紹介患者さんの治療。
主訴は
虫歯が進んだ歯だが保存できるのであれば治療をお願いしたい…
である。
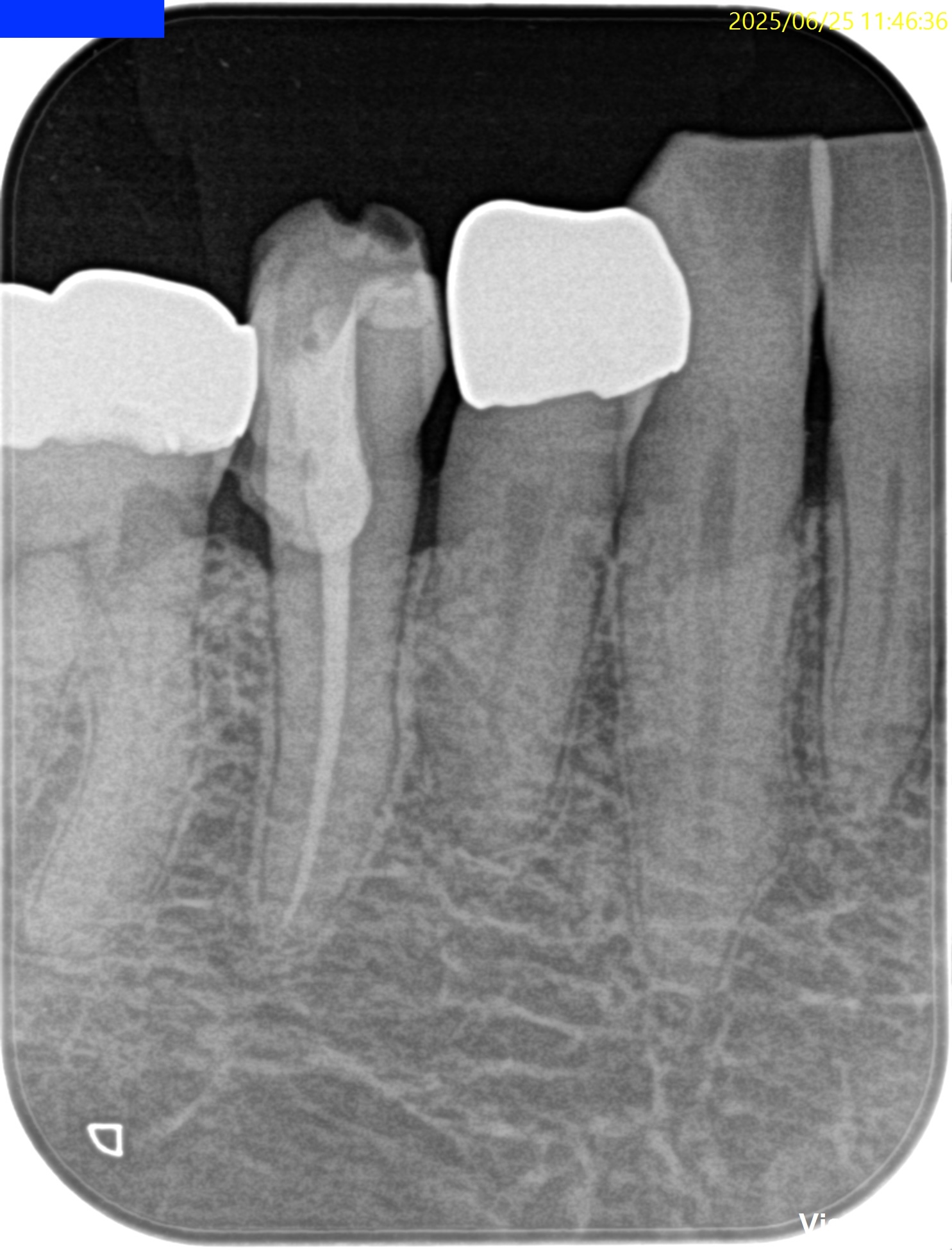
初診時検査(2025.6.25)
#28 Cold+2/3, Perc.(-), Palp.(-), BT(-), Perio Probe(WNL), Mobility(WNL)
#29 Cold+2/4, Perc.(-), Palp.(-), BT(-), Perio Probe(WNL), Mobility(WNL)
#30 Cold+2/2, Perc.(-), Palp.(-), BT(-), Perio Probe(WNL), Mobility(WNL)
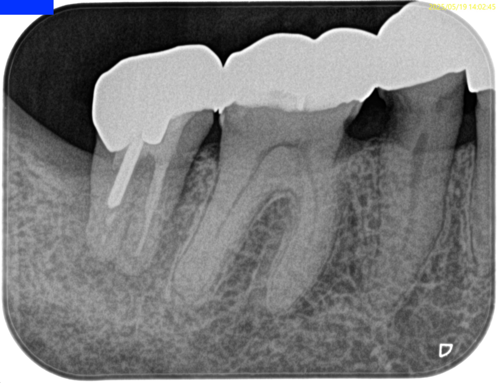
PA(2025.6.25)

検査でなく、PAで初めて患歯が#29だとわかる。
歯髄に迫る大きな虫歯が保険の修復物の下部にある。
これが保存できるだろうか?
CBCT(2025.6.25)
が、根尖病変はない。
ここから臨床家が取れる行動は2つだ。
1つは抜髄して歯髄を除去する。
その際の成功率は96%(Sjorgren 1990)である。
もう一つは歯髄を保存する。
術前の検査ではCold testに対してWithin Normal Limit=WNLなので, その正当性はある。
が、その際の成功率は不明であるし、特典?としては歯髄が石灰化する。
その歯に感染が起きれば、歯髄は石灰化し根管治療はできずApicoectomy一択だろう。
どちらがいいか?を臨床家は考えなければならない。
患者さんは厄介な処置に将来なるよりも、現段階での“適切な”処置を希望された。
すなわち…抜髄・根管治療である。
したがって診断は以下だ。
歯内療法学的診断(2025.6.25)
Pulp Dx: Asymptomatic irreversible pulpits
Periapical Dx: Normal apical tissues
Recommended Tx: RCT
ということで、Asymtomatic irreversible pulpitisとして根管治療へ移行した。
その際はこの遠心にある縁下カリエスをどう扱うか?もポイントになろう。
⭐︎この後、治療動画が出てきます。不快感を感じる方は視聴をSkipしてください。
#29 RCT(2025.6.25)
縁下カリエスは動画にあるように
電気メスによるGingivectomy
Zooによる簡易防湿
レジンによる隔壁形成(Temporary Core Build up)
で対応した。
ラバーダムしてないじゃないか!💢と言われそうだが、そのほかにこの状況を理想的に解決できる方法があるだろうか?
あれば私は聞きたい。さすればより良くなるのであろうから。
この後、根管治療へ移行した。

訳のない処置である。
術後にPA, CBCTを撮影した。



パワープレイ的な治療だが、問題はないだろう。
問題があるとすれば…遠心の歯質が縁下カリエスであるということだ。
クラウンレングスニングが必要な旨をかかりつけ医には伝えた。
次回は1年後である。
またその模様をお伝えしたい。

