紹介患者さんの治療。
主訴は、
奥歯の歯茎が腫れて歯磨きの時に痛む時がある
である。
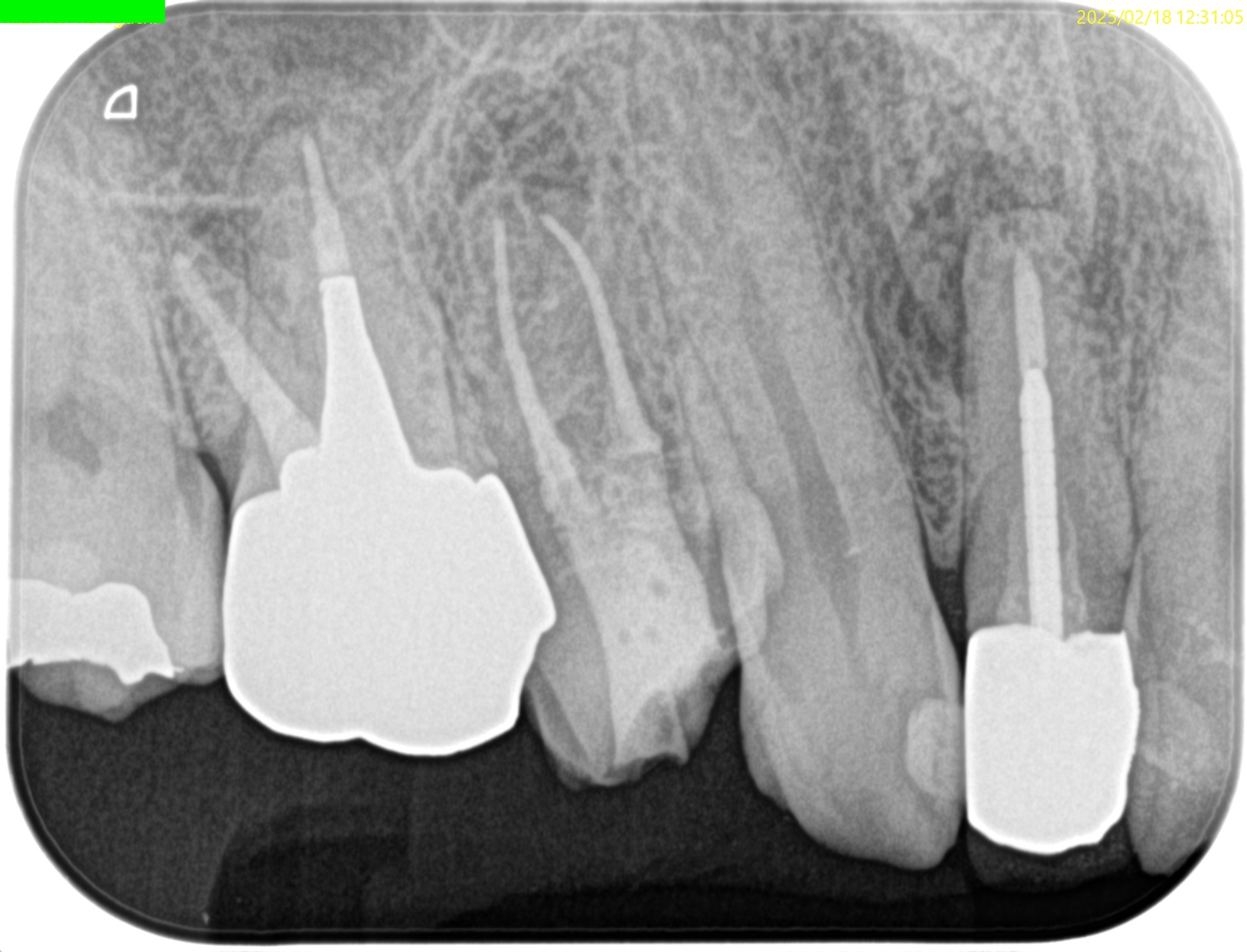
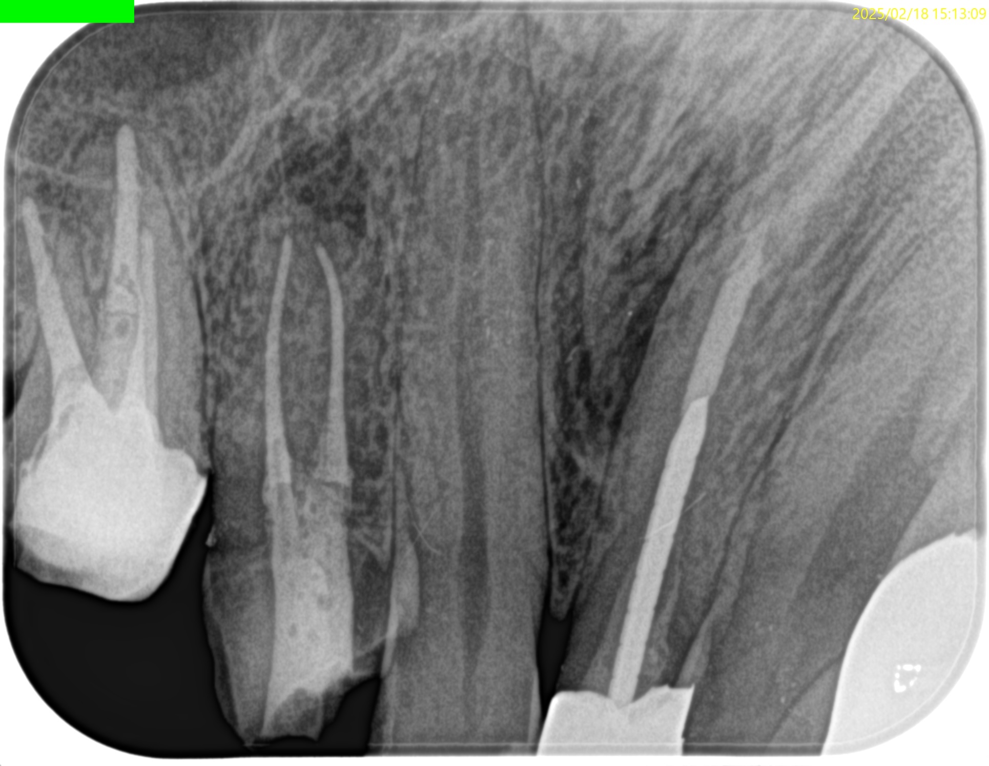
Pre-op Endo test(2025.2.18)




