紹介患者さんの治療とその1年予後。
主訴は、
右下奥歯被せた歯で物を噛むと痛い…
である。
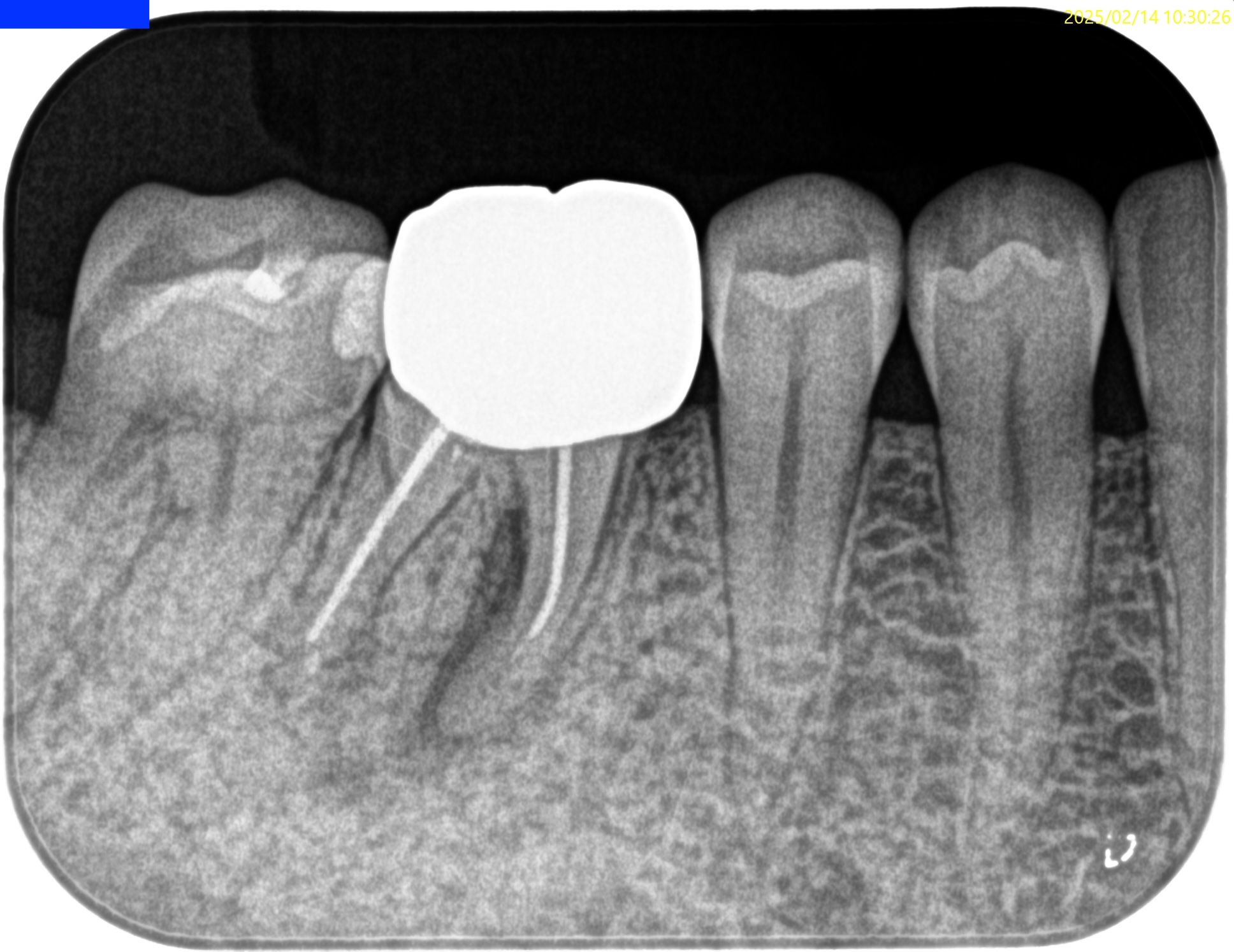
Pre-op Endo test(2025.2.14)


