以前の治療のリカバリー治療。
一度は終了したはずだったが、なぜか
Lid Techniqueで逆根充した充填材が脱離してしまっていた。
そのリペア外科だ。
したがって、費用はいただいていない。
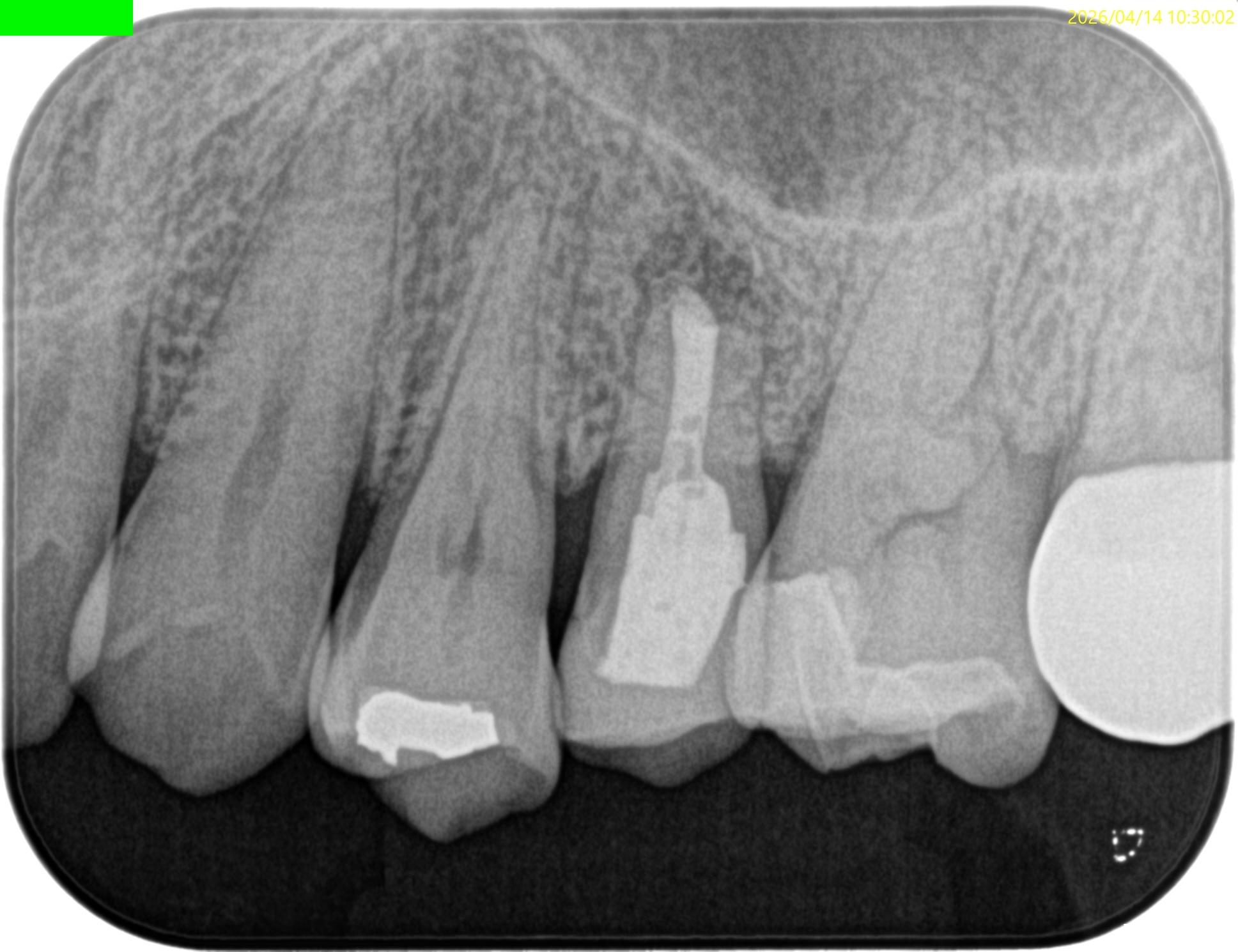
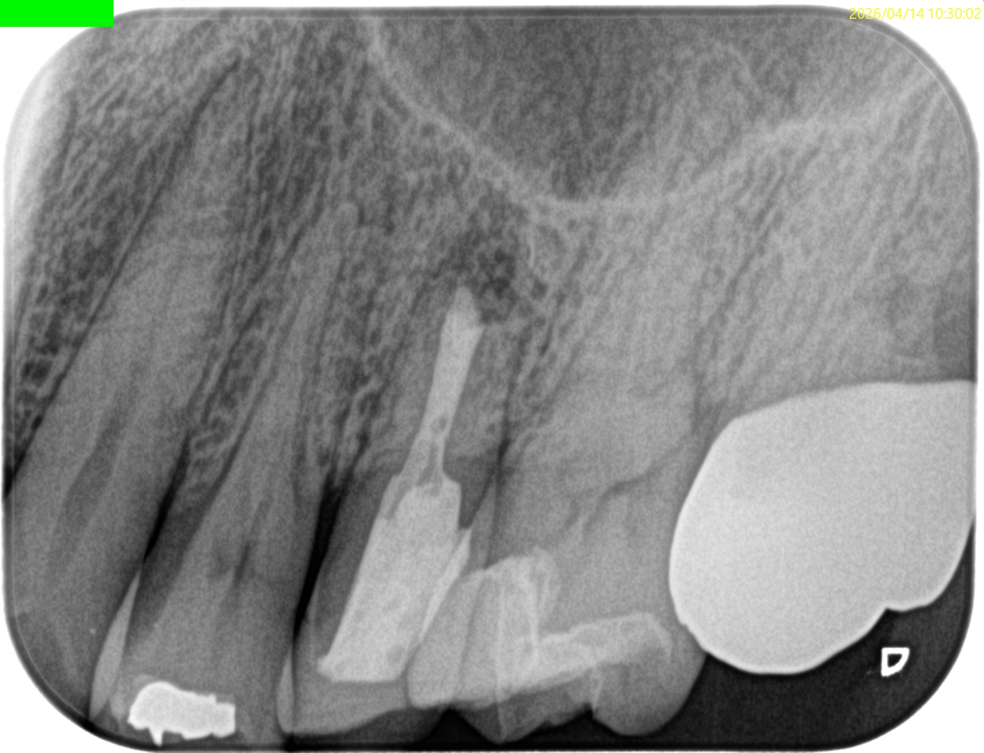
Pre-op Endo test(2026.4.6)

