以前の記事の経過観察。
7ヶ月も根管治療に時間がかかった患者さんの治療であるが、私は1回法で終わらせた。
そんなことでいいのだろうか?と思うが、これが日本の現状だ。
結果を1年待った。
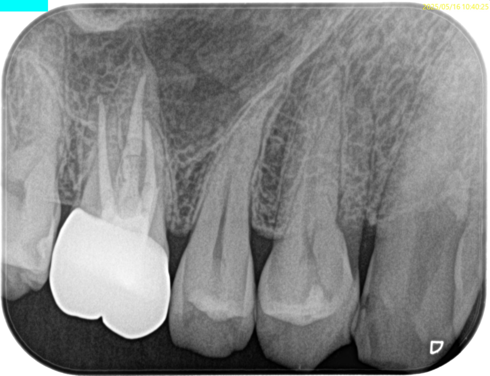
#3 RCT 1.6yr recall(2025.5.16)

術前の臨床症状は喪失した。


#3 MB
#3 DB
#3 P

初診時と比較した。

初診時の臨床症状は喪失した。
第一、7ヶ月も根管治療って何をするの?という話である。
人は皆、忙しい。
7ヶ月も何を粘るのか?という話である。
さっさと終わらせればいいのに、と思うし、これはUSCであれば留年+Facultyから詰問される案件だ。
このように、
歯内療法は誰がやるか?で結果が変わる歯科医療である
ということがよくわかるだろう。
この日で終診とさせていただいた。
長い間、お疲れ様でした。

