紹介患者さんの治療。
主訴は、
左上奥歯、歯にヒビが入っているかもしれないと言われ残せない、抜歯と言われたが残せないだろうか…
である。
治療歴は以下だ。
左上奥歯の虫歯の治療を2022.12にしたという。
その後、2024.6に歯茎を押したら痛かったので定期検診時に相談し、抜髄して根管治療をし始めたものの、
歯にヒビが入っているかもしれないと言われ不安になり
この紹介元に転院されている。
何度もいうが、
折れているか?折れていないか?は、基本的に歯牙を抜歯してその歯を直視しなければ判別ができない。
どの歯科医院に行っても歯が折れていると言われる…なんとか残せないだろうか?〜#31 Intentional Replantation
そして、折れていても次の処置のために折れている部分を修復して、その部分の骨吸収を防止し、根尖部の歯槽骨を回復することは可能である。
が、それは次の処置を希望する先生次第である。
さっさと抜いて、人工骨を入れればいいんだよ!という御仁には通用しない考え方だろう。
そこからのうちへの紹介である。
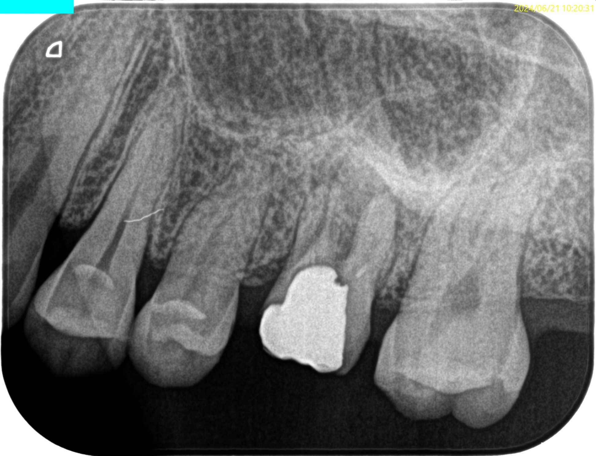
歯内療法学的検査(2024.6.21)

PA(2024.6.21)

CBCT(2024.6.21)
MB
治療する前から、この#14にはMB2はないということがわかる。
理由はこの画像だ。

歯根の中央に根管があることがわかる。
1根管だろう。
DB
P

B

歯内療法学的診断(2024.6.21)
Pulp Dx: Previously initiated therapy
Periapical Dx:Symptomatic apical periodontitis
Recommended Tx: RCT
#14 RCT(2024.6.21)
長さを計測すると以下になった。

K#20で穿通したのでMAFは#60.02にしている。
術後にPA, CBCTを撮影した。


MB
DB
P


MB2はないだろう。
ということで次回は1年後である。
またその模様をお伝えしたい。



