昨日の記事の経過観察。
治療から1年が経過していた。
臨床症状は1年経過してもないそうだ。
画像的にはどうだろうか?
⭐︎この後、検査動画が出てきます。不快感を感じる方は視聴をSkipしてください。
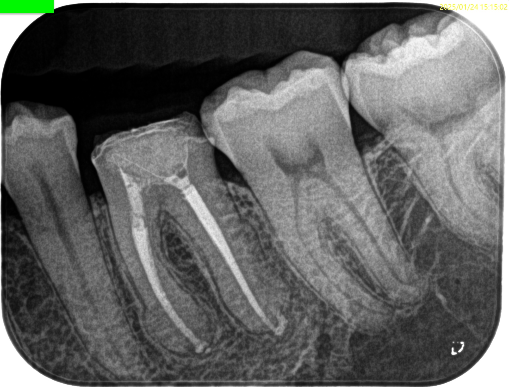
#19 Re-RCT 1yr recall(2025.1.27)


MB
ML
D

初診時と比較した。

大きく問題が解決していることがわかるだろう。
ファイルが折れたMBも、
Overextensionした?ML,Dも、
根尖病変が消失している。
これはひとえに、
ルールを遵守した歯内療法の成果であるといえよう。
経過観察もこの日で終診とさせていただいた。
長い間、お疲れ様でした。

