以前の治療の経過観察。
Apicoectomy時にはApexの位置を正確に把握する必要がある臨床的理由〜#30 Crown, Post Core removal⇨M,D Apicoectomy 1回法
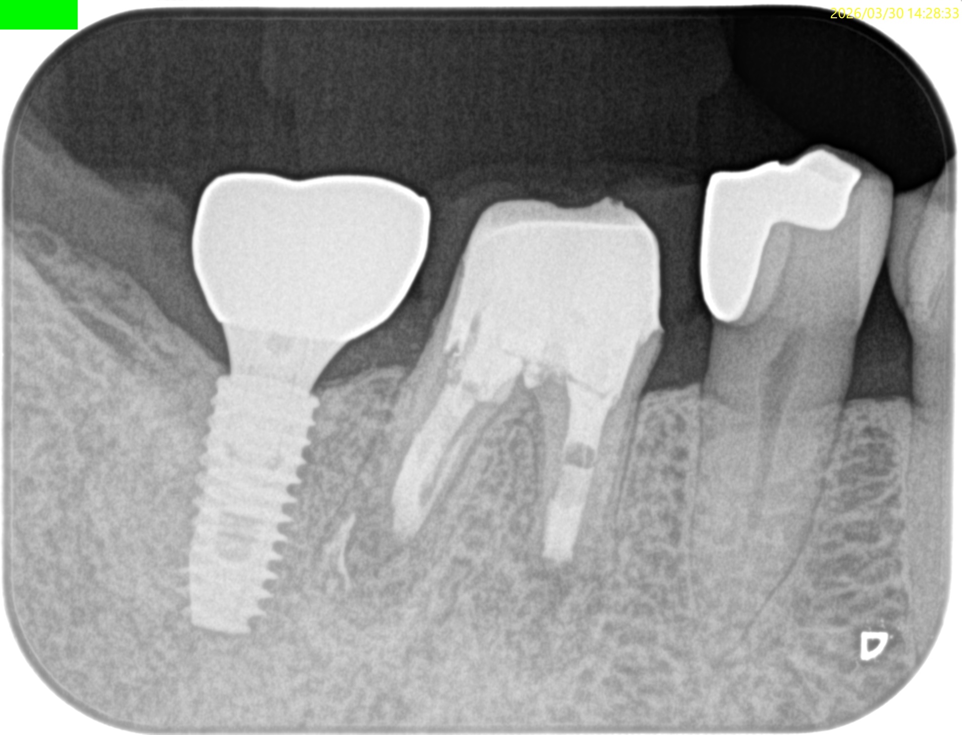
治療から5ヶ月が経過していた。
#30 M,D Apicoectomy 5M recall(2026.3.30)



M

D

B

外科直後と比較した。

最終補綴もOKだ。
次回はさらに7ヶ月後の1yr recall予定である。
またその模様をお伝えしたい。
Practice limited to Endodontics and Microsurgery〜福岡市博多区博多駅前3-13-4-2F TEL 092-409-8345 診療日 月〜金 10:00~16:00 休診日 土,日,祝
以前の治療の経過観察。
Apicoectomy時にはApexの位置を正確に把握する必要がある臨床的理由〜#30 Crown, Post Core removal⇨M,D Apicoectomy 1回法
治療から5ヶ月が経過していた。



M

D

B

外科直後と比較した。

最終補綴もOKだ。
次回はさらに7ヶ月後の1yr recall予定である。
またその模様をお伝えしたい。