紹介患者さんの治療。
主訴は、
鼻詰まりがあり、耳鼻科で歯科治療が必要だと言われたので紹介された
であった。
歯内療法学的検査(2024.5.21)
#12 Cold+1/3, Perc.(-), Palp.(-), BT(-), Perio Probe(WNL), Mobility(WNL)
#13 Cold N/A, Perc.(+), Palp.(-), BT(-), Perio Probe(WNL), Mobility(WNL)
#14 Cold+3/3, Perc.(-), Palp.(-), BT(-), Perio Probe(WNL), Mobility(WNL)
#15 Cold+4/3, Perc.(-), Palp.(-), BT(-), Perio Probe(WNL), Mobility(WNL)
患歯は打診痛がある#13が疑わしい。
それ以外の歯は生活歯だ。それらは患歯の可能性は低いと言えるだろう。
が、画像診断も必要だ。
PA(2024.5.21)

#12,14,15に歯髄に近接するう蝕処置歯が、#13に既根管治療歯がある。
これらが疑わしい。
が、検査では冷水痛がある。
それらは患歯の可能性は低いだろう。
CBCTを撮影した。
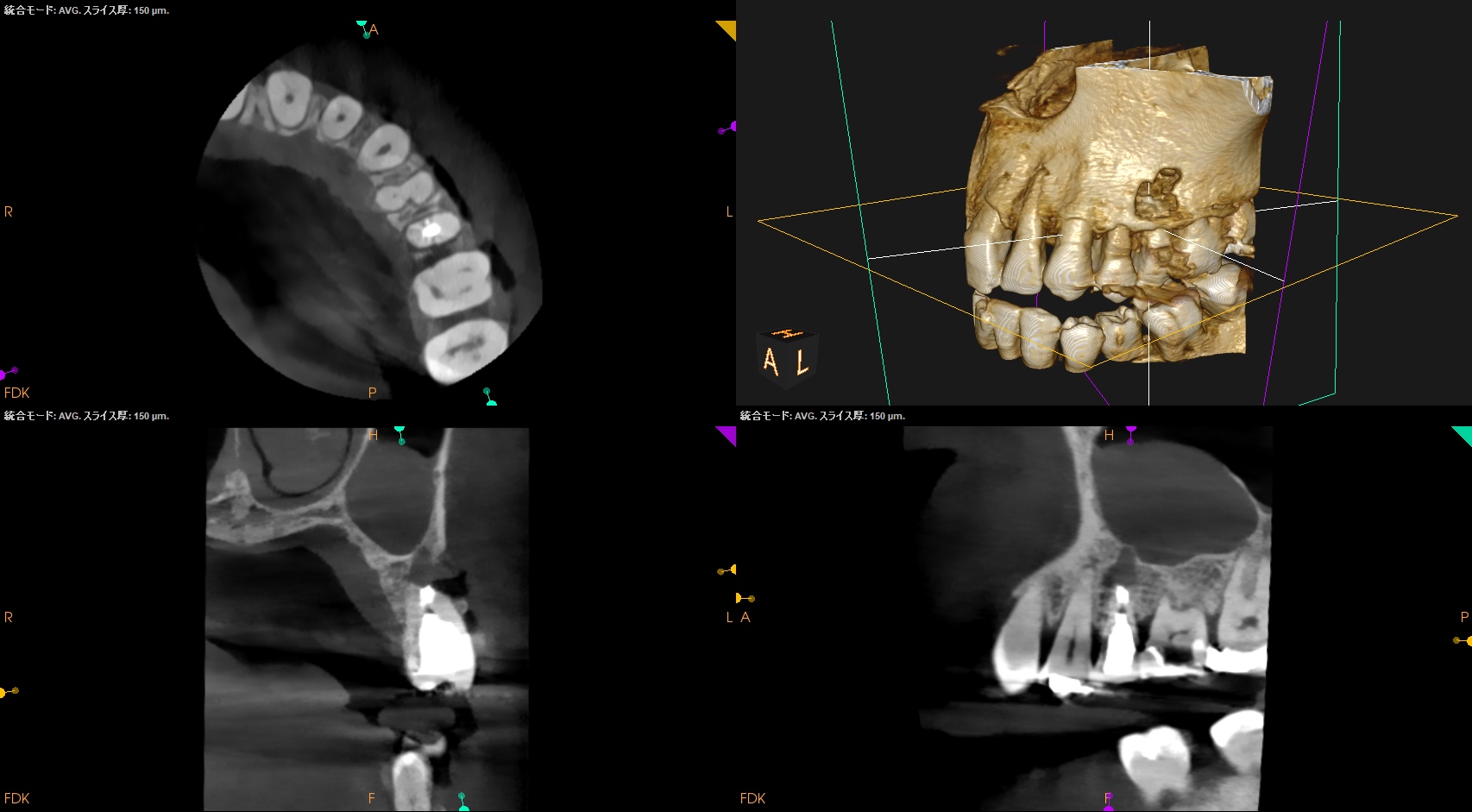
CBCT(2024.5.21)
#13

上顎洞にApexが入り込んでいる#13が怪しい。
拡大すると、

#13のApexの根尖部の病変がSinus に入り込んでいる絵だ。
が、
根尖部は石灰化しており、
太く拡大形成済みである。
ということは…
Apicoectomyが必要だ。
その際は、

CEJよりも12.5mm下方にApexが存在し、
当該部分を2.6mm削合すると#13のApexが顔をだす。
ここから3mm下方で切断しようとすれば、頬側の皮質骨を2.4mm削合し、

歯根を3mmの幅削合する必要がある。
これが難しいことだろうか?
と言えば、私には容易だ。
ということで、同日にApicoectomyへ移行した。
歯内療法学的診断(2024.5.21)
Pulp Dx: Previously treated
Periapical Dx: Symptomatic apical periodontitis
Recommended Tx: Apicoectomy
#13 Apicoectomy(2025.5.21)
CEJより12.5mm下方の位置を見定め、Osteotomyを行う。
Apexは出てくるだろうか?
Apexが顔を出した。
ここから3mm切断する。
Apex探しの後のRoot resection作業で骨窩洞が大きくなってしまった…
これは術後の治癒のスピードに影響を与える可能性があるだろう…

逆根管形成した。
逆根管充填した。
Lid TechniqueやSealerのみの逆根充であれば、Racelletを使用しなくても止血をコントロールするだけで済むことがこの動画でわかるだろう。
PA,CBCTを撮影した。




問題はないことがわかる。
縫合して終了した。
1週間後に抜糸に来院された。
糸は1箇所しか残っていなかった。
が、それに問題はそれほどない。勝手に抜ける時もあるのだ。
この予後は次回のブログ記事でご紹介したい。
