今日はBasic Courseでもよく質問に上がる、
過度に湾曲した根管の形成をどのようにして行うか?
という話をテーマにBlogを書きたいと思う。
もっと突っ込めば、
根管形成の際にどこを見て何を考えて行っているのか?に対する回答とも言える。
紹介患者さんの治療で主訴は、
金歯で治療した歯がものすごく痛くて夜も寝れなかった…
である。
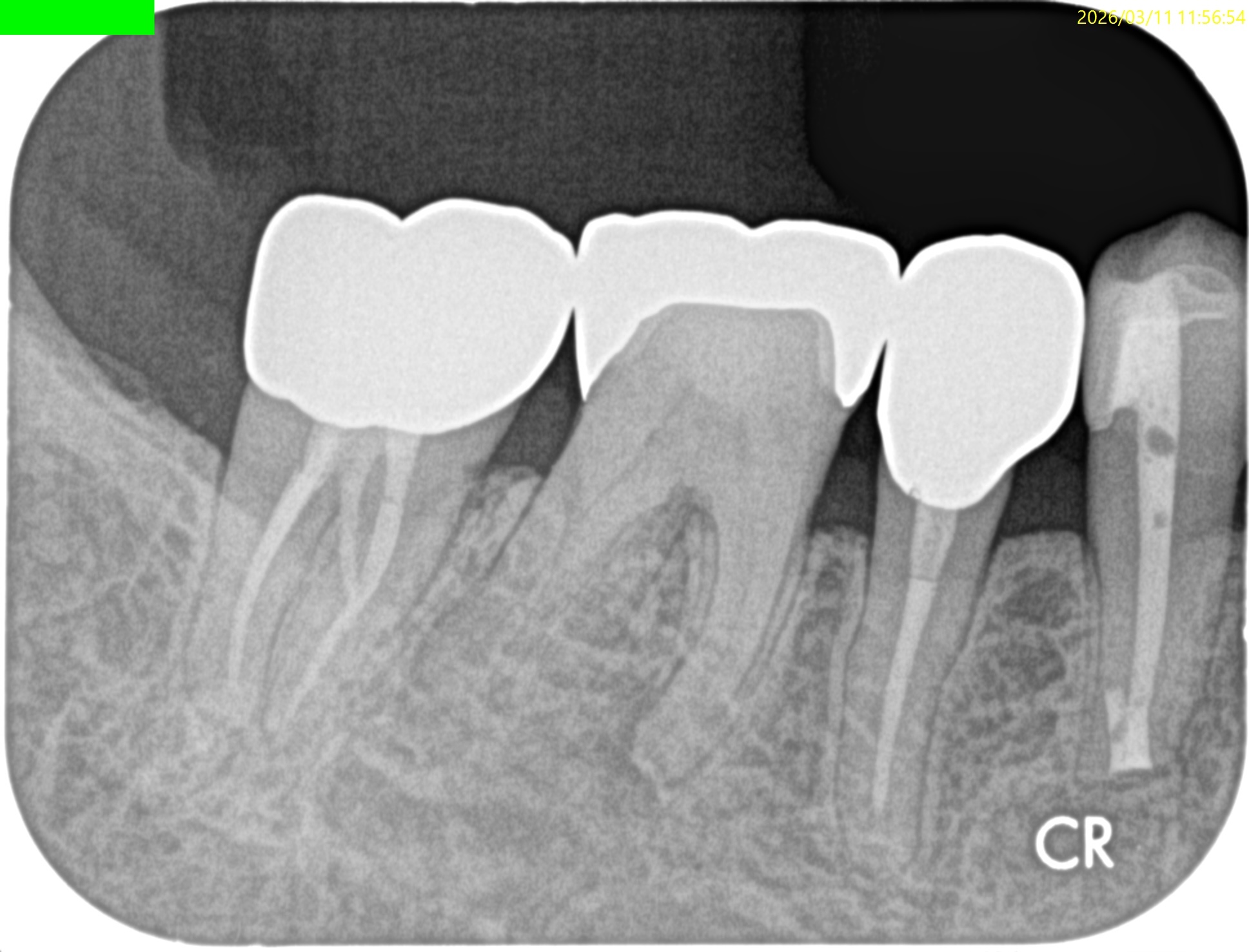
Pre-op Endo test(2026.3.11)



