紹介患者さんの治療。
主訴は、
左上奥歯、他院で抜歯と言われたが歯牙を保存したい…
である。
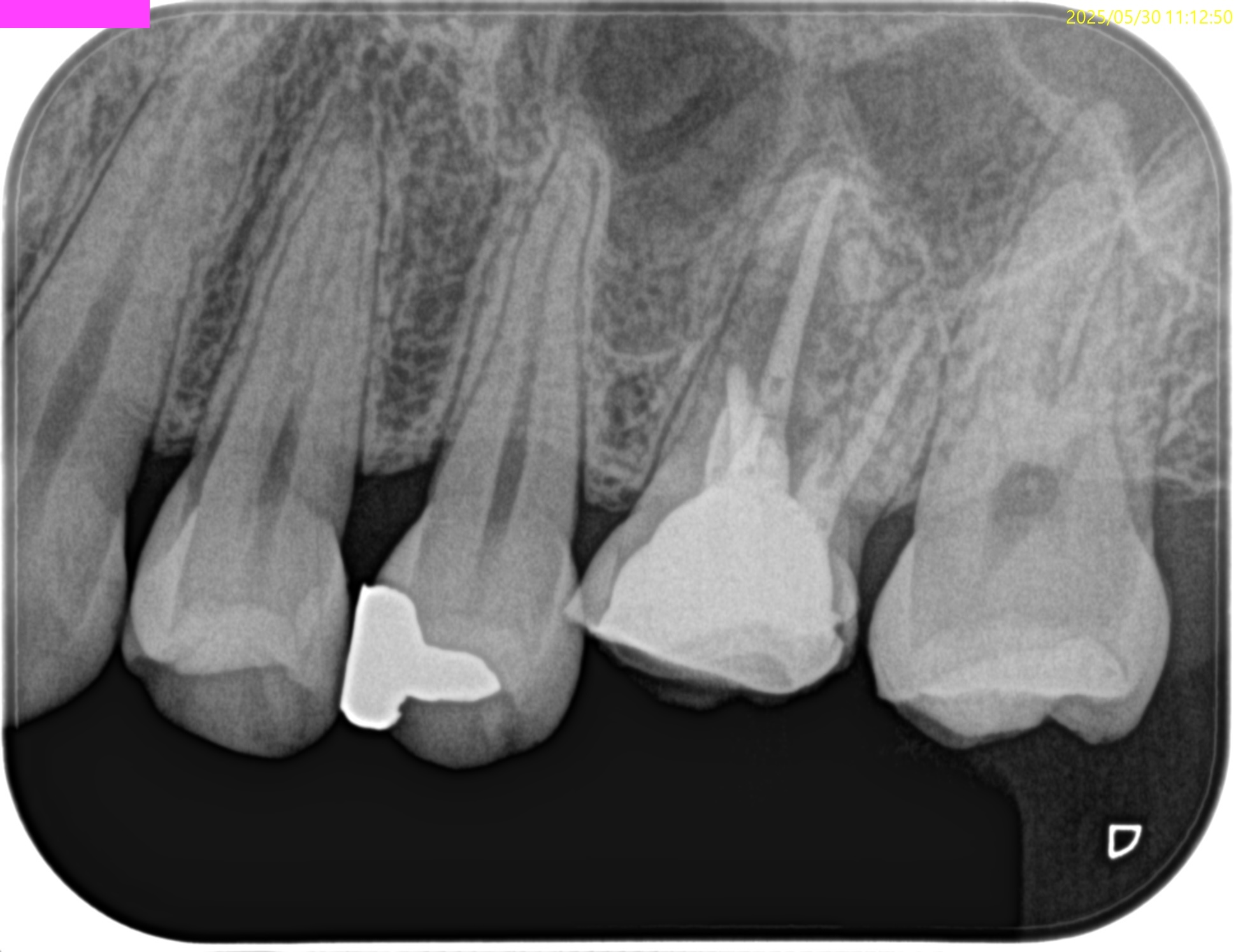
歯内療法学的検査(2025.4.15)
痛みはないが根管治療は抜髄時のみ麻酔をしている。それ意外は無麻酔だったという。
それでは…拷問ショーだ。
その理由は以下である。
De Deus 1975 Frequency, location, and direction of the lateral, secondary, and accessory canals