MB

ML

D

Radix

そこそこ湾曲度合いが強いRadix Entomolarisを有する#30だ。
が、D以外の根管はほぼ適切な根管治療がなされていない。
Radixにおいては未着手だ。
このことから類推するに

MB,ML, Radixともに86%の確率で治療はうまくいくだろうということがわかる。
この話は従来から私がこのHPで語ってきたことである。
今回もそうなるだろうか?
Pre-op Endo diagnosis(2025.2.14)
Pulp Dx: Previously treated
Periapical Dx: Symptomatic apical periodontitis
Recommended Tx: Re-RCT
同日、治療が行われた。
☆この後、治療動画が出てきます。不快感を感じる方は視聴をSkipしてください。
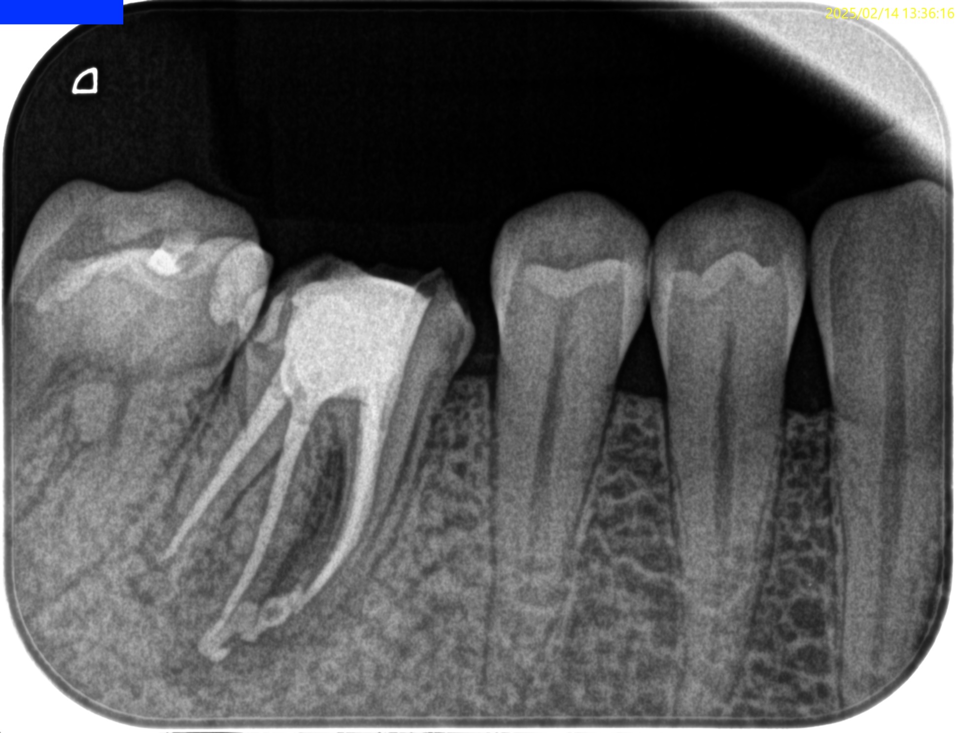
#30 Re-RCT(2025.2.14)
ジルコニアクラウンはなかなか外せない。
が、Inlay形成バーを使用すると比較的容易に外すことができる。
今回は容易に除去できた。
次がラバーダム防湿で再根管治療だ。
ここからが本番になる。
SXで根管上部を拡大するが…
D根にはペーパーポイントが挿入されていた。。。
何たることか。。。
多くの歯内療法に悩む患者さんへ。
これが日本の歯科医療の事実、現状である。
コロナルフレア形成後にそれぞれの根管にアクセスする。
以下のように再根管形成した。