#3
MB

DB

P

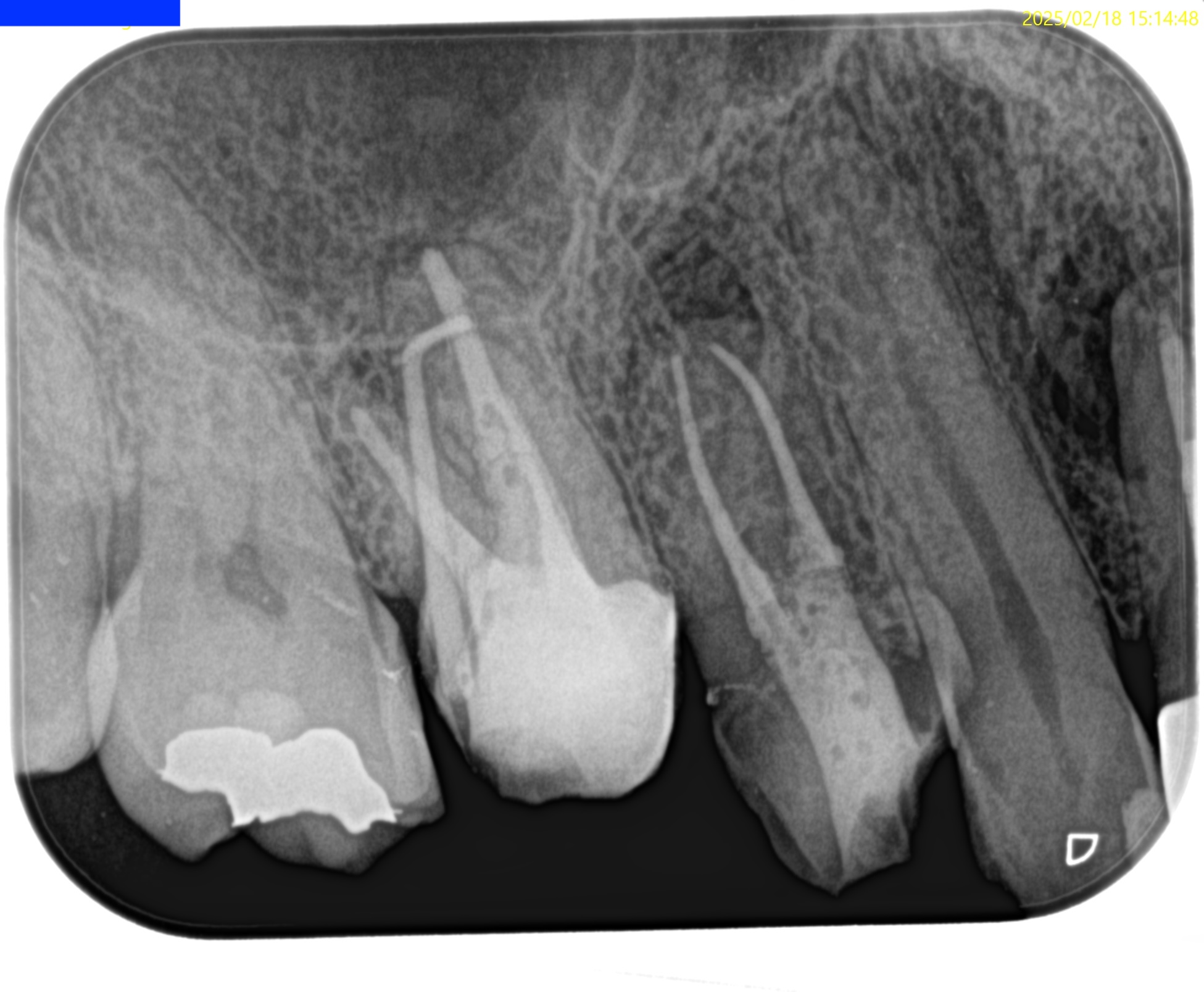
まず、#3 Pのみ再根管治療を行い(2025.2.18)、




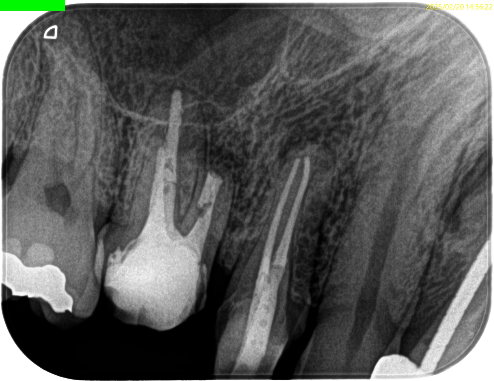
この日、#3 MB Apicoectomyを迎えた。
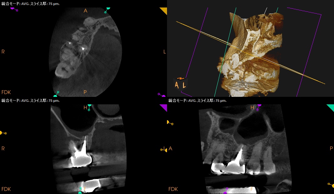
治療前の予測としては以下だ。

CEJよりも13mm先にApexがある。
が、この際にOsteotomyを行わなくてもApexには辿り着ける。
そしてApexから3mmで切断した時に、頬舌的には4.4mm削るだけで済む。
Very easyな外科治療だ。
そしてその際、Gutta PerchaがMBの中心にあることからこの根管は1根管であるということまでわかる。
まさにSuper easyなApicoectomyである。