側枝(歯牙の神経繊維含む)がこれほど多く存在するのに無麻酔で治療するなどあり得ない。
臨床家はよく覚えておく必要があるだろう。
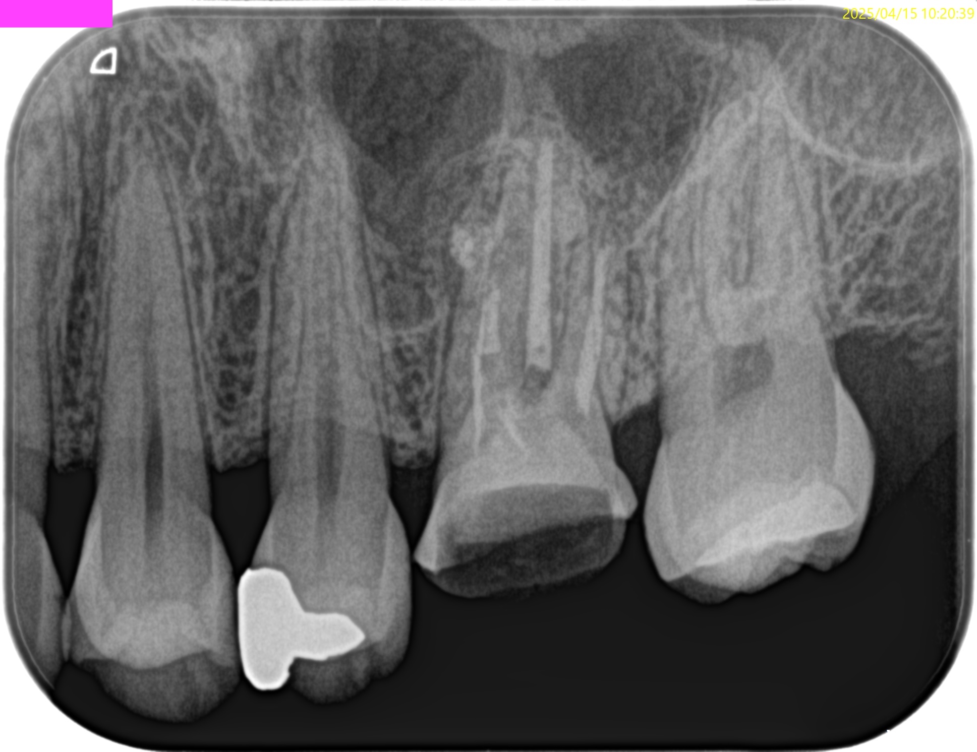
PA(2025.4.15)
MBの根管口の歯質が少ない。
垂直性歯根破折を惹起させるものだ。
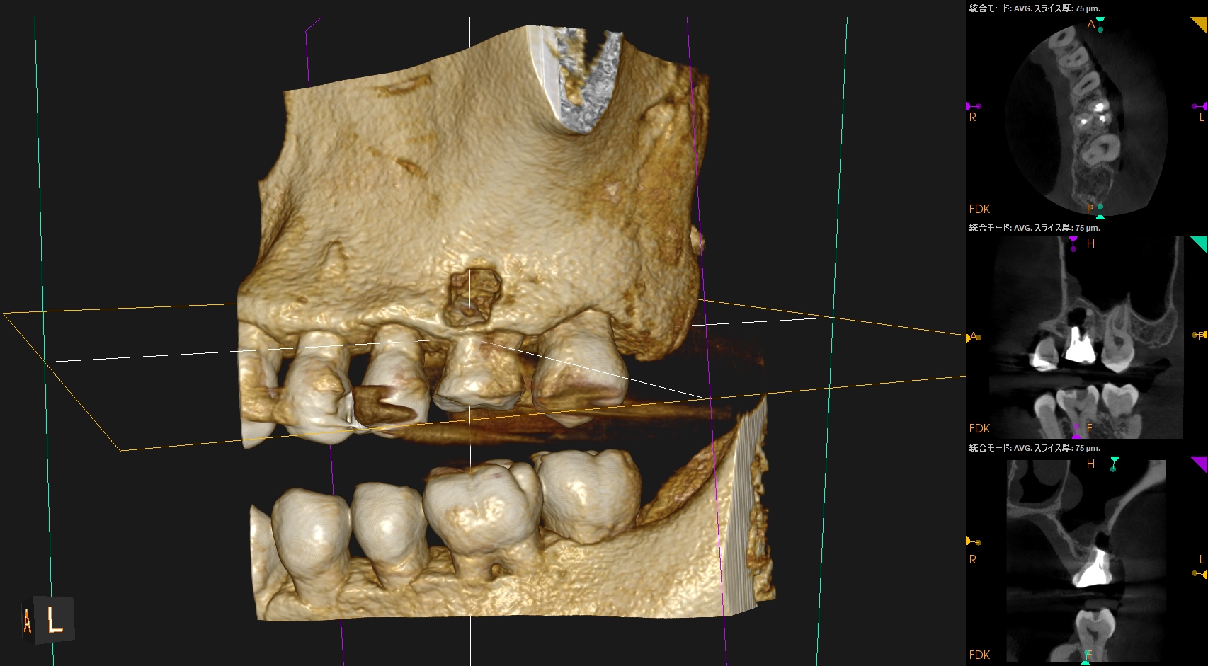
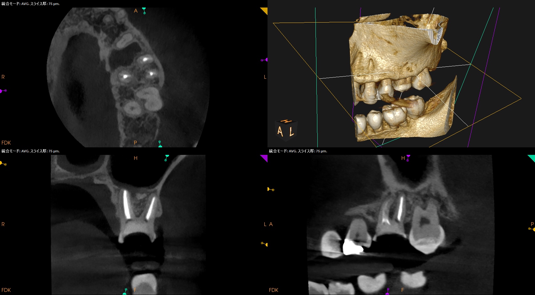
CBCT(2025.4.15)
MB
MBの根管口部あたりに穿孔が疑われる所見がある。
ストリッピングパーフォレーションというやつだ。
根充後に根管をBC Puttyで埋める必要があるだろう。
Gorni 2004 The outcome of endodontic retreatment: a 2-yr follow-up
によればその成功率は25本治療して6+1本の7本しか成功していない。
成功率は7/25×100=28%だ。

やはり穿孔の位置から考えて歯周疾患を引き起こしやすいのだろう。
が、だ。
成功率が低いからという理由であなたは抜歯を試みる(説得する)だろうか?
何度も言うがその是非を決めるのは患者さんであり臨床家ではない。
なぜか?