臨床症状はないが…




上顎洞炎は治癒したままだが、Lid TechniqueのLidごと材料が外れてしまっている。
なぜだろうか?
一つ考えられることとしてはLidが薄かったのだろうか?
過去の動画を見るが判然としない。
これをやり直す場合は、再根管充填し直すだけでいいので過去、Dr.Schechterに言われたことを思い出した。
そう。
深く逆根管形成して深く逆根管充填する
というやつである。
その際は、

レジンコア部までの3mmは逆根管充填するべきだろう。
ということで、これを意識して別日に再外科治療となった。
☆この後、外科動画が出てきます。不快感を感じる方は視聴をSkipしてください。
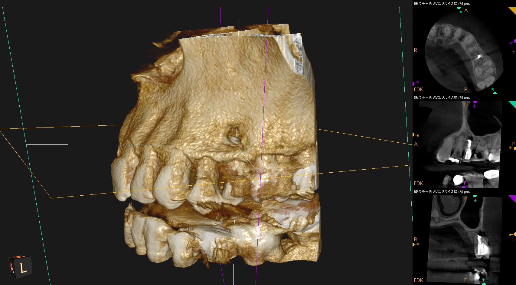
#13 Re-Apicoectomy(2026.4.14)
当該部位をOsteotomyした。
Retroprepした。
脱離した逆根管形成窩洞の中に肉芽が紛れ込んでいた。
これを逆根管形成で除去しつつ、問題がないことを確認した。
Retrofillした。
術後にPA, CBCTを撮影した。




再度、何らかの原因で逆根管充填材が外れないように深く逆根管充填した。
そして、用いる材料も変えてみた。
いや、これは前の材料が悪かったのだ、ということを言いたいわけではない。
それでダメだったのだから材料を変えてみようというだけである。
深い意味はない。
今回の修正は、
逆根充材の厚みを増してみるというその1点のみである。
やはり浅い逆根管充填はそれが外れやすいというリスクがあるようだ、と私はこのケースから感じた。
が、これは仮説だ。
結果は1年後にわかる。
ということで、縫合して終了した。
これで治癒するだろうか?
その結果は、また、半年後にご報告したい。