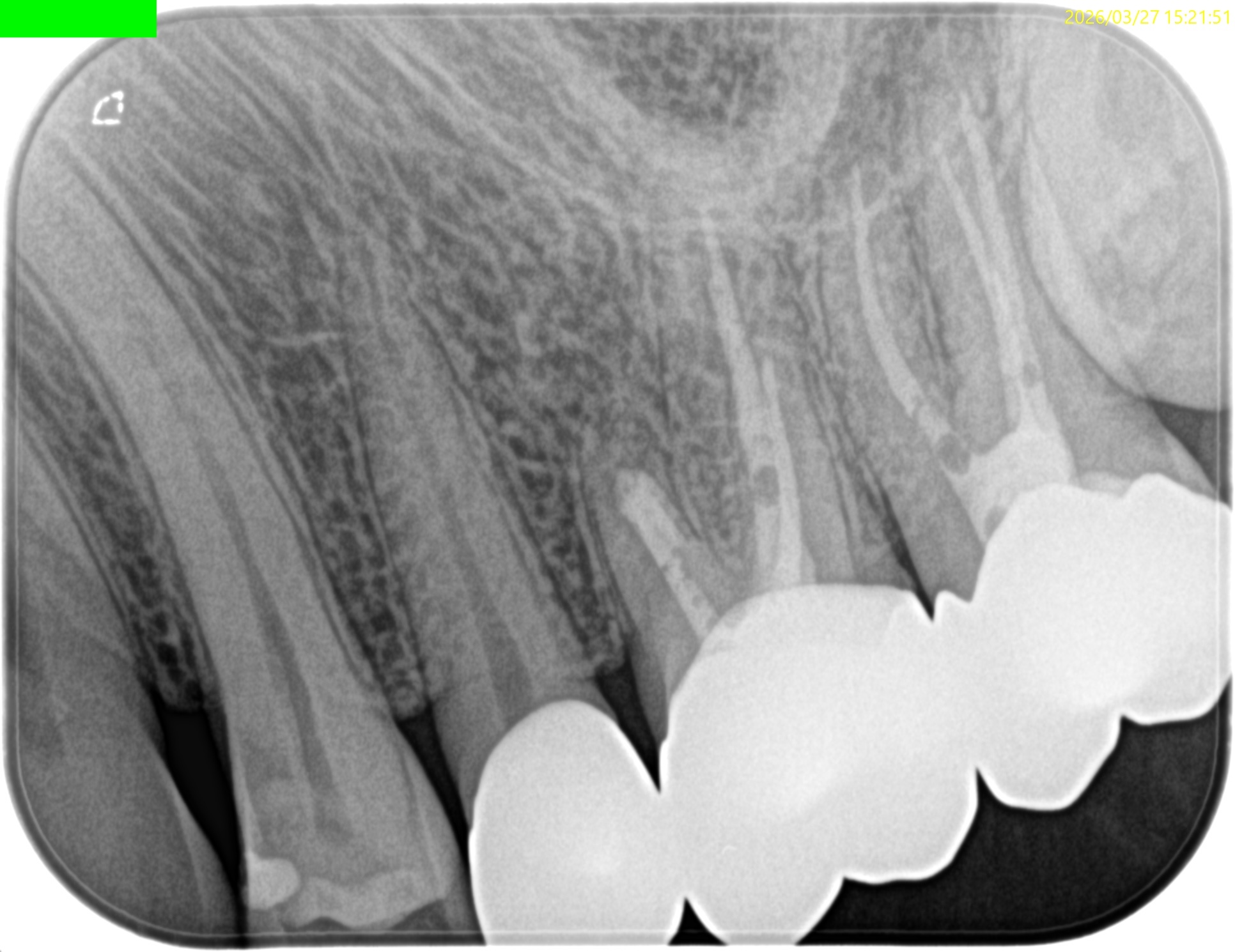
#14 Post-op 1yr recall(2026.3.27)

外科治療時の瘢痕はない。
というより
患者さんが気にしていない。
そういうことを気にするのは歯科医療従事者だけだというのは私の個人的な感想だろうか?
PA, CBCTを撮影した。


MB

DB

P

外科時と比較した。

問題は劇的に解消した。
ということでこの日で終診とさせていただいた。
長い間、お疲れ様でした。