昨日の記事の続編。
昨日の処置の後、#20 Intentional Replantationを行っていた。
が、



頬側の皮質骨は既にない。
VRFを想像させる絵だが、
術前の歯周ポケット測定では、#20は全周、Within Normal Limit(正常の範囲内)である。
つまり…
Intentional Replantationで歯牙を全周見なければ破折の有無は判定できない。
ということで、Intentional Replantationが行われた。
☆この後、外科動画が出てきます。不快感を感じる方は視聴をSkipしてください。
#20 Intentional Replantation(2026.2.10)
#20の周囲には歯槽骨がほぼないので容易に抜歯ができた。
ここから口腔外作業になる。
メチレンブルーで染め出したがVRF所見はなかった。
ここからApicoectomyへ移行する。
逆根管形成した。
逆根管充填した。
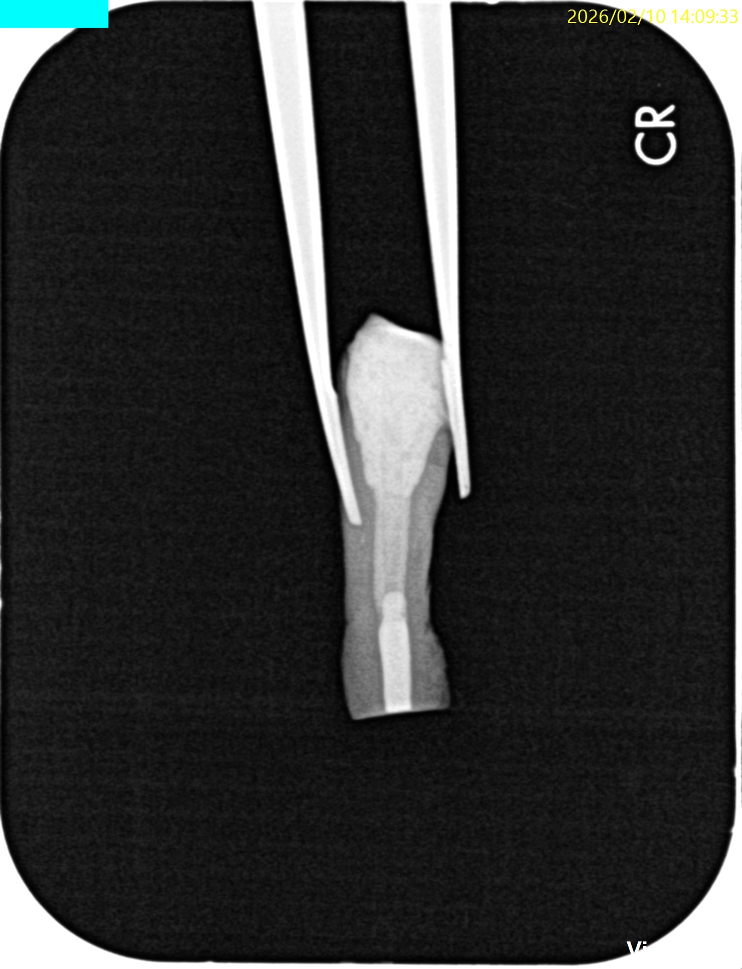
術後にPAを撮影した。

問題はないだろう。
再植する前にLight testをしたが破折所見はなかった。
抜歯窩を生食で洗浄し、再植した。
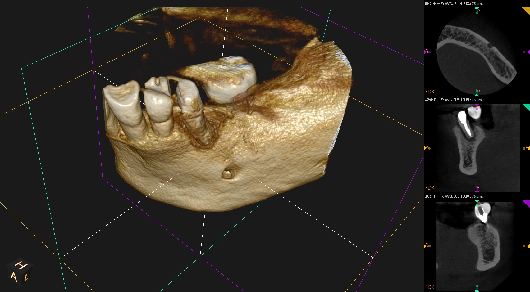
術後にPA, CBCTを撮影した。





長いスクリューピンの除去には約50分かかったがIntentional Replantationは15分で終了した。
治療の難易度とはその処置内容ではなく術前にその特徴を把握して決まるものである。
ということで、次回は1ヶ月後である。
またその模様をお伝えしたい。