外を着飾っても(Gold Inlayを装着しても)、内部の生活性が失われればそこでこの洋服(要は装着したGold Inlay)は意味をなさないのである。
患者さんにはいい勉強?になったのかもしれない。
MB

ML

D

Radix

Gold Inlayの封鎖性を持ってしても歯髄の生活性を担保することはできなかったようだ。
ということでRadix以外の根管全てに根尖病変があり、穿通がマストだ。
が、歯髄に近い修復で石灰化が進んでいる。
SXを入れる前に短針でスカウティングが必要だろう。
またRadixも湾曲が強い。
ここも形成で工夫が必要だ。
Pulp Dx: Pulp Necrosis
Periapical Dx: Symptomatic apical periodontitis
Recommended Tx: RCT
同日、治療へ移行した。
⭐︎この後、治療動画が出てきます。不快感を感じる方は視聴をSkipしてください。
#30 RCT(2026.3.11)
湾曲根管の形成方法は種々あるが、ColtenのHyFlex EDMの説明書には以下のようにある。

#10.05でグライドパスをしてその後に#20.05から始めるというものだ。
が、このHand FileがC+ Fileであれば#10.05を使用しなくても良くなるという話は講演会やセミナー等で私がよくする話だが、今回は

RadixはC Fileの#8で穿通している。
C Fileのテーパーは2なので0.5mm上部は#9である。
が、石灰化が極めて強くC Fileの#8をApexからさらに押し出す(突き出す)ことができなかった。
#6を使用したがこれもキツくApexから突き出せなかった。
このような場合(テーパー2度の#6,8が根尖から出せないくらい石灰化した根管の根管形成を行う場合)は、
HyFlex EDM #10.05を使用しなければならない。
今日はそれについて解説してみよう。
#10.05を2回通し、
#20.05を3回通し、
#25.Vも3回通し、
#40.04は1回だけ通している。
ちなみに形成中に私が見ている絵はファイルが根管に入り形成されている様(動き)ではない。
私が見ているのはこの絵の矢印部分である。
#10.05

#20.05



#25.V



#40.04

形成前に根管にファイルを入れてラバーストッパーからReference Pointまでの距離が形成できる根管の距離であるということがわかる。
この距離は、形成の都度、短くなり形成量は減少していく。
これを無理に押し込めるとレッジができる。
Freedmanが言う通りだ。
このようなコンセプトで根管形成をあなたはしてきただろうか?
これが私が日々?セミナーで伝えていることである。
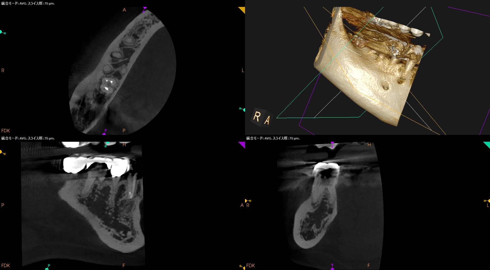
術後にPA, CBCTを撮影した。


MB

ML

D

Radix

ということで問題ないだろう。
このように非外科的な根管治療ではなぜ、そのNi-Ti Fileを選んで形成しているか?を論理的に他人に説明できなればらない。
曲がるからとか、
高いから良さそうだ
では誰も納得しないだろう。
そして実際形成する際は何を見て、どこを注目して行っているか?にファーカスを置かなければならない。
そうしたことは現在、
Basic Course 2026
マイクロエンドマンツーマンコース
マイクロRe-RCT マンツーマンコース
ColtenのHands-on Course

どこかに呼ばれた際に根管形成について話してくれと言われた場合
でのみ行っている。
もしも希望されれば、私はどの地域にも足を運びます。
全国どこからでもお呼びくださいw
先生からの連絡をお待ちしています。
と言うことで今日は久々ファイルについて語ってみた。