以前の治療の経過観察。
Previously Initiated TherapyのRCTには危険がいっぱい…MB?が穿孔してしまった、#14 RCT 久々の2回法とメカニカルグライドパスの方法
Previously Initiated TherapyのRCTには危険がいっぱい…MB?が穿孔してしまった、#14 RCT 久々の2回法とメカニカルグライドパスの方法 6M recall
Previously Initiated TherapyのRCTには危険がいっぱい…MB?が穿孔してしまった、#14 RCT 久々の2回法とメカニカルペイテンシーの方法 1yr recall
処置から2年が経過していた。
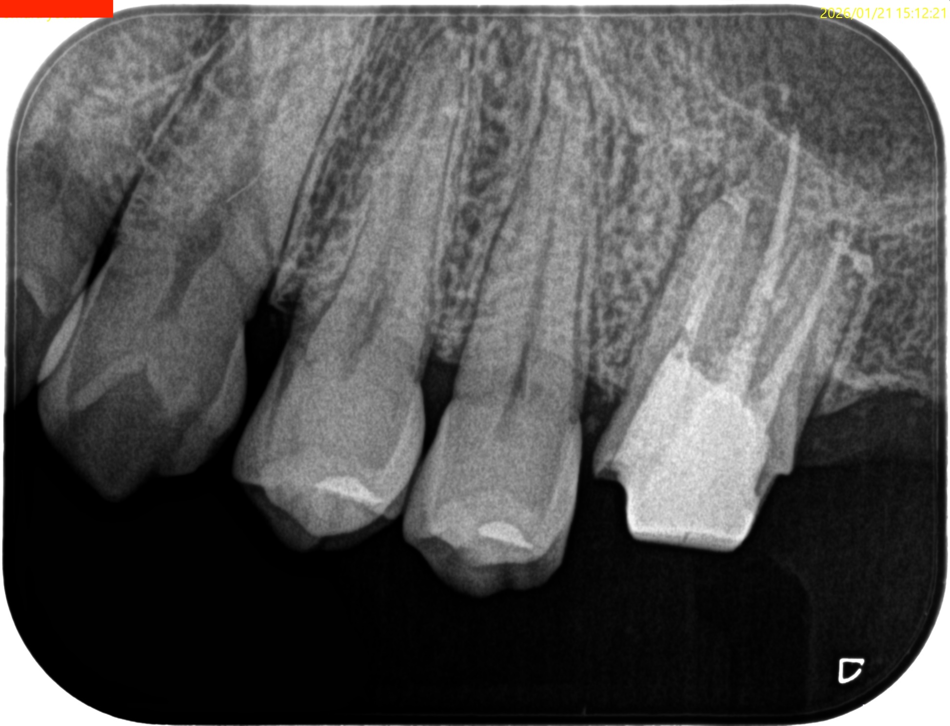
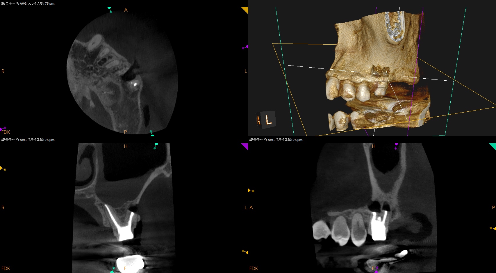
#14 RCT 2yr recall(2026.1.21)



MB1

MB2

DB

P

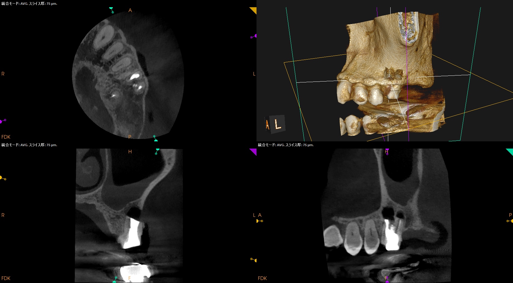
MB,DBの根尖部に病変が残存している。
臨床検査での咬合痛が生活に支障があるそうだ。
ということは…
#14 MB,DB Apicoectomyが必要である。
しかし、これは術前に説明済みである。
ということで、別日に#14 MB,DB Apicoectomyへ移行した。
その際は、
MB

DB

以上のような内容の外科治療だ。
これをユニット横に以下のように貼らなければならない。

このケースが
簡単か?
難しいか?
中程度か?
あなたにはわかるだろうか?
わからないあなたは、
Advanced Course 2026
でお待ちしています。
☆この後、外科動画が出てきます。不快感を感じる方は視聴をSkipしてください。
#14 MB+DB Apicoectomy(2026.2.10)
パピラベースでオペを行っている。
ApicoectomyはApexを発見するというのが全てだ。
そこを基準に3mm切断しなければならないからである。
MBのApex部をプローブで測定し、当該部位をOsteotomyした。
MBのApexを発見したのでここから3mm切断する。
この際の切断面が上記のCBCTの絵の咬合面観に相似であるので問題がない、ということもわかるだろう。
が、ここで逆根管形成を行わずにストップし、DBの方から先に処置することにした。
イスムス形成に手間取ると考えたからである。
CBCTを参考にCEJよりDBのApexを測定し該当部位をOsteotomyし、Root resectionし、メチレンブルーで染色した。
この際の断面が上記のCBCTの絵に掃除であれば問題ないが、切り残し(アゴ)が残存したので切断し直している。
DBを逆根管形成し、逆根管充填した。
ここでMBに戻る。
術後にPA, CBCTを撮影した。


MB

DB

問題はないだろう。
縫合して終了した。
1週間後に抜糸であった。
#14 Suture removal(2026.2.10)
ということで次回は半年後である。
またその模様をお伝えしたい。
と同時に、
このような状況になった場合、
外科的歯内療法以外、問題を解決する方法がないという事実を臨床家は知らなければならない。
その時、あなたがApicoectomyやIntentional Replantationができなければできる誰かに紹介しなければならないのである。
このわかりやすい事実をだれほど多くの臨床家が認識しているだろうか?