それは歯牙の治療は命に関わらないからだ。
命に関わるのであれば別であるが。。。
DB
P

DB,Pには何もない。
SelectiveにMBのみを扱う治療になるだろう。
その成功率は極めて高い
Selective Root Canal Retreatmentの成功率 92.6%
Martins 2023 Outcome of selective root canal retreatment-A retrospective study
が、これは非外科的な歯内療法の結果で外科治療ではない。
が、参考になると言えばこれくらいしか見当たらない。なのでこれを私は拡大解釈した。
Selectiveに外科治療した予後の研究を今後は探すのだろう。
どなたかご存知の方がいらっしゃればご一報ください。
さて、外科の際は


上顎洞の穿孔を避けるため、MBはCEJよりも5.6mm下方に1.3mm Osteotomyして頬舌的に4.3〜4.9mm切断する必要がある。
これはそれほど困難ではない。
その後、Root tipごと取り出す形になるだろう。
歯内療法学的診断(2025.4.15)
Pulp Dx: Previously initiated thrapy
Periapical Dx: Symptomatic apical periodontitis
Recommended Tx: Core build up, Perforation repair→MB Apicoectomy
同日、治療が行われた。
☆この後、治療動画が出てきます。不快感を感じる方は視聴をSkipしてください。
#14 Core build up, Perforation Repair(2025.4.15)
MBは穿孔部ごとBC sealer, BC Puttyで充填した。
この後Apicoectomyになるから問題はない。
同日、MBのApicoectomyを行った。
MBのApexを見つけることなく、CEJから5.5mmの位置で頬舌的幅径5mmの長さで切断し、Apex周囲の骨を削除しApexを取り除いた。
その後、メチレンブルーで染色し逆根管形成に移行する。
その際はBC sealerのみであるのでGutta Percha Pointの残渣に悩まされることがない。かなり時短できるだろう。非常にEasyなApicoectomyだ。
これが私が穿孔封鎖とApicoectomyを同日に行なった理由である。
それほど出血に悩まされなかった。
Luckyだった。
術後にPA, CBCTを撮影した。




問題はないだろう。
縫合して終了した。
ここから時間が経過し、経過をみることになる。
術後4ヶ月経過したときに、痛みはないが違和感があると連絡を受け経過を見ることになった。
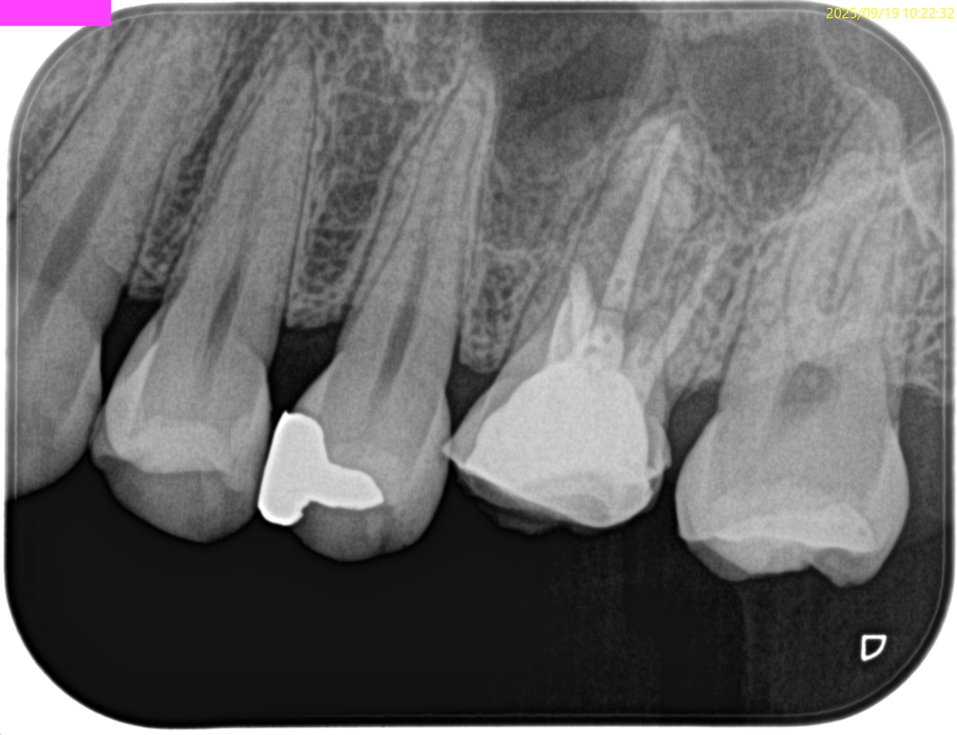
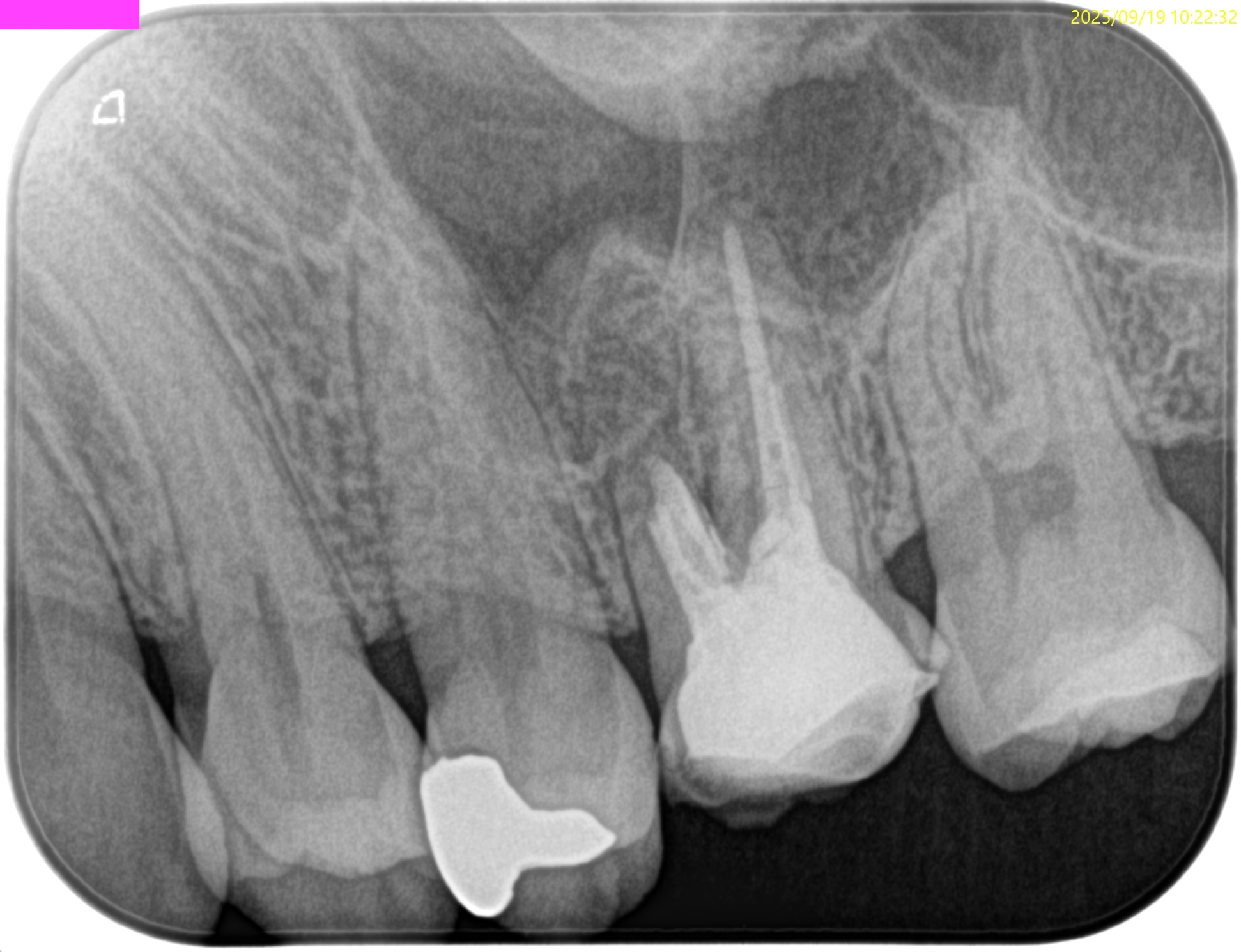
#14 Apicoectomy 4M recall(2025.9.19)

痛みは再現できなかった。
というよりなかった。



術直後と比較した。

大幅に状況が改善している。
治癒が早い人なのだろう。
次回は1年後である。
またその模様をお伝えしたい。