このように
見れる・わかる・映りがいいCarestream社のようなCBCTがあれば, ここまで術前に予測ができるのである。
それは砂漠を旅する際にMapを手に入れることができうようなものである。
ここまで書いてこの私の意見に、
???
なあなた、
Advanced Course 2026
でお待ちしています。
ということで、この日にApicoectomyを行った。
☆この後、外科動画が出てきます。不快感を感じる方は視聴をSkipしてください。
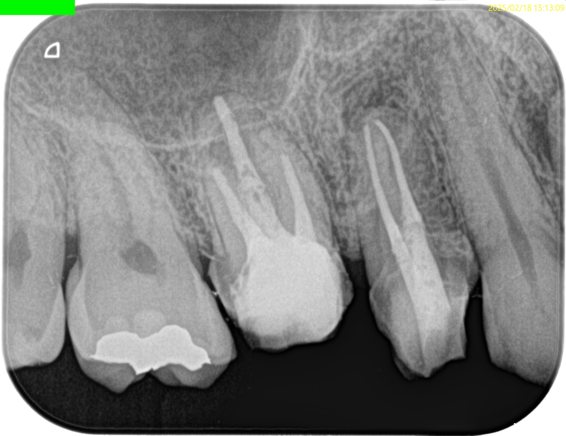
#3 MB Apicoectomy(2025.2.20)
#3 MBのApexは容易に発見できた。
このまま3mmで切断する。
その際は、頬舌的に4.5mm切断しなくてはならない。
大した距離ではないので容易だろう。
切断面は、

