紹介患者さんの治療。
主訴は、
どの歯科医院に行っても歯が折れているので抜歯と言われたが歯を残したい…
である。
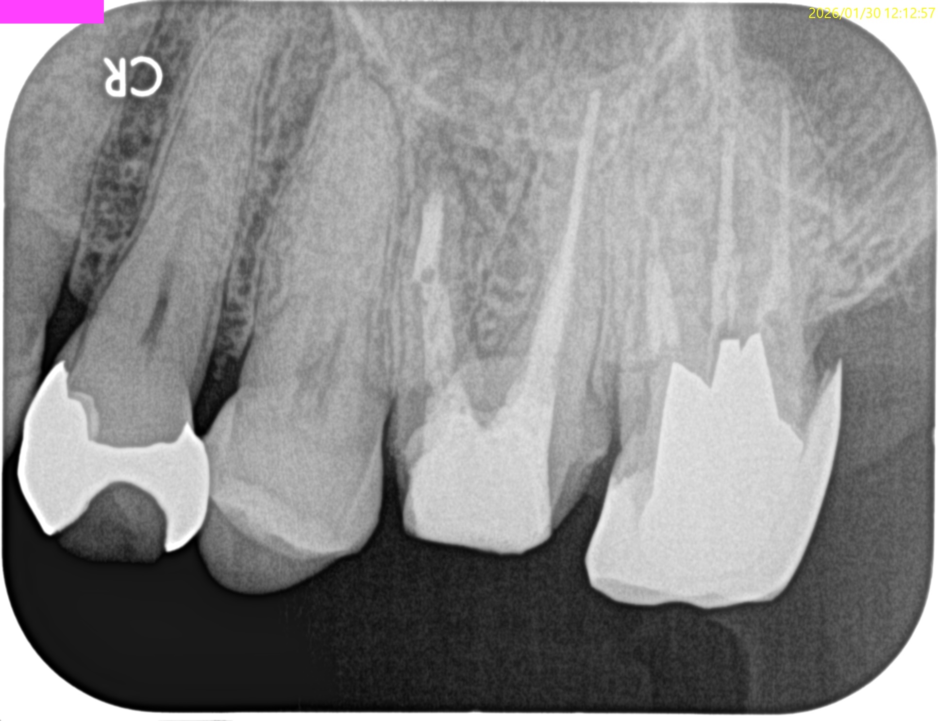
Pre-op Endo Test(2026.1.15)

#14 の頬側には8mmの歯周ポケットがあった。

これが割れていると言われている所以の一つである。
画像はどうだろうか?




MBの歯根周囲に病変がある。
MBの根管口部もいかにもピーソーリーマーで掘りましたよ、とVRFを惹起させる可能性が高い状況証拠まで存在する。
そしてそこに歯周ポケットが8mm…
VRFが濃厚かもしれない。
が、
本当に折れているかどうか?は直視しないと判断がつかない
のである。
つまり、
ApicoectomyでFlapを開けて白黒つけるしかない。直視以外にそれを判定する方法はないのだから。
Pulp Dx: Previously treated
Periapical Dx: Chronic apical abscess
Recommended Tx: Apicoectomy
別日に治療が行われるがその際は、

折れてなければ…
MB1とMB2が近接するという、実にEasyなApicoectomyだ。
別日に治療が行われた。
☆この後、外科動画が出てきます。不快感を感じる方は視聴をSkipしてください。
#14 Core build up→MB Apicoectomy(2026.1.30)
MBをメチレンブルーで染めるが、

破折の初見はない。
Light Testも行うが、

破折所見は確認できなかった。
ということで、折れていないと言うことを確認し、Root resectionへ進む。

CBCTから当該Apex相当部位を確認しOsteotomyしてRoot resectionし、メチレンブルーで染色した。
その時の絵がCBCTでMBを3mmで切断した

この絵と相似形なので問題はないと考えた。
この後、RetroprepしRetrofillした。
PA, CBCTを撮影した。


問題はないだろう。
縫合して終了した。(ここでマイクロのライトが落ちたので映像が悪い…すいません)
次回は半年後である。
またその模様をお伝えしたい。