紹介患者さんの治療とその経過観察。
主訴は、
補綴治療するのに神経の処置が必要と言われたのでお願いしたい。
である。
他院で#31 Metal Inlayを除去し、レジン充填した状態になっている。
いわゆる、便宜抜髄の依頼だ。
歯内療法学的検査(2024.9.9)
#30 Cold+12/4, Perc.(-), Palp.(-), BT(-), Perio Probe(WNL), Mobility(WNL)
#31 Cold+1/2, Perc.(-), Palp.(-), BT(-), Perio Probe(WNL), Mobility(WNL)
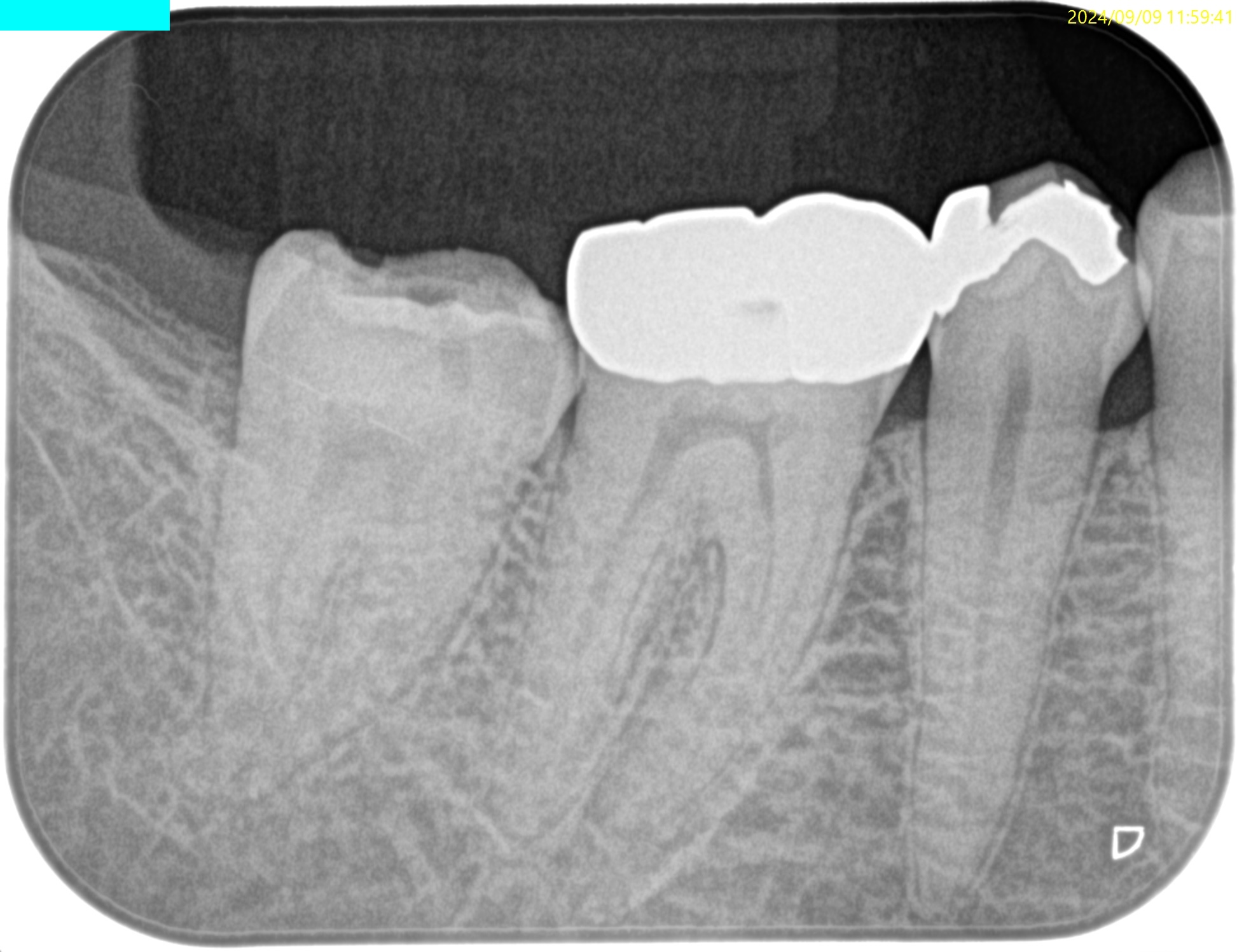
PA(2024.9.9)

CBCT(2024.9.9)
#31 M
#31 D

根尖病変は無いようだ。
歯内療法学的診断(2024.9.9)
Pulp Dx: Symptomatic irreversible pulpitis
Periapical Dx: Symptomatic apical periodontitis
Recommended Tx: RCT
ということで同日治療へ移行した。
⭐︎この後、治療動画が出てきます。不快感を感じる方は視聴をSkipしてください。
#31 RCT(2024.9.9)
露髄したが出血がない。
健全歯髄なのだろう。
以下のように根管形成した。

根充後にPAを撮影した。




この半年後に経過を見るが、根尖病変がないため最終補綴の装着を依頼した。
問題がなければ、Intentional Replantationや再根管治療は避けられる。
#31 RCT 6M recall(2025.3.14)
#31 Cold N/A, Perc.(-), Palp.(-), BT(-), Perio Probe(WNL), Mobility(WNL)
術前と変わらない状態であった。




問題はない。
ということで、経過観察は終診した。
長い間、お疲れ様でした。