この形態と相似形なので問題はないだろう。
そして、この形態の中心にGutta Perchaが存在し、近傍にMB2があることが予想される。
頬舌的に超音波を動かさなくて済むのである。
かなりEasyだ。
ということで、逆根管形成した。
最後に逆根管充填した。
この時、シーラー
エンドセム MTA クイックペースト R
だけで逆根管充填している。
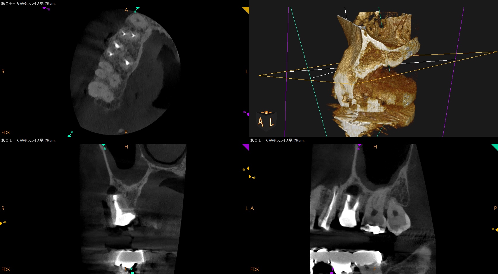
充填後、CBCTとPAを撮影した。




問題はないだろう。
最後に縫合した。
この後、経過を追うまで1年,間を開けた。
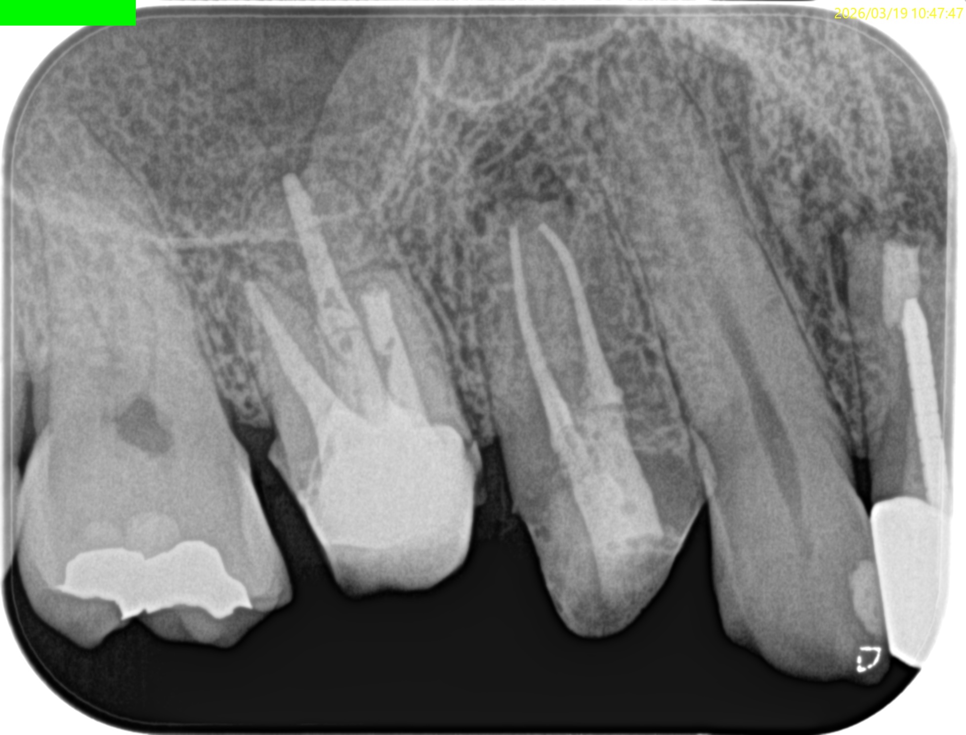
#3 MB Apicoectomy 1yr recall(2026.3.19)







歯槽骨の欠損、Sinus tract, 臨床症状は消失した。
最終補綴もOKで、経過観察も終診とさせていただいた。
長きに渡りお疲れ様でした。