BC sealerと当該Gutta Percha Pointで根管充填した。
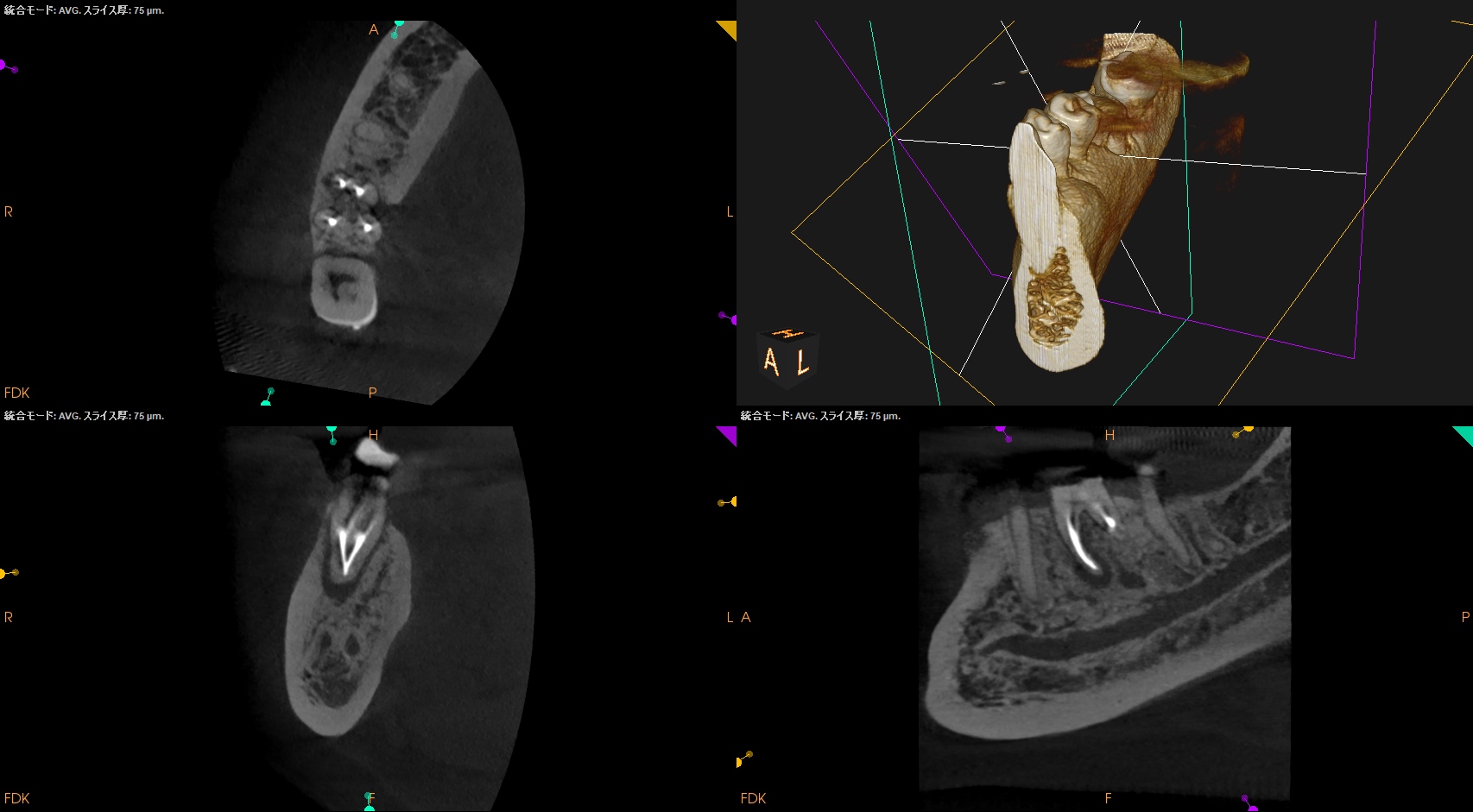
支台築造後にPA, CBCTを撮影した。


MB

ML

D

Radix

問題はないだろう。
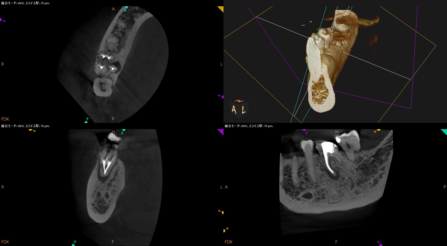
ここから時間が1年経過した。
#30 Re-RCT 1yr recall(2026.3.10)



MB

ML

D

Radix

初診時と比較した。

病変は完治した。
このことから最終補綴もOKだし、経過観察も終診とさせていただいた。
長きに渡りお疲れ様でした。
